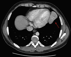
Se expone el caso de un varón de 35 años, sin antecedentes personales de interés, que presenta tos, fiebre y expectoración amarillenta de una semana de evolución, con radiografía de tórax en la que se aprecia una opacidad pulmonar en el lóbulo inferior izquierdo (fig. 1). Se le pauta tratamiento antibiótico, con una evolución clínica favorable. Sin embargo, en las sucesivas radiografías posteriores dicha opacidad apenas se modifica. Ante la sospecha de enfermedad tumoral subyacente, se realiza una fibrobroncoscopia, que no muestra hallazgos de significado patológico. Finalmente al paciente se le realiza una tomografía axial computarizada de tórax para filiar la lesión (fig. 2), encontrando una masa heterogénea en el lóbulo inferior izquierdo que recibe aporte vascular arterial desde el tronco celíaco y drenaje venoso sistémico a la vena cava inferior. Estos hallazgos son compatibles con un secuestro pulmonar extralobar.
El secuestro pulmonar es una anomalía infrecuente que consiste en un segmento de parénquima pulmonar no funcionante que no presenta comunicación con el árbol traqueobronquial y recibe aporte vascular de una arteria aberrante sistémica1. Se puede dividir en secuestro intralobar y extralobar, siendo su diferencia fundamental el hecho de que el extralobar posee su propia envoltura pleural y un drenaje venoso a la circulación sistémica (sistema ácigos-hemiácigos, vena cava o aurícula derecha)2.
Entre ambos subtipos, el extralobar es el menos frecuente (25% de los casos)1 y su diagnóstico se suele realizar en el primer año de vida o en la infancia2,3, siendo excepcional en la edad adulta, ya que habitualmente es sintomático en los primeros meses de la vida (distrés respiratorio, cianosis o dificultad para la alimentación), aunque podría aparecer en la edad adulta con neumonías de repetición. Se localiza con mayor frecuencia en el seno costofrénico posterior izquierdo, entre el lóbulo inferior y el hemidiafragma (63-77%)2,4.
Determinar el subtipo intralobar o extralobar tiene importantes implicaciones, no solo desde el punto de vista del enfoque terapéutico, sino que además este último se asocia con mayor frecuencia a otras anomalías congénitas que el intralobar2. Entre dichas anomalías, las más frecuentes son hernias diafragmáticas congénitas, anomalías vertebrales, enfermedades cardíacas congénitas, hipoplasia pulmonar, duplicación colónica5 y malformaciones congénitas de la vía aérea (observando una asociación entre estas últimas y el subtipo extralobar de hasta el 50% en alguna serie)6.
El tratamiento de elección en la actualidad es el quirúrgico, el cual resulta curativo y se asocia a una mínima morbilidad7,8. Por otro lado, la embolización con coils puede ser una buena opción terapéutica en casos seleccionados8.
Por lo tanto, cuando se nos presenta un paciente joven con una opacidad pulmonar en la radiografía de tórax (asociada a clínica infecciosa o no) que persiste en el tiempo, debemos incluir dentro de nuestro diagnóstico diferencial el secuestro pulmonar y conocer que esta entidad puede asociarse además a otras malformaciones.
Responsabilidades éticasProtección de personas y animalesLos autores declaran que para esta investigación no se han realizado experimentos en seres humanos ni en animales.
Confidencialidad de los datosLos autores declaran que en este artículo no aparecen datos de pacientes.
Derecho a la privacidad y consentimiento informadoLos autores declaran que en este artículo no aparecen datos de pacientes.





