Presentamos el caso de un varón de 44 años, residente en una zona urbana de Extremadura, sin contactos con animales, y que acude por un cuadro de dolor dorsal no irradiado de varias semanas de evolución. Comenta que el dolor es de tipo sordo, de aparición con el decúbito a nivel de la charnela dorsolumbar, y mejora con la sedestación y bipedestación. No presenta síndrome febril ni constitucional, ni traumatismo previo, ni dolor abdominal.
En la exploración física no observamos lesiones dérmicas, ni deformaciones. La estática de la columna es correcta, con el balance articular y muscular conservado. No tiene dolor en las apófisis espinosas ni en las articulaciones posteriores. La exploración neurológica es normal.
Prescribimos AINE y fisioterapia (electroterapia analgésica, termoterapia profunda), manipulaciones y terapia miofascial, sin mejoría, por lo que solicitamos estudio radiográfico en carga de la columna dorsolumbar en 2 proyecciones y analítica, sin que aparezcan alteraciones analíticas de interés. Pero en la radiografía se observa una lesión calcificada parcialmente de aspecto redondeado y de grandes dimensiones en hipocondrio derecho a nivel subfrénico, sin otras alteraciones.
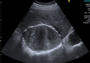
Realizamos estudio ecográfico abdominal por masa de probable evolución crónica a nivel hepático, sin alteraciones analíticas (reactantes de fase aguda negativos), ni repercusión sobre el estado general donde apreciamos 2 imágenes de características quísticas en el lóbulo hepático derecho de 13×10×9cm con zonas calcificadas y otra de menor tamaño en el lóbulo izquierdo con contenidos en sus interiores tipo vesiculiforme sugestivos de quistes hidatídicos (fig. 1). Los hallazgos ecográficos en esta entidad pueden variar desde lesiones quísticas hasta otras aparentemente sólidas. Existen varias clasificaciones, la clásica de Gharbi et al.1 de 1981 y más recientemente la de la OMS de 2003 (WHO/IWG)2 con la intención de unificar de forma sencilla el diagnóstico y el tratamiento de la hidatidosis basado en los hallazgos de las imágenes ecográficas.
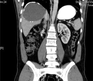
Completamos el estudio con la radiografía de tórax, donde no se aprecian lesiones, y con la tomografía computarizada (TC) abdominal, donde se confirma la existencia de 2 quistes hidatídicos (fig. 2), sin que se observe lesión en el esqueleto axial.
El paciente es valorado por cirugía hepatobiliar, donde aconsejan intervención quirúrgica debido al riesgo de rotura por su gran tamaño. No se instaura tratamiento farmacológico previo ni posterior a la intervención ante la poca evidencia de beneficios en este caso y sí posibles efectos adversos.
Tres meses después se realiza la intervención mediante laparotomía subcostal derecha con ampliación vertical subxifoidea con quistoperiquistectomía total de los quistes a nivel del segmento 3 y 7, este último en íntimo contacto con el diafragma.
En las revisiones el paciente no vuelve a referir el dolor por el que había consultado, presenta buena evolución de la herida quirúrgica y una vuelta progresiva a la actividad previa. Damos el alta laboral a las 7 semanas.
Este caso tiene interés desde nuestro punto de vista por el hecho de ser una forma muy inusual de presentación clínica de una hidatidosis múltiple en un paciente sin factores de riesgo, pero residente en un área endémica. Esta se suele presentar como un hallazgo casual en un estudio por otra causa o también como alteración de las transaminasas, colestasis, síndrome febril, cólico biliar, hemoptisis o abdomen agudo entre otros. Además de tener un diagnóstico accesible mediante técnicas de imagen a nuestro alcance.
La hidatidosis es una parasitosis tipo ciclozoonosis endémica en nuestro medio producida por la larva del Echinococcus granulosus donde el ser humano es un huésped intermedio accidental. Asienta principalmente a nivel hepático (66%) seguido del pulmonar, aunque puede afectar a otras zonas del cuerpo (bazo, riñón, cerebro, etc.)3. Se diagnostica mediante ecografía abdominal, TC o resonancia magnética. La analítica muestra resultados inespecíficos. Las pruebas serodiagnósticas pueden ser de utilidad, aunque su negatividad no descarta el diagnóstico. Esta forma de inicio, en forma de dolor a nivel del raquis es infrecuente y debe ser considerada como una causa potencial especialmente en determinadas regiones de nuestro medio como Extremadura, ambas Castillas y Aragón, donde supone un problema de salud importante a pesar de las medidas preventivas establecidas. Los tratamientos disponibles son los antiparasitarios, la punción, aspiración, inyección de escolicidas y re-aspiración (PAIR) y la cirugía. Actualmente en aquellos de riesgo alto de rotura/complicaciones o sintomáticos la quistoperiquistectomía total es el método de elección4.
FinanciaciónLos autores declaran no haber recibido financiación para la realización de este trabajo.
Conflicto de interesesNo existe ningún conflicto de intereses.
Responsabilidades éticasSe ha contado con el consentimiento del paciente y se han seguido los protocolos de los centro de trabajo sobre tratamiento de la información de los pacientes.





