Los hematomas espontáneos de la pared abdominal son una afección infrecuente, que puede presentar dudas en el diagnóstico diferencial dadas sus manifestaciones clínicas (dolor abdominal, masa abdominal, etc.), lo que obliga a realizar un diagnóstico diferencial con otros procesos dentro del abdomen agudo, especialmente en el paciente anciano con síntomas atípicos. A pesar de ser conocido desde la antigüedad, es en los últimos años cuando se le ha dedicado más atención debido a factores predisponentes, como son la vejez y la anticoagulación. Aunque no siempre es posible encontrar un factor desencadenante1, la tos es el más frecuente2. Otros factores que se encuentran son: contracción muscular violenta (tos, estornudo, ejercicio físico), cirugía abdominal, embarazo, discrasias sanguíneas, etc.2,3
Exposición del casoSe trata de un varón de 67 años que acudió al Servicio de Urgencias por dolor abdominal muy intenso. Sus antecedentes eran hipertensión arterial, hipertrofia benigna de próstata, ACV en 1990 y disección aórtica intervenida quirúrgicamente en 1985. Se encontraba en tratamiento con amlodipino-valsartán.
El paciente acudió a Urgencias de un centro de salud rural por presentar desde hacía3h, tras un acceso de tos, un dolor abdominal muy intenso en epigastrio e hipocondrio derechos, siendo derivado de forma urgente al hospital ante la sospecha de una hernia estrangulada.
El paciente se mostraba muy inquieto, en posición antiálgica, con tensión arterial de 130/80mmHg, frecuencia cardiaca de 87lpm e intenso dolor. Se palpó una masa centroabdominal no pulsátil en hemiabdomen derecho de 7×8cm, muy dolorosa, un peristaltismo abdominal disminuido y una cicatriz de laparotomía media en el abdomen. Los pulsos radiales y femorales estaban presentes. La auscultación cardiaca y pulmonar fueron normales.
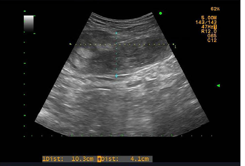
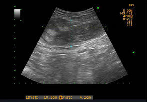
Se solicitaron una analítica y una ecografía abdominal urgentes. En la ecografía (fig. 1) se observaba un notable engrosamiento del músculo recto anterior del abdomen, visualizando un área irregular de ecogenicidad heterogénea de unos 10cm de eje craneocaudal y 4cm de eje anteroposterior, compatible con un hematoma intramuscular.
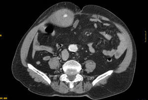
Para descartar una enfermedad retroperitoneal se realizó una TAC abdominal (fig. 2), en la que se observó un voluminoso hematoma a nivel del músculo recto anterior del abdomen derecho, con una longitud máxima de 24cm.
La analítica mostraba alteración de la función renal (urea 0,83mg/dl y creatinina 2,3mg/dl), y un hematocrito (hemoglobina 14,1g/dl, hematocrito 41,1%) y un estudio de coagulación dentro de parámetros normales.
Se solicitó colaboración a Cirugía, quienes indicaron intervención quirúrgica urgente por el dolor que presentaba el paciente, realizando drenaje del hematoma, que ocurrió sin incidencias, siendo la evolución favorable.
DiscusiónEl hematoma de pared anterior es una afección infrecuente, siendo más habitual en mujeres4 y en edad geriátrica5. Se produce por la rotura de la arteria epigástrica inferior o de pequeños vasos del músculo recto anterior del abdomen.
Los últimos estudios estiman una tasa de incidencia de una por cada 10.000 urgencias hospitalarias6, y Cerdán et al. la refieren como 2 casos al año7.
Entre los factores más predisponentes están la anticoagulación, circunstancia frecuente en pacientes ancianos, especialmente si se asocia a contracción violenta de la musculatura abdominal (tos, estornudo, etc.). También existen otros fármacos que pueden predisponer a esta dolencia, al ocasionar un trastorno en las plaquetas, como pueden ser antiinflamatorios (pirazolonas, ibuprofeno, colchicina, etc.), psicotrópicos (fenotiazinas y tricíclicos), diuréticos (furosemida), bloqueadores beta (propranolol), antibióticos (aminoglúcosidos y betaláctamicos), etc. Como podemos comprobar, existían factores de riesgo en nuestro paciente como la edad, la cirugía previa, el abdomen globuloso, 2 antecedentes que debilitan la musculatura abdominal, y el acceso de tos.
La clínica suele ser dolor abdominal brusco7, que obliga a realizar el diagnóstico diferencial con enfermedades que se engloban dentro del cuadro de abdomen agudo (peritonitis, rotura de aneurisma de aorta, etc.), ya que el sangrado produce irritación peritoneal que se traduce en dolor y defensa abdominal, que pueden simularlo. Otras manifestaciones frecuentes son descenso del hematocrito, náuseas, vómitos, síntomas urinarios por compresión vesical, signos de shock hipovolémico, etc.8.
En la exploración nos podemos ayudar de algunas maniobras para su diagnóstico, como son el signo de Fothergill, en el que al realizar contractura abdominal se determina una masa más visible y menos móvil si existe un hematoma; el signo de Lafont, en el que se observa una equimosis sobre la masa o tumoración, y el signo de Nadeu, en el que al elevar el paciente la cabeza o la pierna se produce un aumento del dolor a nivel del hematoma9.
El diagnóstico se confirma con la realización de una ecografía o una TC abdominal con una elevada sensibilidad6,10, aunque el punto más importante es pensar en esta dolencia y realizar una correcta anamnesis y exploración del paciente5. En la ecografía se observa una lesión ocupante de partes blandas, heterogénea, con áreas hipoecoicas que alternan con áreas hiperecoicas, y en la TC, una masa de partes blandas contenida dentro del músculo, homogénea o heterogénea; en caso de que exista hemorragia activa podemos detectar el punto sangrante con la administración de contraste intravenoso.
El tratamiento suele ser conservador, ya que el propio hematoma ejerce de autotaponamiento, y consiste en la aplicación de frío local, compresión abdominal, reposo, control del dolor con analgésicos, evitando los AINE, si es precio realizar transfusión sanguínea, y ante todo suspender el tratamiento antiagregante o anticoagulante, e incluso revertir la acción del último con vitamina K; se deben realizar controles analíticos y ecográficos para ver la evolución del hematoma. La cirugía se reserva para las complicaciones, como son el shock hipovolémico o la infección del hematoma. La cirugía debe ser lo más conservadora posible, limitándose al drenaje y al control del sangrado. Existe también otra alternativa, que es la embolización arterial del vaso por radiología intervencionista4,10.
La importancia del caso radica en su diagnóstico precoz para mejorar la evolución, que debemos tener siempre presente en el diagnóstico diferencial del abdomen agudo, especialmente en pacientes mayores.
Responsabilidades éticasProtección de personas y animalesLos autores declaran que para esta investigación no se han realizado experimentos en seres humanos ni en animales.
Confidencialidad de los datosLos autores declaran que han seguido los protocolos de su centro de trabajo sobre la publicación de datos de pacientes y que todos los pacientes incluidos en el estudio han recibido información suficiente y han dado su consentimiento informado por escrito para participar en dicho estudio.
Derecho a la privacidad y consentimiento informadoLos autores han obtenido el consentimiento informado de los pacientes y/o sujetos referidos en el artículo. Este documento obra en poder del autor de correspondencia.





