INTRODUCCIÓN
La rotura de bazo puede ser espontánea o patológica; la rotura esplénica espontánea (REB) es un proceso poco común y hace referencia a la ausencia de antecedentes traumáticos, alteraciones macro o microscópicas, enfermedad o adherencias esplénicas.
El mecanismo etiopatogénico de la REB no es bien conocido y es objeto de discusión; cualquier causa que produzca aumento de tamaño del bazo o aumento de la presión en el territorio esplénico puede favorecer la rotura de bazo.
Clínicamente, debemos sospechar una REB ante un paciente con dolor abdominal en epigastrio y/o hipocondrio izquierdo, irradiado a escápula y hombro izquierdo, que evoluciona hacia un cuadro de irritación peritoneal y shock hipovolémico.
El diagnóstico de confirmación se realiza mediante ecografía y/o tomografía axial computarizada (TAC) abdominal.
El tratamiento de elección es la esplenectomía.
Presentamos un caso de REB en el que no se encontró causa desencadenante.
CASO CLÍNICO
Se trata de una mujer de 38 años, en estudio por hipertensión arterial, que avisa a domicilio por presentar, desde hace 12 horas, dolor epigástrico y en hombro izquierdo, que aumenta con la inspiración profunda y se acompaña de sensación de mareo al incorporarse. En la anamnesis no refiere trastornos del ritmo intestinal, dolor torácico, cortejo vegetativo ni traumatismo abdominal previo.
En la exploración física la paciente presentaba mal estado general, con palidez cutáneo-mucosa. La auscultación cardíaca mostró taquicardia, la auscultación pulmonar fue normal.
El abdomen era blando, depresible, doloroso a la palpación en epigastrio, sin peritonismo, Murphy, masas ni organomegalias; los ruidos hidroaéreos estaban disminuidos.
La paciente estaba afebril, con una tensión arterial de 90/50, frecuencia cardíaca de 130 lpm, saturación de O2 del 98% y glucemia capilar de 250 mg/dl. El electrocardiograma presentaba ritmo sinusal a 130 lpm, con descenso del ST en II, III, aVF y V3-V6.
Se canalizaron dos vías venosas periféricas gruesas para infusión rápida de suero salino al 0,9%, se colocó sonda vesical para control de diuresis, oxígeno VM 28% y se remitió a la paciente al hospital, de forma urgente, con el diagnóstico de dolor abdominal con inestabilidad hemodinámica a filiar.
La analítica de ingreso mostró, como datos más relevantes, una hemoglobina de 8 g/dl y un hematocrito del 24%; en el estudio de coagulación el tiempo de protrombina fue del 16% y la tiempo de tromboplastina parcial activada (TTPa) de 25 segundos.
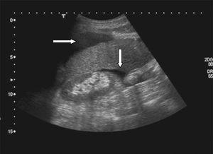
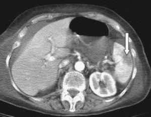
Ante la presencia de un cuadro de dolor abdominal con signos de inestabilidad hemodinámica se realizó ecografía abdominal urgente, en la que se observó abundante líquido libre peritoneal (fig. 1); posteriormente, y tras estabilizar a la paciente, se realizó TAC abdominal urgente en la que se observó línea de rotura esplénica intraparenquimatosa (fig. 2).
Figura 1. Ecografía abdominal: líquido libre periesplénico.
Figura 2. Tomografía axial computarizada abdominal: línea de rotura esplénica.
Se indicó laparotomía urgente por hemoperitoneo masivo con shock hemorrágico secundario a rotura esplénica. Se procedió a realizar lavado peritoneal, esplenectomía y drenaje.
En la anatomía patológica se describió pieza de esplenectomía que pesaba 127 g y medía 10 x 7 x 3 cm; cápsula esplénica focalmente rota; periesplenitis aguda subcapsular y parenquimatosa; hiperplasia folicular reactiva con áreas T y B; ocasionales granulomas epiteliales no necrotizantes con células de Langhans. No se evidenciaron microorganismos.
DISCUSIÓN
La REB es un proceso poco común del que existen pocos casos descritos en la literatura.
El mecanismo etiopatogénico de la rotura esplénica espontánea no es aún bien conocido, aunque se piensa que intervienen múltiples factores tales como el aumento de tamaño del bazo, infartos esplénicos, trastornos de la coagulación, infiltración esplénica tumoral o hematológica, quimioterapia citorreductora, etc. Es un mecanismo complejo, y circunstancias como procesos inflamatorios crónicos que produzcan periesplenitis y fijación del bazo pueden influir para que, en determinados momentos en los que éste aumente de tamaño o se desplace, se favorezca la rotura1. Cualquier causa que aumente la presión en el territorio venoso esplénico en un bazo patológico puede favorecer su rotura; se apunta como posible causa favorecedora la compresión esplénica por contracción de la musculatura diafragmática y abdominal, como ocurre en el mecanismo de Valsalva2.
La rotura patológica de bazo es mucho más frecuente y puede ocurrir en todas aquellas enfermedades que produzcan esplenomegalia: hematológicas (policitemia vera, anemias hemolíticas, coagulopatías, hemofilia, macroglobulinemia de Waldenström), infecciosas (mononucleosis infecciosa, citomegalovirus, paludismo, endocarditis bacterianas, fiebre tifoidea, fiebre Q, tuberculosis esplénica, brucelosis, hepatitis viral aguda, rubéola, amebiasis), neoplásicas (leucemias, linfomas, angiosarcomas, hamartomas), miscelánea: sarcoidosis, pancreatitis aguda, enfermedad de Gaucher, enfermedad de Ehrles-Danlos, enfermedad de Niemann-Pick, hipertensión portal, embarazo, postendoscopia digestiva, diálisis, alteraciones esplénicas (quistes, hemangiomas, infartos, abscesos, aneurismas de la arteria esplénica, hemangioma cavernoso)3.
El diagnóstico de la REB se basa en datos clínicos, analíticos y pruebas de imagen.
La clínica varía según la rotura sea aguda (los principales signos son debidos a la hipovolemia) o subaguda (comienza con un hematoma subcapsular y el paciente permanece días asintomático o con clínica de dolor abdominal bien tolerado y anemia, hasta que se produce la rotura capsular).
Su baja incidencia, sobre todo en personas sanas, hace que no se sospeche clínicamente4. Debe hacernos sospechar la posibilidad de una REB todo paciente con dolor abdominal irradiado a hemitórax y hombro izquierdo (signo de Kehr), que aumenta con la inspiración profunda y que se alivia en posición reclinada5.
La ecografía abdominal es muy sensible para detectar líquido libre intraperitoneal y es la primera prueba a realizar en pacientes con sospecha de rotura esplénica e inestabilidad hemodinámica6.
Sin embargo, una vez estabilizado el paciente, la TAC abdominal es el método de elección, ya que permite visualizar el tipo y la magnitud de la lesión esplénica7.
El tratamiento de elección en el paciente con anemia importante e inestabilidad hemodinámica es la laparotomía urgente con esplenectomía1,2.
Se recomienda vacunación antineumocócica polivalente (Neumovax®) y, de forma adicional, se indica vacuna contra Haemophilus influenzae tipo b8.
Correspondencia: C. Castaño Yubero.
Servicio de Urgencias de Atención Primaria. Hospital Policlínico.
C/ San Agustín, 13. 40001 Segovia.
Correo electrónico: carmencayu@gmail.com
Recibido el 07-06-06; aceptado para su publicación el 17-04-07.





