El músculo esquelético es un sitio poco común de localización de metástasis de origen hematógeno, siendo su incidencia de aproximadamente un 1%. El tumor primario se localiza en: el colon, el páncreas, el riñón, el estómago, el ovario, el cérvix, la próstata y el pulmón. Presentamos el caso de un paciente con enfermedad metastásica muscular como primera manifestación de un adenocarcinoma de pulmón.
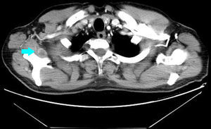
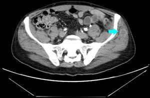
Varón de 56 años, fumador de 40 paquetes/año, que acude a la consulta por presentar dolor a nivel del musculo trapecio derecho, después de un partido de tenis. Entre sus antecedentes personales destaca un infarto de miocardio inferior 15 años antes, a tratamiento con simvastatina 10mg, AAS 100mg y atenolol 50mg. A la exploración se palpaba una discreta tumefacción dolorosa en el músculo trapecio. El cuadro es interpretado inicialmente como una contractura muscular tratándolo con AINE, relajantes musculares y fisioterapia. Un mes más tarde acude nuevamente a la consulta por astenia y empeoramiento del dolor que se había extendido a la musculatura pelviana y antebrazo derecho. No refería cefalea, tos, disnea ni fiebre. En la analítica destaca una VSG de 70 y PCR 4. Se realiza una radiografía de tórax donde se aprecia una masa parahiliar derecha. El TAC torácico y abdominal evidencio una masa hiliar derecha de 5,5cm y múltiples metástasis musculares, al menos en el subescapular derecho (fig. 1), psoas izquierdo, recto anterior izquierdo y musculatura glútea (fig. 2).
La localización de metástasis en el músculo es rara y se descubre principalmente durante la autopsia. Metástasis del músculo esquelético pueden ocurrir en el caso de la leucemia, linfoma, melanoma, tiroides, tracto gastrointestinal y carcinoma de mama. Sin embargo, la etiología más frecuente es el cáncer de pulmón. Aunque el músculo esquelético representa un 50% de la masa corporal total, el compromiso metastásico es muy raro. Muchos factores fisiológicos como el flujo de la sangre al tejido, la presión y el metabolismo se han citado como posibles razones por las que las metástasis en el músculo esquelético del cáncer de pulmón es un hallazgo poco frecuente: en la mayoría de los casos solo se reportan metástasis individuales, mientras que múltiples metástasis musculares de carcinoma de pulmón son aún más excepcionales. Mas inusual aun es la presentación clínica de unas metástasis musculares como forma de presentación de un tumor maligno primario desconocido1. El síntoma principal es la presencia de una masa, la mayor parte de las veces dolorosa, de gran tamaño y firme a la palpación2. Las localizaciones más frecuentes son las extremidades, más concretamente, la parte proximal de las extremidades inferiores, como el cuádriceps o los músculos aductores. Sin embargo, las metástasis pueden localizarse en la musculatura del torso, el abdomen o en la cintura pélvica, como en nuestro caso3. Las metástasis en músculos son raras, sus síntomas pueden ser engañosos y retrasar su diagnóstico, pero deben tenerse en cuenta como parte del diagnóstico diferencial en los casos de un dolor muscular atípico sea el único síntoma4.





