INTRODUCCIÓN
La cervicalgia es el dolor en la región posterior del cuello que puede incluir la musculatura paravertebral cervical uni o bilateralmente1. Se estima que más de la mitad de la población general padece dolor cervical y que la tercera parte de los pacientes que consultan por cervicalgia presentan síntomas de duración superior a 6 meses, o el cuadro es de carácter recidivante2.
Los problemas mecánicos como los traumatismos y la patología degenerativa son las causas más frecuentes de dolor cervical. No obstante, el diagnóstico es muy amplio e incluye patología inflamatoria, neoplásica, infecciosa y los dolores referidos3. Clasificamos el dolor cervical según diversos criterios (tabla 1).
EXPOSICIÓN DEL CASO
Se trata de una mujer de 64 años, ama de casa, que consulta por cervicalgia de varios meses de duración, sin traumatismo previo. No tiene antecedentes patológicos familiares ni personales de interés, excepto menopausia a los 46 años y dolor cervical recurrente por el que hace más de 15 años le diagnosticaron "artrosis".
El dolor es de características mecánicas y no se irradia; mejora con el reposo y no limita su actividad diaria. Refiere episodios similares desde hace años, que ocasionalmente se acompañan de vértigo y siempre ha tenido dificultad para girar la cabeza, incluso en la infancia. No presenta fiebre, afectación del estado general, astenia ni pérdida de peso. En la exploración observamos que tiene un cuello corto. La palpación de la musculatura paravertebral cervical es dolorosa y la exploración neurológica es normal. La flexión del cuello está dentro de rango normal. La rotación lateral con la cabeza en flexión no alcanza los 30º, lo que sugiere alteración al nivel de C1-C2. La rotación lateral con la cabeza erguida para explorar C2-C4 es menor de 50º, lo cual indica afectación a dicho nivel. Con la paciente en decúbito realizamos la maniobra de rigidez de nuca y objetivamos limitación de la movilidad cervical.
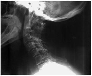
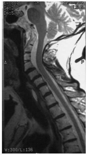
Con la sospecha de patología atlantoaxoidea se solicita radiografía cervical, apreciándose en la proyección lateral (fig. 1) fusión de las articulaciones interapofisarias posteriores y bloque C2-C4, con lo que se establece la sospecha diagnóstica de síndrome de Klippel-Feil. Se realiza tomografía axial computarizada (TAC), donde se describe fusión occipitoatlantoidea, fusión de los cuerpos vertebrales y de los elementos posteriores de C2, C3 y C4, atrofia de los discos intervertebrales y disminución del diámetro anteroposterior de los cuerpos vertebrales. Ante los hallazgos de la TAC se recomienda realizar una resonancia magnética (RM) para estudiar el canal medular. En la RM (fig. 2) se observa acentuación de la lordosis en los niveles C2 - C3 - C4 asociada a fusión parcial de dichos cuerpos vertebrales con hipoplasia relativa de los mismos; se excluyen compromisos mecánicos extrínsecos sobre la unión bulbomedular o cordón medular. La RM confirma la existencia de síndrome de Klippel-Feil tipo 2 sin compromiso neurológico.
Figura 1. Radiografía lateral de columna cervical con sinostosis en C2-C3-C4.
Figura 2. Resonancia magnética que muestra hipoplasia y fusión parcial de los cuerpos vertebrales C2, C3 y C4.
DISCUSIÓN
La causa más frecuente de cervicalgia es la sobrecarga mecánica de las estructuras cervicales4, siendo un proceso autolimitado de origen benigno que habitualmente no precisa de estudios complementarios.
Es fundamental llevar a cabo una anamnesis que recoja los antecedentes personales y traumáticos, infecciones recientes, enfermedades sistémicas, la actividad laboral, los hábitos posturales y la capacidad funcional. Hay que investigar las características del dolor cervical y la presencia o no de síntomas de alarma.
Realizar un examen clínico riguroso y sistemático que valore el balance articular, los puntos sensibles mediante la palpación y la exploración neurológica nos puede ayudar a detectar la estructura en la que se produce el dolor. La valoración articular del raquis cervical determina la existencia o no de restricción de la movilidad. Esta limitación expresa una disfunción de las estructuras cervicales bien de origen musculoesquelético, bien articular4, y como ocurre en el caso expuesto la afectación predominante de las rotaciones nos debe hacer sospechar de afectación atlantoaxoidea3.
Los estudios radiológicos nos ayudan confirmando o descartando otras patologías mayores como fracturas o tumores cuando existen dudas diagnósticas5. La RM es un instrumento fundamental para el diagnóstico en el dolor cervical, identifica la compresión radicular o medular. Destaca su utilidad para identificar situaciones graves como la malformación de Arnold-Chiari, la siringomielia, las infecciones o los tumores vertebrales o espinales4.
Sin embargo, la correlación entre la severidad radiológica y la presencia e intensidad de los síntomas no es muy alta. El examen radiológico, TAC y RM interpretados fuera del contexto clínico, pueden confundirnos con frecuencia, por ello es fundamental realizar una completa anamnesis y exploración.
Con demasiada frecuencia se comete la imprudencia de confiar la interpretación a partir sólo del examen radiológico y, en los últimos años, de otras técnicas de diagnóstico por la imagen. Con ello se olvidan tres hechos incuestionables: el origen del dolor puede ser extravertebral, hay trastornos de la columna que no se detectan en las imágenes radiológicas y hay alteraciones radiológicas que son asintomáticas6.
Nuestra paciente presenta dolor cervical crónico de carácter mecánico con limitación severa en la movilidad cervical, que junto con la rigidez detectada en la exploración aconsejan practicar estudio radiológico, mediante el que establecemos el diagnóstico de probable síndrome de Klippel-Feil. En el caso expuesto estamos obligados a realizar el estudio de RM para descartar mielopatía. Sin embargo, la inmensa mayoría de los dolores raquídeos no irradiados son de causa desconocida y de carácter benigno, y el estudio radiológico no explica la causa del dolor1.
El síndrome de Klippel-Feil fue descrito por primera vez por Maurice Klippel y Andre Feil en 19127. La malformación de Klippel-Feil es una sinostosis congénita de las vértebras cervicales por un fallo de segmentación entre la tercera y octava semanas de embriogénesis. La mayoría son casos aislados e idiopáticos8. Ocurre en 1 de cada 42.000 nacimientos, y en el 60% de los casos son mujeres7.
Las manifestaciones anatómicas y clínicas de este síndrome varían mucho, desde cuadros leves hasta grave discapacidad9.
La tríada clínica característica aparece en menos del 50% de los casos y consiste en cuello corto, implantación baja del cabello en la región occipital y movilidad cervical limitada. En su forma más frecuente tan sólo dos o tres vértebras aparecen fundidas; otras veces es toda la columna cervical la que se une formando un bloque10. Se han descrito tres tipos de síndrome de Klippel-Feil:
1) Tipo 1: fusión cervical espinal en la que elementos de muchas vértebras son incorporados en un único bloque.
2) Tipo 2: fusión cervical espinal en la que hay falta de segmentación completa de sólo uno o dos niveles cervicales y puede incluir fusión occipito-atlantoidea.
3) Tipo 3: tipo 1 o tipo 2 con coexistencia de errores en la segmentación en la columna dorsal baja o lumbar11.
El diagnóstico del síndrome de Klippel-Feil es radiológico. Con frecuencia se trata de hallazgos radiológicos, pero a veces se asocian a otros trastornos disráficos como la siringomielia, la espina bífida o la malformación de Arnold Chiari10. El síndrome de Klippel-Feil suele asociarse a otras anomalías como escoliosis (60%), malformaciones renales (35%), sordera (30%), deformidad de Sprengel (30%), sincinesias (20%) y anomalías cardíacas (14%)12.
Se relaciona tanto con secuelas neurológicas espontáneas y progresivas como con predisposición para lesiones neurológicas graves tras pequeños traumatismos del cuello13. El tratamiento incluye la detección y el manejo de las anomalías coexistentes, así como la prevención de inestabilidad cervical o artropatía degenerativa futuras8.
Correspondencia: R. Cabral Rodríguez.
Centro de Salud Alpes-Las Rosas.
C/ Suecia 62.
28022 Madrid.
Correo electrónico: rcabralr@hotmail.com
Recibido el 17-06-2007; aceptado para su publicación el 13-09-2007.






