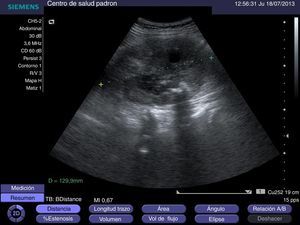
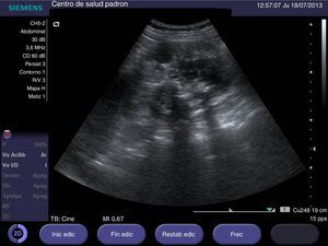
Mujer de 61 años de edad sin antecedentes de interés, que consulta en atención primaria por hematuria objetivable de 15 días de evolución. Presenta cuadro catarral en los días anteriores, sin otros datos de interés. En la exploración física se aprecia masa palpable en hipocondrio derecho. Se realiza ecografía en su centro de salud obteniéndose las siguientes imágenes (figs. 1 y 2).
La unión de hematuria y masa palpable en hipocondrio derecho nos orienta hacia un proceso maligno como primera posibilidad. En la ecografía realizada en atención primaria observamos un riñón derecho con discreto aumento de tamaño (12,9cm de longitud en el riñón derecho versus 9,5cm en el riñón izquierdo, en una mujer de 155cm de estatura) y parénquima renal muy desestructurado (es difícil ver en este caso la estructura ecográfica típica renal: corteza, médula y seno renal). También destaca la presencia de abundantes imágenes hiperecoicas con sombra posterior (sugestivo de calcificaciones groseras), sin que se observen imágenes de ectasia renal. El aumento de tamaño y la desestructuración de la arquitectura renal nos hacen pensar en enfermedad neoplásica. La presencia de las numerosas calcificaciones groseras (que no sugieren enfermedad litiásica) nos lleva a proponer una hipótesis diagnóstica muy infrecuente: carcinoma renal de tipo sarcomatoide.
Con esta orientación de proceso renal maligno se deriva el paciente a urgencias del complejo hospitalario. Se le realiza TC de abdomen sin y con contraste donde se visualiza una masa renal derecha sólida de 11×11×10cm con zonas de necrosis compatible con carcinoma de células renales como primera posibilidad o excepcionalmente con sarcoma dado el gran número de calcificaciones.
En el control analítico se aprecia aumento de VSG y presencia de anemia no conocida, con una cifra de Hb 9,7g/dl. Durante el proceso diagnóstico la paciente no sufre síndrome general pero sí se objetiva una pérdida de peso de unos 5kg en un mes.
El diagnóstico anatomopatológico, tras biopsia en el servicio de urología, se informa como: tumor maligno fusocelular morfológicamente compatible con carcinoma sarcomatoide. Se inicia tratamiento con temsirolimus. La paciente precisa analgesia del tercer escalón de la OMS. En TC posterior se observa avance rápido del proceso.
El carcinoma renal sarcomatoide supone entre el 1-3% de las neoplasias malignas renales en el adulto1, aunque en algunas series se propone ampliar el abanico entre el 1 y 15%2 por razones de precisión diagnóstica. Fue descrito por primera vez por Farrow en 19683. Habitualmente son tumores voluminosos y 1/3 de ellos son palpables. El diagnóstico suele ser con la enfermedad avanzada4.
La incidencia parece ligeramente superior en varones1,5. La clínica es similar a cualquier enfermedad maligna retroperitoneal, presentando fundamentalmente manifestaciones inespecíficas y sensación de masa; siendo usual la presencia de un intenso síndrome general (que no ha aparecido en nuestro caso), dolor lumbar y hematuria. En la analítica podemos apreciar elevación de la VSG y anemia.
El diagnóstico de presunción tras la orientación clínica se realiza con las pruebas de imagen buscando un proceso expansivo retroperitoneal. En nuestro caso, por su accesibilidad e inocuidad, una ecografía en la consulta de atención primaria. El diagnóstico definitivo es el anatomopatológico. Hay varias teorías del origen histológico de este tumor que no se han podido confirmar a día de hoy5. Deben existir células fusocelulares y demostrar necesariamente la presencia de elementos epiteliales.
En nuestro caso, se identifica una proliferación neoplásica de patrón fusocelular que incluye elementos epiteliales identificados mediante inmunohistoquímica con citoqueratinas, inmersos en un componente sarcomatoso que expresa inmunorreactividad para actina de músculo liso, HHF35 y CD10. Estos datos nos permiten su clasificación6.
El tratamiento de elección es de nefrectomía radical2,3,7. Las metástasis más comunes son hueso y pulmón. Se trata de un tumor de comportamiento muy agresivo, de pronóstico infausto, con una supervivencia media de 6 meses1 y una supervivencia a los 5 años inferior al 2%5. El caso que describimos tuvo una supervivencia de unos 4 meses desde el diagnóstico de presunción en la consulta de primaria. La complicación determinante para el éxitus fue pulmonar, precisando de soporte con oxigenoterapia domiciliaria y drenaje de derrame pleural unilateral derecho, medidas a pesar de las cuales la paciente sufría disnea de mínimos esfuerzos y ocasionalmente de reposo. Se instauró tratamiento paliativo para síntomas de dolor, disnea, agitación y pérdida de la vía oral.
Responsabilidades éticasProtección de personas y animalesLos autores declaran que para esta investigación no se han realizado experimentos en seres humanos ni en animales.
Confidencialidad de los datosLos autores declaran que han seguido los protocolos de su centro de trabajo sobre la publicación de datos de pacientes.
Derecho a la privacidad y consentimiento informadoLos autores han obtenido el consentimiento informado de los pacientes y/o sujetos referidos en el artículo. Este documento obra en poder del autor de correspondencia.
Conflicto de interesesLos autores declaran que no existe conflicto de intereses.





