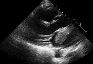
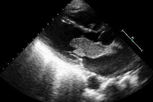
Mujer de 54años, sin factores de riesgo cardiovascular conocidos. Consultó por clínica de disnea de mínimos esfuerzos de una semana de evolución. Además refería pérdida de peso de 7-8kg en los últimos 6meses. En la exploración física se apreciaba un soplo diastólico mitral y edemas en miembros inferiores. En la analítica destacaba una anemia normocítica-normocrómica. Las enzimas cardiacas fueron negativas. Se solicitó dímeroD para descartar tromboembolismo pulmonar, que fue también negativo. El electrocardiograma mostró un ritmo sinusal a 95latidos/min. En la radiografía de tórax no existía cardiomegalia, y se apreciaban hilios congestivos y un patrón intersticial en ambas bases. En el ecocardiograma transtorácico (figs. 1 y 2) se objetivó a nivel de aurícula izquierda una masa homogénea de 47×27mm, móvil y pediculada, con pedículo adherido a tabique interauricular, que prolapsaba hacia la válvula mitral en diástole y provocaba una obstrucción intermitente de la misma, originando una estenosis mitral severa. Con la sospecha de mixoma auricular, se remitió a la paciente de manera urgente al servicio de cirugía cardiaca para extirpación de la masa. A través de una auriculotomía izquierda por vía transeptal superior se procedió a la exéresis del tumor con cauterización de la base de implantación. La anatomía patológica confirmó el diagnóstico de mixoma. La evolución posterior de la paciente fue satisfactoria, siendo dada de alta a los 7días de la intervención. En la revisión a los 6meses la paciente se encuentra asintomática.
Los tumores cardiacos más frecuentes son las metástasis. Los mixomas constituyen los tumores cardiacos primarios más frecuentes. Su incidencia es mayor en mujeres (2/3) y suelen aparecer entre la tercera y la sexta década de la vida. Su localización más habitual es a nivel de aurícula izquierda (75%)1.
Aunque se trata de tumores histológicamente benignos, pueden dar lugar a complicaciones potencialmente graves e incluso muerte súbita. La tríada clásica la constituyen los síntomas cardíacos obstructivos, fenómenos embólicos sistémicos o pulmonares y síntomas constitucionales. Localmente el tumor puede causar un deterioro hemodinámico bien por obstrucción al flujo o deformación de la válvula2. En ocasiones, la isquemia miocárdica puede ser el síntoma de presentación. También puede haber pacientes que estén completamente asintomáticos si el crecimiento el tumor es lento. Se ha descrito algún caso de hemorragia aguda dentro del propio tumor, que lleva a un aumento brusco de su tamaño con deterioro clínico del paciente en caso de producir síntomas obstructivos3. En la auscultación cardíaca es típica la presencia de un soplo mitral que se modifica con la posición del paciente.
La ecocardiografía juega un papel fundamental para poder realizar un diagnóstico precoz en estos pacientes. Nos permite descartar otras entidades que cursan con disnea y soplo, como la miocardiopatía hipertrófica y las valvulopatías. Es importante hacer el diagnóstico diferencial con los trombos intracardiacos, dado la diferente estrategia terapéutica en ambos casos. Como regla general, los trombos suelen aparecer en pacientes con fibrilación auricular, aurícula izquierda dilatada, estenosis o prótesis mitral y tricuspídea, situación de bajo gasto cardiaco y presencia de ecocontraste espontáneo en aurícula izquierda4.
El tratamiento de los mixomas cardiacos consiste en la resección quirúrgica. La cirugía debe ser urgente, para evitar complicaciones como los fenómenos embólicos o la muerte súbita. En ocasiones es necesario actuar también sobre la válvula mitral si existe dilatación del anillo o están afectados los velos o las cuerdas por el tumor5. El pronóstico de estos tumores es en general bueno. La cirugía es curativa en la mayoría de los casos, aunque hay que realizar un seguimiento periódico con ecocardiografía durante varios años, ya que existen casos de recidiva, la mayoría debidas a una inadecuada resección quirúrgica.
Como conclusión, podemos decir que es importante sospechar esta entidad en pacientes jóvenes, fundamentalmente mujeres, que se presentan con sintomatología de insuficiencia cardiaca aguda y no tienen factores de riesgo cardiovascular, en los que la clínica del paciente no pueda explicarse por otras entidades más frecuentes como son la cardiopatía hipertensiva o isquémica.





