El linfoma no Hodgkin (LNH) es la neoplasia hematológica maligna más común en todo el mundo. Es más común en hombres mayores de 65años y en aquellos con enfermedades autoinmunes o antecedentes familiares de neoplasias hematológicas. Se trata de una enfermedad heterogénea, y cada subtipo se asocia con diferentes factores de riesgo. El linfoma de la zona marginal (LZM) está fuertemente asociado con el síndrome de Sjögren (SS) y la tiroiditis de Hashimoto, mientras que el linfoma periférico de célulasT (PTCL) está más asociado con la celiaquía. El tratamiento previo con radiación, la obesidad y el tabaquismo son los factores más asociados con el linfoma difuso de célulasB grandes (DLBCL), así como el VIH y el virus del herpes humano8 (HHV-8). La obesidad y la deficiencia de vitaminaD empeoran la supervivencia del LNH1.
Los linfomas no Hodgkin representan un grupo heterogéneo de trastornos linfoproliferativos caracterizados por diferentes cursos clínicos, que varían de indolentes a altamente agresivos. La 18F-FDG-PET/TC es la técnica de diagnóstico por imagen de última generación para la estadificación, reestadificación y evaluación de la respuesta al tratamiento. Sin embargo, para el diagnóstico definitivo sigue siendo necesario un estudio histopatológico2. Los linfomas de célulasB pueden afectar cualquier órgano y se caracterizan por presentaciones y cursos clínicos heterogéneos, que varían de asintomáticos a indolentes y casos muy agresivos3.
Se presenta el caso de un niño de 11años que es derivado a consultas de Otorrinolaringología por adenopatías cervicales persistentes tras infección por COVID de 2meses de evolución, sin crecimiento de las mismas ni otra sintomatología acompañante. En la exploración física se observa una adenopatía yugulodigástrica izquierda de 2cm no dolorosa a la palpación y de consistencia gomosa, móvil.
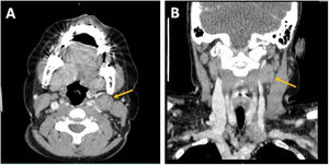
Debido a la persistencia de adenopatías, se solicita una tomografía computarizada (TC) en la que se observan múltiples adenopatías laterocervicales de predominio izquierdo en áreasII, III, IV yV cervicales, de consistencia sólida y de tamaño patológico (fig. 1). Además, se realiza una ecografía cervical para valorar las características de dichas adenopatías, también sugestivas de patología (fig. 2).
Dada la persistencia de las adenopatías y la poca rentabilidad de la ecografía con punción por aspiración con aguja fina (ECO-paaf) a la hora de determinar un posible síndrome linfoproliferativo, se decide realizar una adenectomía bajo anestesia general mediante cervicotomía lateral izquierda, extirpándose una adenopatía en área IIa izquierda de unos 3cm, rodeada a su vez de adenopatías satélites, asegurándose la conservación de la vena yugular interna y del nervio espinal.
El resultado histopatológico definitivo fue de linfomaB de célula grande de fenotipo no GCB (célulasB centrogerminales). Con este resultado fue remitido al servicio de Hematología para completar tratamiento con quimioterapia R-CHOP, actualmente en remisión completa.
Los linfomas difusos de célulasB grandes (DLBCL) representan casi el 30% de todos los casos de LNH, con una estimación de 150.000 casos nuevos por año en todo el mundo. Los pacientes suelen presentar linfadenopatía progresiva, enfermedad extranodal o ambas, y requieren tratamiento. A pesar del estadio avanzado en la presentación en la mayoría de los pacientes, más del 60% se pueden curar con inmunoquimioterapia R-CHOP (rituximab, ciclofosfamida, doxorrubicina, vincristina y prednisona). Los pacientes con fracaso del tratamiento después de R-CHOP a menudo tienen un mal pronóstico, aunque algunos pacientes pueden tener una remisión duradera y curarse después de terapias secundarias. En las últimas dos décadas, la mejora de los conocimientos sobre los linfomas de célulasB grandes, en términos de epidemiología, factores pronósticos y heterogeneidad biológica, ha llevado a un refinamiento de la clasificación de la enfermedad y al desarrollo de nuevos enfoques terapéuticos4.
El DLBCL es curable con el tratamiento de primera línea R-CHOP, pero entre el 30 y el 40% de los pacientes no responden o recaen. En casos de recaída/refractarios (R/R), la terapia dirigida contra los linfocitosT con receptor de antígeno quimérico anti-CD19 (CAR-T) se ha convertido en la segunda línea de tratamiento. Otras opciones incluyen combinaciones como polatuzumab más rituximab y bendamustina, tafasitamab más lenalidomida y anticuerpos biespecíficos CD3xCD20. Aunque mejorar R-CHOP ha sido difícil, nuevas estrategias con polatuzumab vedotin más R-CHP y venetoclax más R-CHOP han mostrado resultados prometedores. Actualmente se está explorando la terapia dirigida según subtipos moleculares y son necesarios más estudios sobre este tema5.
Recientemente se han reportado casos de LNH desarrollados poco después de la vacunación contra COVID-19, en concreto varios casos de LDCBG, tanto después de la vacuna con BNT162b2 (Pfizer-BioNTech), como con la vacuna ChAdOx1 nCOV-19 (AstraZeneca) y con la vacuna mRNA-1273/Spikevax (ModernaTX). Es probable que el desarrollo de linfoma tras la vacunación se trate de un fenómeno casual, puesto que las vacunas contra COVID-19 son productos altamente eficaces; sin embargo, es importante reportar los casos, incluso si solo están temporalmente asociados con nuevos tratamientos o vacunas para el beneficio de los pacientes6.
FinanciaciónNo se ha obtenido financiación para la elaboración de este artículo.
Consideraciones éticasSe obtuvo consentimiento informado por escrito de la madre para la publicación del artículo.
Conflicto de interesesLos autores declaran que no existe conflicto de intereses.





