Paciente de 62 años con antecedentes personales de hipertensión arterial, dislipemia y accidente isquémico transitorio de origen isquémico, consultó por cuadro catarral de cuatro días de evolución, consistente en odinofagia, tos sin expectoración, rinorrea bilateral y mialgias generalizadas.
La paciente presentaba cifras de presión arterial dentro del rango de normalidad y SatO2 99%. A la exploración sólo destacó leve hiperemia faríngea, con auscultación cardiopulmonar normal. Debido a la alta incidencia de COVID-19 en el momento de la atención, se realizó toma de muestra con hisopo nasal para realizar reacción en cadena de la polimerasa (PCR). Se pautó tratamiento sintomático y se aconsejó extremar medidas higiénicas, quedando a la espera de los resultados de la muestra tomada.
Pasados siete días, la paciente acudió de nuevo a consulta habiendo ya cedido la sintomatología catarral de los días previos, consultando por rinorrea acuosa con líquido de aspecto cristalino por fosa nasal izquierda exclusivamente, cuyo inicio atribuía la paciente a la realización de la toma del hisopo nasal la semana previa. A la anamnesis, la paciente refería aumento de la rinorrea con maniobras de Valsalva y persistencia en decúbito con deglución de esta con «sabor salado», tal y como comenta la paciente. En los últimos días no había presentado fiebre ni cefalea ni otra sintomatología adicional.
Ante esta nueva sintomatología, se realizó tira reactiva al material obtenido de la fosa nasal afecta, resultando positiva para glucosa. Todo ello llevó a la sospecha de una posible fístula de líquido cefalorraquídeo (LCR) postraumática secundaria a la toma de muestra del hisopo nasal, por lo que se derivó al Servicio de Urgencias Hospitalarias para completar estudio.
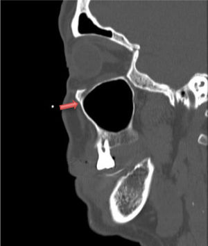
En Urgencias se solicita recuento de LCR y TC craneal en la que se identifica desmineralización a nivel de fóvea etmoidal izquierda de 2mm (fig. 1) sugestiva de solución de continuidad a nivel de fosa craneal anterior. Finalmente, la paciente ingresó a cargo del Servicio de Neurocirugía ante la confirmación de la presencia de fístula de líquido cefalorraquídeo traumática que precisó intervención quirúrgica para su reparación.
La fístula de líquido cefalorraquídeo es la salida de LCR del espacio subaracnoideo hacia el espacio nasosinusal que clásicamente se clasifica según su etiología en traumática y atraumática. La traumática se relaciona habitualmente con procedimientos quirúrgicos previos vía transnasal o bien con traumatismos; la atraumática se relaciona con alteraciones congénitas (enfaloceles, meningoencefaloceles…)1,2. En el caso de nuestra paciente, la fístula de LCR fue causada tras la realización de la toma de muestra con hisopo nasal para la PCR, pues no había presentado ni cirugías, ni traumatismos craneoencefálicos previos.
Aunque es esta una entidad poco prevalente, desde el inicio de la pandemia por COVID-19 está en aumento y se han descrito varios casos en relación con la realización de millones de pruebas diagnósticas3,4. La tasa de complicaciones de la toma de muestras con hisopo nasal es baja y, a menudo, son complicaciones leves, como epistaxis, cuerpo extraño nasal o dolor diferido5,6; sin embargo, puede tener lugar este tipo de complicaciones más infrecuentes que, sin un correcto diagnóstico temprano, pueden preceder a complicaciones potencialmente mortales7.
Desde Atención Primaria se sospechó una fístula de LCR secundaria a la manipulación nasal para la toma de muestra, todo ello orientado por la rinorrea transparente unilateral, así como por la confirmación de los datos de alarma en la anamnesis dirigida, como son el aumento del débito con Valsalva y deglución con sabor salado en decúbito.
Ante tal sospecha diagnóstica, se realizó tira reactiva resultando positiva para glucosa, lo cual es orientativo de que el material excretado contiene LCR1,7 debido al transporte activo de la glucosa a través de la barrera hematoencefálica, por lo que la concentración de glucosa en LCR es directamente proporcional a la hallada a nivel plasmático8. Aunque esta prueba es fácil de realizar y se encuentra ampliamente disponible en los centros sanitarios, no se recomienda como prueba confirmatoria debido a su baja sensibilidad y especificidad diagnósticas, ya que pueden darse falsos positivos por contaminación de otros fluidos (secreciones mucosas, sangre, lágrimas), también en pacientes diabéticos y en infecciones respiratorias7, si bien es de los pocos recursos disponibles con los que se cuenta en Atención Primaria y puede servir de orientación ante la sospecha de dicha patología.
La fístula de LCR es una complicación infrecuente tras la toma de muestras con hisopos nasales para la realización de PCR; sin embargo, se han descrito numerosos casos en los últimos años con la particularidad de poder aparecer en pacientes sin factores de riesgo, como cirugías previas. Es por ello que la realización del procedimiento se ha de llevar a cabo por personal adiestrado con el fin último de evitar este tipo de complicaciones. Además, en pacientes con cirugías nasales o de la base del cráneo, se deberá evitar la manipulación nasal con hisopos como método diagnóstico.
La importante labor del Médico de Atención Primaria recae en la capacidad de poder establecer diagnósticos aplicando los recursos disponibles, siendo en muchas ocasiones insuficientes en cuanto a pruebas complementarias. Es por ello que las herramientas más valiosas con las que se cuenta son la realización de una minuciosa anamnesis dirigida a detectar datos de alarma y una completa exploración física. En este sentido, resulta primordial la accesibilidad que se tiene para los pacientes y con ello poder realizar un correcto seguimiento de sus patologías.
FinanciaciónEste trabajo no ha recibido ningún tipo de financiación.
Responsabilidades éticasLos autores cuentan con el consentimiento informado del paciente.
Conflicto de interesesLos autores declaran no tener ningún conflicto de intereses.




