Varón de 42 años, natural de Marruecos, sin antecedentes de interés. Acudió a consultas de Atención Primaria por un cuadro de un año de duración de tumefacción en la falange media del cuarto dedo de la mano izquierda, no dolorosa en reposo pero sí a la presión. No refería antecedentes traumáticos ni ninguna otra sintomatología. Externamente, la piel y el aspecto de la región referida eran rigurosamente normales. Se decidió realizar una radiografía del dedo afecto, en la que se observaron múltiples lesiones óseas líticas con morfología en «panal» en la falange media (fig. 1). Ante estos hallazgos, el servicio de Radiodiagnóstico recomendó completar el estudio con una RM de mano, que confirmó estos hallazgos y valoró mejor la extensión de los mismos, así como el respeto de los espacios articulares (fig. 2A). Ambas pruebas, tanto la radiografía como la RM, plantearon el diagnóstico de sarcoidosis ósea. Se completó el estudio con una radiografía simple (fig. 2B) y una TC torácica, que demostraron adenopatías hiliares bilaterales y un área en vidrio deslustrado en el lóbulo medio. Se remitió al paciente al servicio de Neumología para la toma de biopsia. Tras la biopsia transbronquial de una de las adenopatías, el resultado anatomopatológico fue compatible con sarcoidosis. El diagnóstico final fue de sarcoidosis estadio ii con afectación ósea.
Radiografía simple posteroanterior (izquierda) y lateral (derecha) focalizada en el cuarto dedo de la mano izquierda. Se aprecia una desestructuración de la cortical de la falange del dedo medio a expensas de un patrón lítico de aspecto microcístico, similar a un patrón en panal con respeto de los espacios articulares.
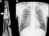
Imagen de resonancia magnética potenciada en T2 con supresión grasa centrada en el cuarto dedo de la mano izquierda (A): se aprecia una alteración de la señal que afecta de forma difusa a la falange media del cuarto dedo con áreas pseudonodulares marcadamente hiperintensas en secuencias T2 con áreas de esclerosis interpuestas (aspecto en «panal/encaje»). Radiografía simple de tórax posteroanterior (B) que pone de manifiesto un engrosamiento hiliar bilateral que evidencia la presencia de adenopatías (confirmadas posteriormente con TC).
La afectación ósea en la sarcoidosis es rara, pudiendo llegar a suceder en un 1-13% de los pacientes1. Se cree que es una entidad infradiagnosticada dado que, a pesar de que el síntoma más frecuente de la sarcoidosis ósea es la artritis, un porcentaje importante de los casos cursan de forma asintomática2. Es más frecuente en pacientes de raza negra entre los 30 y los 50 años, en quienes además se ha visto que padecen un curso más agresivo de la enfermedad3. Hasta en un 80-90% de los casos los pacientes con afectación ósea por sarcoidosis tienen enfermedad concomitante pulmonar o ganglionar mediastínica4. Las falanges de manos y pies son los lugares de afectación más frecuentes, siendo típicas las áreas óseas líticas con morfología «en panal» con espacios subarticulares preservados5. En muchas ocasiones, debido a su apariencia, el diagnóstico diferencial de estas lesiones incluye el de metástasis óseas líticas, mieloma múltiple o tuberculosis6. La radiografía simple de la región afecta es la prueba de imagen inicial de elección, pudiendo completarse el estudio con otras pruebas (TC o RM) si persiste la sospecha. Una vez planteado el diagnóstico, debe evaluarse la presencia de enfermedad a otros niveles. Los hallazgos de laboratorio son inespecíficos, aunque clásicamente se ha descrito un aumento de la enzima convertidora de angiotensina. Puede recurrirse a la biopsia de cualquiera de las lesiones para comprobar la presencia de granulomas, ayudando así a delimitar el diagnóstico.
Consentimiento informadoSe ha obtenido el consentimiento del paciente y se han seguido los protocolos del centro de trabajo sobre tratamiento de la información de los pacientes.





