INTRODUCCIÓN
El inicio de la utilización médica de la técnica ecográfica, como en la radiología convencional, nació asociada a la práctica médica especializada y dominada exclusivamente por los especialistas en radiología. La evolución y generalización de esta técnica ha hecho que diferentes especialidades hayan comenzado a usarla de forma independiente. Un ejemplo serían los cardiólogos1, ginecólogos2, los especialistas en aparato digestivo, en cirugía vascular3, neurólogos, urólogos, cirujanos4, reumatólogos, intensivistas, médicos deportivos y otros especialistas que poco a poco la han ido introduciendo en su actividad diaria5. En nuestro ámbito, actualmente, lenta pero imparablemente se están dando los primeros pasos hacia el uso rutinario de la ecografía en Atención Primaria. Comunidades como Canarias, Extremadura y Galicia avanzan hacia la normalización del uso de la ecografía en Atención Primaria. Debemos cualificar al profesional de la Atención Primaria para el dominio, uso y disfrute de esta técnica. Para lograr nuestro objetivo creemos necesaria la realización de este curso básico sobre ecografía músculo-esquelética de 45 horas de duración, que forme al médico de Atención Primaria en esta técnica, consistente en 10 clases teóricas publicadas durante un año en esta revista, apoyada por un contenido digital que se colocará en la página web y un taller práctico final que se celebrará en el congreso de Semergen de 2008.
HISTORIA
El uso práctico del ultrasonido se ha desarrollado lentamente, en buena parte debido a las limitaciones impuestas por el material. En 1912 se realizó el primer experimento en el que se utilizó el ultrasonido, en la búsqueda del naufragio del Titanic. En la Segunda Guerra Mundial se desarrolló el SONAR (sound navigation and ranging)6. Después de la guerra el Dr. Douglas Howry aplicó esta tecnología a la medicina, pero hasta el descubrimiento y aplicación del modo B no se difundió su uso en el diagnóstico médico6. El siguiente gran avance ocurrió en 19746 con la llegada de la imagen en escala de grises. La aplicación de los ordenadores ha llegado a la aplicación de la escala de grises1,7 y la ecografía en tiempo real7. Posteriormente se desarrollaron nuevas aplicaciones como el Doppler Color1,3,7 o el Power Doppler3, que configurarían definitivamente la técnica como la conocemos hoy en día.
ULTRASONIDOS
El ultrasonido se define como aquel sonido que tiene una frecuencia mayor de la que puede ser oída por los seres humanos8. Nuestro oído detecta un rango de frecuencias comprendido ente los 15.000 y los 20.000 Hz8. Se denomina ultrasonido a cualquier sonido que tiene una frecuencia mayor de 20.000 Hz7. Las imágenes médicas utilizan rangos de frecuencia situados entre los 3 y los 15 MHz2.
FRECUENCIA DEL SONIDO
La frecuencia del sonido se mide en número de ciclos por unidad de tiempo. Normalmente como unidad de tiempo se utiliza el segundo. La unidad de frecuencia (ciclos/seg) se denomina Hertzio (Hz), 1 ciclo/seg = 1 Hz, siendo un KiloHertzio: 1.000 ciclos/seg = 1.000 Hz = 1 KHz y un MegaHertzio: 1.000.000 ciclos /seg. = 1.000.000 Hz = 1 MHz. A mayor frecuencia mayor calidad de imagen, pero menor penetración en el cuerpo1,3.
Sonido
Es el resultado del recorrido de la energía a través de la materia en forma de una onda que produce alternativamente los fenómenos de compresión y rarefacción7.
Ecos
Son sonidos, ondas sonoras, que se reflejan, rebotan, tras chocar contra una superficie o barrera capaz de reflejarlos8. La interfase reflectante es la superficie o barrera capaz de reflejar los sonidos y por tanto también los ultrasonidos. Esta barrera o interfase existe entre dos medios contiguos o adyacentes con diferente impedancia acústica. La impedancia acústica es la resistencia que un medio opone al paso de los ultrasonidos. La impedancia acústica (Z) es el producto de la densidad (D) del medio por la velocidad (V) a la que el ultrasonido lo atraviesa.
Z = D X V
Cuanto mayor sea la diferencia entre las impedancias de ambos medios, mayor será la intensidad del eco. De menos a más la impedancia acústica del cuerpo es: aire, agua, músculo y hueso.
Reflexión
Cuando un haz de ultrasonidos llega a una interfase reflectante experimenta un fenómeno de reflexión: una parte del haz se refleja en forma de ecos (ultrasonidos reflejados) y la otra parte continúa hacia la siguiente interfase. Cuanto mayor sea la diferencia de impedancia acústica entre los dos medios que separa la interfase, mayor será el eco. El principal parámetro de este fenómeno es la amplitud de la onda acústica reflejada y su relación con la amplitud de la onda incidente2,9.
Reflexión y superficies reflectantes
El tipo de superficie sobre el que incide el haz de ultrasonidos condiciona la forma en que estos se reflejan. Las superficies lisas reflejan muy bien los ultrasonidos. Actúan como un espejo, de ahí el término reflexión especular. En este tipo de superficies tiene una enorme importancia el ángulo de incidencia de los ultrasonidos: mejor cuanto más perpendicular sea la incidencia. Las superficies irregulares o rugosas dan lugar a gran cantidad de ecos de baja amplitud que se dispersan en múltiples direcciones, de ahí el término difusión. En estas superficies tiene escasa relevancia el ángulo de incidencia, pero adquiere gran importancia la frecuencia de los ultrasonidos. La difusión es mayor con frecuencias altas7.
Refracción
Fenómeno en el que el haz de ultrasonidos es desviado cuando incide con un determinado ángulo sobre una interfase reflectante situada entre dos medios en los que la velocidad de dichos ultrasonidos es diferente. El grado de refracción está en relación con el ángulo de incidencia y el gradiente de velocidades. Tiene relevancia por ejemplo: músculo-hueso (gradiente de velocidad muy diferente). Superficie curvilínea (diafragma, quiste, etc.)6.
Absorción
Consiste en la pérdida de energía que se produce cuando un haz de ultrasonidos atraviesa un medio, haciendo que las partículas que lo componen comiencen a vibrar; debido al roce entre dichas partículas una parte de la energía se transforma en calor. Cuanto mayor es la absorción menor es la penetración de los ultrasonidos en el medio. Tiene relevancia la frecuencia: a menor frecuencia menor absorción y mayor penetración; a mayor frecuencia, mayor absorción y menor penetración2,7.
Atenuación
Es la pérdida de energía que experimenta un haz de ultrasonidos al atravesar un medio como consecuencia de su absorción, reflexión, refracción y/o difusión. La atenuación guarda directa relación con la profundidad y con la frecuencia. Cuanto mayor es el camino que deben recorrer los ultrasonidos resultará que los ecos originados en zonas más distantes tendrán menor amplitud que los originados en zonas superficiales. Este inconveniente se compensa en los aparatos de ecografía con la ganancia: se puede amplificar la señal de forma selectiva en las zonas más profundas.
Atenuación/cm = 0,9 X frecuencia
A menor frecuencia menor atenuación, útil en estudios superficiales. A mayor frecuencia mayor atenuación, útil en estudios profundos. La velocidad media de los ultrasonidos en el cuerpo humano es 1.540 m/seg6-8.
Intensidad7
Es la cantidad de energía recibida por unidad de superficie. Como unidad de energía se utiliza el Watio (W) y como unidad de superficie el cm2: (W/cm2). Al aumentar la intensidad de una onda sonora aumentan los desplazamientos de las partículas del medio que atraviesa, aumentando por lo tanto el número y tamaño de los ecos que devuelven. Los ultrasonidos que se emplean en ecografía son de muy baja intensidad (10-50 mW/cm2) para evitar cambios en el medio que atraviesan. En la práctica la intensidad se expresa en decibelios (dB) y mide la diferencia de intensidades entre dos puntos: a) I1 en el punto de origen, b) I2 en un punto concreto del medio que atraviesa. Esta diferencia de intensidad se expresa en decibelios:
I1-2 = 10 X Log10 (I1/I2)
Si decimos que la intensidad en un determinado punto es de 40 dB estamos diciendo que en ese punto la intensidad es 40 dB menor que en el punto de partida.
Potencia
Cantidad total de energía producida por unidad de tiempo (seg)7.
Resolución (fig. 1)
Figura 1. Resolución axial, lateral y dinámica.
Es la capacidad que tiene un equipo de ecografía para que dos puntos o interfases muy próximas entre sí se representen como ecos diferentes. A continuación comentamos los tipos de resolución10.
Resolución axial
Cuando es capaz de diferenciar dos puntos o interfases muy próximas en la dirección del haz de ultrasonidos. La resolución axial está inversamente relacionada con la longitud de onda, ya que si la distancia entre los dos puntos problema es menor que la longitud de onda, el equipo de ecografía no tendrá capacidad para identi-ficarlos por separado y los mostrará como un único eco7,10.
Resolución lateral
Cuando es capaz de diferenciar dos puntos o interfases muy próximas situados en un eje perpendicular a la dirección del haz ultrasónico. A menor longitud de onda mayor resolución axial. A mayor longitud de onda menor resolución axial7,10.
Resolución dinámica
Capacidad de un ecógrafo para la reproducción del movimiento de algunas estructuras y del movimiento de barrido del transductor. Está en relación con el número de imágenes por segundo10.
ECOGRAFÍA
Es una técnica diagnóstica que recoge los ultrasonidos que emite la sonda, los cuales atraviesan hasta cierta profundidad (dependiendo de la frecuencia de la sonda) la parte del cuerpo que queremos explorar y aprovecha la diferente velocidad de propagación de los tejidos del cuerpo para transformar las señales que llegan en impulsos eléctricos que se visualizan en la pantalla en diferentes tonos de grises.
ECÓGRAFO (fig. 2)
Figura 2. Ecógrafos.
Un ecógrafo, básicamente, está formado por los siguientes elementos1,8:
Generador
Genera pulsos de corriente eléctrica que envía al transductor.
Transductor
Sus cristales son estimulados por los pulsos eléctricos, produciendo ultrasonidos. Los ultrasonidos reflejados, ecos, estimulan nuevamente a los cristales y se convierten en señal eléctrica.
Convertidor analógico-digital
Digitaliza la señal que recibe del transductor y la convierte en información binaria: en unos o en ceros (mismo sistema que el empleado por los ordenadores).
Memoria gráfica
Ordena la información recibida y la presenta en una escala de 256 grises.
Monitor
Muestra las imágenes en tiempo real.
Registro gráfico
Las imágenes se pueden imprimir, guardar o grabar para visualizarlas en otro equipo o en un ordenador. Además, en la consola del ecógrafo existen una serie de teclas y mandos con los que ajustar tanto la señal de salida como la señal de entrada, y cuyo objetivo es optimizar la imagen que visualizamos en el monitor. También pueden efectuarse diversas medidas: cálculos de distancia, de áreas, de volumen, etc. La exploración ecográfica se realiza con cortes transversales y longitudinales. Debe realizarse ecografía comparativa del lado contralateral, y durante movimientos de rotación-supinación, del miembro superior y de contracción-relajación del miembro inferior.
TRANSDUCTOR
Aparato que transforma un tipo de energía en otro3. En ecografía, el transductor o sonda transforma energía eléctrica en energía acústica3.
Efecto piezoeléctrico
Propiedad de algunos cristales que, al recibir corriente eléctrica, se contraen y dilatan generando vibraciones, es decir energía acústica. Y a la inversa, al recibir la presión de ondas acústicas convierten esta energía mecánica en energía eléctrica. En ello se basa el funcionamiento de una sonda o transductor ecográfico: recibe impulsos eléctricos y los convierte en pulsos acústicos3. Después recibe pulsos acústicos (ecos) y los convierte otra vez en impulsos eléctricos3,7,9.
Tipos de transductor: sondas mecánicas
La estimulación de los cristales piezoeléctricos la produce de forma mecánica un pequeño motor ubicado dentro de la sonda.
Sondas electrónicas (fig. 3)
Figura 3. Tipos de transductores.
Formadas por grupos de cristales que se estimulan de forma conjunta. Actualmente según la disposición de estos cristales existen cuatro tipos de transductores ecográficos:
Sectoriales
Proporcionan un formato de imagen triangular o en abanico con una base de inicio de la emisión de los ecos pequeña. Se usa en exploraciones cardiacas1 y abdominales12 ya que permiten tener un abordaje costal. Se usan para ver estructuras profundas. Su frecuencia de trabajo suele ser de 3,5 a 5 MHz6,9,11.
Convexos
Tienen una forma curva y proporcionan un formato de imagen en forma de trapecio; se usan en exploración abdominal12 y obstétrica2. Se usan para ver estructuras profundas. Su frecuencia de trabajo suele ser de 3,5 a 5 MHz6,9.
Lineales
Proporcionan un formato de imagen rectangular, se usan para el estudio de estructuras más superficiales como los músculos, los tendones, la mama, el tiroides, el escroto, vasos superficiales, etc. Se usan para ver estructuras superficiales. Las frecuencias de trabajo suelen ser de 7,5 y 13 MHz, aunque los hay de hasta 20 MHz6,9.
Intracavitarios
Pueden ser lineales o convexos, se usan para exploraciones intrarrectales o intravaginales2. Las frecuencias de trabajo suelen ser de entre 5 y 7,5 MHz6.
¿CÓMO SE FORMA EL HAZ DE ULTRASONIDOS?
Los pulsos de corriente que llegan del generador al transductor hacen que este emita pulsos de ultrasonidos, de tal forma que el transductor no está emitiendo ultrasonidos de forma continua sino grupos de ciclos de ultrasonidos (pulsos). Lo que hace es alternar dos fases: emisión de ultrasonidos-recepción de ecos-emisión de ultrasonidos-recepción de ecos. La frecuencia con la que el generador produce impulsos eléctricos cada segundo se llama frecuencia de repetición de pulsos (PRF) y es igual a la frecuencia de repetición de pulsos de ultrasonidos: número de veces que los cristales del transductor son estimulados por segundo. La PRF, por lo tanto, determina el intervalo de tiempo entre las dos fases: emisión y recepción de los ultrasonidos. Ese intervalo de tiempo debe ser el adecuado para que un pulso de ultrasonido alcance un punto determinado en profundidad y vuelva en forma de eco al transductor antes de que se emita el siguiente pulso. Cada uno de los pulsos recibidos y digitalizados pasa a la memoria gráfica, se ordena y es presentado en forma de puntos brillantes en el monitor. En este se emiten secuencias de al menos 20 barridos tomográficos por segundo para ser visualizados en tiempo real6,7.
LENGUAJE ECOGRÁFICO (fig. 4)
Figura 4. Lenguaje ecográfico.
Estructura ecogénica
Es aquella que genera ecos debido a la existencia de interfases acústicas en su interior.
Hiperecogénica o hiperecoica
Genera ecos en gran cantidad y/o intensidad. Cuando en el interior de esa estructura existen interfases más ecogénicas que el parénquima normal que la circunda. Ecográficamente es una imagen intensamente reflectante, de color blanco intenso, típica del hueso, calcificación, cicatriz, engrosamiento bursal8.
Hipoecogénica o hipoecoica
Genera pocos ecos y/o de baja intensidad. Cuando en el interior de la estructura normal existen interfases de menor ecogenicidad que el parénquima circundante. Ecográficamente es una imagen poco reflectante, color gris oscuro, típica de las tendinitis, desestructuración, inhomogeneidad. Típica, también, del músculo normal, hipoecoico respecto del tendón8.
Isoecogénica o isoecoica
Cuando una estructura presenta la misma ecogenicidad que otra. Corresponde a condiciones normales del parénquima de un órgano, y se presenta como estructura de similar ecogenicidad en todo el corte ecográfico. Ecográficamente se observa como imagen reflectante, gris-blanca a visión óptica, típica de tendones (finos ecos lineales, paralelos, ecogénicos reflectantes)8.
Homogénea o heterogénea
Que expresan la distribución de los ecos y la calidad de la estructura.
Estructura anecogénica o anecoica
Es aquella que no genera ecos debido a que no hay interfases en su interior. Típica de los líquidos. Estructura homogénea. Cuando la distribución de los ecos tiende a ser uniforme. Sus intensidades son similares. Se produce cuando el ultrasonido atraviesa un medio sin interfases reflectantes en su interior. Ecográficamente es una imagen no reflectante, de color negro intenso, típica de los derrames, hematomas, acumulación de líquido, roturas, cartílago, vaso sanguíneo. Con ellas suele producirse el artefacto refuerzo posterior8.
Estructura heterogénea
Genera ecos con intensidades diversas.
ARTEFACTOS
Son anomalías que aparecen en la imagen y que alteran o falsean la realidad pudiendo inducir a error. Todas las modalidades de imagen tienen artefactos que son únicos de ese sistema. En los sistemas radiográficos, los artefactos degradan las imágenes y reducen su valor diagnóstico. En las imágenes ecográficas los artefactos pueden facilitar la realización del diagnóstico. Los artefactos se pueden clasificar en tres categorías, como la antigua película de Clint Eastwood: el bueno (la sombra, el refuerzo posterior y el artefacto de cola de cometa), el malo (la refracción, la reverberación, los reflectores anisotrópicos, el artefacto sónico de velocidad y el artefacto de haz ancho) y el feo (artefacto de movimiento y ruido eléctrico)13. Es por tanto necesario reconocer cada uno de estos artefactos (fig. 5).
Figura 5. Artefactos ecográficos.
Sombra acústica posterior
Zonas sin ecos que aparecen detrás de estructuras que reflejan todos los ultrasonidos. La imagen ecográfica muestra una zona oscura detrás de una estructura hiperecogénica. Es una interfase muy reflexiva y casi toda la energía del haz sónico incidente sobre ellas se reflejará. Es similar a la sombra que emite un edificio en un día soleado. Ejemplo fisiológico: el hueso. Ejemplo patológico: cálculos o calcificaciones. La sombra sucia es característica del gas dentro de los tejidos. La sombra por refracción o sombra por ángulo crítico se observa cuando se visualizan objetos con superficie curvada como la diáfisis de un hueso largo8,9.
Refuerzo acústico posterior
Aumento en la amplitud de los ecos que se generan tras atravesar una estructura anecoica. La imagen ecográfica muestra una estructura anecoica e inmediatamente detrás de esta aparece una zona hiperecogénica. Se da detrás de estructuras que contienen líquido. Ejemplo fisiológico: la vesícula biliar, un vaso. Ejemplo patológico: un quiste, un derrame8,9.
Artefacto de cola de cometa
Este artefacto es el resultando de la reverberación que se produce dentro de un objeto metálico o vidrio. Se encuentra en cuerpos extraños o en los adenomiomas de pared vesical. La periodicidad de las bandas dentro de la cola de cometa es igual al grosor del objeto. El reconocimiento de este artefacto permite al examinado diagnosticar rápidamente cuerpos extraños metálicos y de vidrio. Se puede establecer con exactitud la posición del objeto, sin embargo no se puede determinar con precisión el tamaño de los objetos relativamente pequeños. Un ejemplo serían los cilindros metálicos o de vidrio9.
Refracción
Es la descripción de estructuras reales en localizaciones falsas. La refracción se produce en las interfases entre sustancias que transmiten el sonido a velocidad diferente como la grasa y el muslo. El haz sonido se "desvía" en estas interfases de forma proporcional a la diferencia de velocidad de transmisión del sonido dentro de los dos materiales y el ángulo de incidencia. La desviación del haz sónico da como resultado la descripción de estructuras profundas a la interfase en una localización errónea. Este artefacto se corrige colocando el ángulo de incidencia tan próximo a los 90º como sea posible.
Reverberación
Artefacto producido cuando los ecos devueltos por una interfase muy reflectante no son captados totalmente por el transductor sino que rebotan en este, vuelven a atravesar el organismo hasta la citada interfase que nuevamente los refleja y así sucesivamente hasta agotar la energía. Cuando la reverberación aparece de forma lineal en trayecto corto se denomina "cola de cometa". Ejemplo fisiológico: el gas gastrointestinal. Ejemplo patológico: burbujas de gas en un absceso, burbujas en la vía biliar, cuerpos extraños metálicos (clip, aguja, etc.).
Anisotropía
Una sustancia anisotrópica es aquella que muestra propiedades diferentes dependiendo de la dirección de la medición. En la ecográfica musculoesquelética los reflectores anisotrópicos más característicos son los tendones. Obviamente esto no es deseable cuando evaluamos la integridad del mismo Las imágenes de los tendones con el transductor en una posición oblicua aumentarán marcadamente el contraste de la imagen. Esta técnica sólo es útil para distinguir los tendones de la grasa de alrededor cuando la ecogenicidad de esta se aproxima a la del tendón9.
Artefacto sónico de velocidad
Los ecógrafos determinan la distancia de un objeto al transductor midiendo el tiempo transcurrido desde que se origina el pulso sónico hasta que regresa al transductor. A esto nos referimos como tiempo de escape. Al calcular la distancia el ecógrafo asume una velocidad del sonido constante, sin embargo esta suposición es falsa. Sufriendo refracciones al atravesar diferentes estructuras un ejemplo de este artefacto sería la diferente velocidad de paso del hígado y grasa tras el diafragma. O en la interfase músculo grasa de los pacientes obesos.
Artefacto del haz ancho
Un haz ultrasónico tiene una anchura que varía de acuerdo con las características de diseño del transductor. Cuando un objeto es más pequeño que la anchura del haz ultrasónico, los ecos descritos en esa localización son una combinación de los ecos del objeto y de los tejidos de alrededor. Este promedio de volumen, como se llama en la tomografía axial computarizada (TAC) o la resonancia magnética nuclear (RMN), puede dar el aspecto de eco dentro de quistes simples, así como eliminar la sombra posterior de las calcificaciones pequeñas. Normalmente, esto no interfiere en el diagnóstico. Sin embargo, en ecografía musculoesquelética, a menudo tratamos con estructuras muy pequeñas.
Artefacto de movimiento
El movimiento del paciente puede degradar las imágenes ecográficas así como las radiografías. La imagen ecográfica es la media de los datos de varias adquisiciones. Cuando se produce un movimiento la imagen es borrosa, lo que algunas veces limita de forma severa su valor diagnóstico.
Ruido eléctrico
Generalmente los ecógrafos están bien aislados del ruido electrónico. Sin embargo algunas circunstancias que pueden originarse de interferencias electromagnéticas de transformadores de alto voltaje u otros equipos degradan las imágenes. Estos artefactos no plantean problemas diagnósticos sino dificultades diagnósticas.
Artefacto en espejo
Se produce cuando el haz de ultrasonidos incide sobre una estructura curvilínea que actúa como interfase especular. En este tipo de interfases los ecos vuelven al transductor cuando la incidencia ha sido perpendicular, pero si no ha sido así algunos pueden volver tras cambiar su trayectoria y rebotar contra otra interfase que los refleje hacia la sonda (sufren retardo por mayor recorrido). Ejemplo fisiológico: diafragma. Parte del hígado se ve reflejada al otro lado del diafragma cuando se sabe que al otro lado está el aire del pulmón. Ejemplo patológico: tumor próximo al diafragma.
Variación en la velocidad de los ultrasonidos
Se produce cuando el haz de ultrasonidos atraviesa una estructura que enlentece su paso. La velocidad media de los ultrasonidos en nuestro organismo es de 1.540 m/seg, pero existen medios, como la grasa, en los que la velocidad se reduce, haciendo que aumente el tiempo de tránsito. Los equipos de ecografía utilizan para los cálculos de distancia una velocidad constante de 1.540 m/seg y si aumenta el tiempo de travesía interpretarán que la distancia es mayor que la real. Esto sucede en la "imagen de diafragma partido": si un tumor con alto contenido graso se encuentra justo antes del diafragma, se interpretará un mayor diámetro del tumor, lo que hará aparecer la parte del diafragma situada por detrás a mayor distancia de la real. El diafragma aparece partido en esa zona. La grasa, además de ralentizar la velocidad de los ultrasonidos, los absorbe y refleja en gran cantidad, haciendo que las zonas profundas aparezcan con pocos ecos y baja amplitud, es decir, produce atenuación posterior. Este fenómeno es común en la infiltración grasa hepática.
VENTAJAS DE LA ECOGRAFÍA
Inocua
Carece de radiación ya que se basa en el empleo de los ultrasonidos; como técnica diagnóstica no tiene efectos biológicos sobre el organismo7.
Rápida y bien tolerada
La presencia del explorador y que el paciente no está aislado en espacios reducidos y cerrados facilitan tolerancia y colaboración en la prueba.
Económica
Tanto en el coste del equipo como en el espacio que precisa. No necesita aislamiento especial7.
Permite controles repetidos
Muy importante para conocer la evolución en traumatismos, litiasis, patología crónica, postcirugía, etc.
Fácil acceso y/o desplazable
El ecógrafo puede desplazarse sin necesidad de mover al paciente: en una unidad de cuidados intensivos (UCI) o en un box de Urgencias, o también llevar un equipo portátil a un domicilio7.
Dinámica
El tiempo real cobra aun mayor importancia en exploraciones como: movimiento de las válvulas cardiacas, flujo vascular, deslizamiento de un tendón, desplazamiento de un cálculo, etc.7.
Ecopalpación
La compresión dirigida con el transductor puede ser una gran ayuda: se observa la consistencia de una masa, si hay dolor selectivo o no en una zona sospechosa (por ejemplo: colelitiasis con Murphy ecográfico positivo), si una colección fluctúa o si una vena con sospecha de trombosis no se deprime, etc.
Reproducible
La sistemática exploratoria en ecografía se ha estandarizado y permite reproducir un estudio por otro ecografista.
Punción dirigida
La ecografía puede ser utilizada para guiar una punción con fines diagnósticos o terapéuticos: aspiración para citología, drenaje o infiltraciones precisas.
Contrastes ecográficos
Se está avanzando en este campo pues mejora las prestaciones en determinados estudios vasculares y de tumores7.
INCONVENIENTES/LÍMITES DE LA ECOGRAFÍA
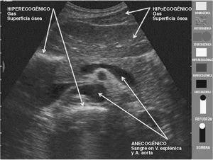
Gas y superficie ósea
Ninguna de estas estructuras permiten observar lo que hay detrás mediante ecografía. Para salvar estos inconvenientes es preciso conocer y emplear "ventanas acústicas": vías de acceso y maniobras para que los ultrasonidos alcancen la zona que se quiere estudiar. Por ejemplo, el contenido líquido de la vejiga hace de ventana para valorar la pelvis7.
Baja especificidad
Tiene una alta capacidad para detectar lesiones y una inferior capacidad para diferenciarlas, sobre todo cuando hablamos de tumores. Una imagen nodular, una masa, puede corresponder a más de una entidad. Distingue muy bien una imagen quística de una sólida y hace una buena aproximación en cuanto a benignidad o malignidad7.
Explorador-dependiente
Quizá remarcado por la incomprensión de quien ve unas imágenes que no entiende a primera vista y debe confiar en el informe del ecografista. Dependencia cada vez menor al extenderse y sistematizarse la técnica. Lo realmente importante no son las limitaciones de la técnica ni las limitaciones del equipo de ecografía, son las limitaciones de uno mismo como explorador. Para ello es imprescindible actualizar y profundizar en nuestros conocimientos de anatomía, conocer los principios físicos y aplicar prudencia y sentido común7.
Correspondencia: R.P. Garrido Chamorro.
C/ Pintor Xavier Soler, n.o 1, portal A, 9.o F.
03015 Alicante.
Correo electrónico: raulpablo@terra.es
Recibido el 08-05-07; aceptado para su publicación el 08-05-07








