Una de las principales causas de asistencia a un centro médico (tanto de atención primaria como hospitalaria) es el dolor abdominal. En muchas ocasiones se presenta como un cuadro inespecífico que tras su estudio permanece sin un diagnóstico claro, si bien la mayor utilización de la ecografía y la tomografía axial computarizada (TAC) ha hecho que este número de casos «sin resolver» haya decrecido1.
Una de las posibles causas de dolor abdominal es el infarto omental, una entidad autolimitada, benigna y rara, poco conocida que es más frecuente en varones de entre 30-50 años2. Como su nombre indica, se debe a una isquemia de la grasa del epiplón mayor, generalmente del segmento derecho, por ser más móvil y tener una irrigación más larga y tortuosa que actúa como eje de torsión2–4.
Suele ocurrir tras cirugía abdominal reciente, aunque también hay casos idiopáticos, más frecuentes en pacientes obesos (sobre todo niños). Otros factores de riesgo son ejercicio extenuante, comidas abundantes, traumatismos…2,5. La etiopatogenia es poco conocida, postulándose una congestión vascular (por aumento de la presión intraabdominal), o una anomalía de los mismos (que los hace más susceptibles a la torsión e infarto)4,6,7.
Si bien puede simular un cuadro de abdomen agudo, no suele tenerse en cuenta en el diagnóstico diferencial, y pese a presentarse como un abdomen quirúrgico, por lo general, no requiere tal, por lo que su detección en las pruebas de imagen evitaría intervenciones innecesarias6,8.
Solo los casos refractarios al tratamiento conservador (analgesia y, en algunos casos, profilaxis antibiótica) en las primeras 48h y aquellos en los que existan dudas diagnósticas precisarán laparoscopia diagnóstica-terapéutica con resección del omento afecto3,4,7. En los casos por torsión del hilio omental, no se aconseja la desrotación manual por el riesgo de trombosis y necrosis tardía5.
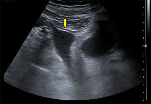
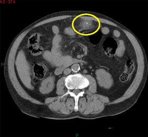
Analíticamente presenta datos inespecíficos: leucocitosis y elevación de reactantes de fase aguda como la proteína C reactiva (figs. 1 y 2).
La ecografía puede indicar el diagnóstico, mostrando una masa hiperecoica ovoidea3,7,8, pero es la TAC la herramienta diagnóstica fundamental, ya que permite no solo descartar otras causas de abdomen agudo, sino realizar el diagnóstico de certeza. Se presenta como una lesión de densidad grasa mayor de 3cm, de bordes mal definidos y con imágenes lineales finas en su interior de mayor densidad, generalmente medial al colon ascendente o anterior al tranverso3,6–8.
Una entidad que radiológicamente puede simular un infarto omental es la apendicitis epiploica, pero datos en contra de esta serían el tamaño superior a 3cm y la ausencia de anillo hiperdenso en la TAC con contraste. Ambas entidades forman parte de lo que se conoce como «infarto graso focal intraabdominal», siendo su manejo similar, por lo que la diferenciación entre una afección y otra carece de relevancia clínica8,9.
Caso clínicoNuestro caso trata de un varón de 72 años que acude a urgencias hospitalarias por dolor abdominal difuso de instauración súbita que le despertó de madrugada, llevando en el momento de la atención 2h de evolución. Niega ingesta masiva previa de alimentos o esfuerzos que hayan podido desencadenar el cuadro, no achacándolo a ningún motivo. Lo localiza por todo el abdomen, describiéndolo «como una puñalada». Ha tomado un ibuprofeno, sin obtener mejoría del cuadro. Niega también vómitos, diarrea o estreñimiento acompañante, destacando a simple vista una sudoración profusa con leve taquicardia (125lpm), siendo el resto de las constantes vitales normales.
Como antecedentes personales refiere hipertensión arterial, diabetes mellitus tipo 2 y dislipidemia, estando en tratamiento actualmente con amlodipino, losartán, hidroclorotiazida, metformina, atorvastatina y AAS.
A la exploración solo destaca dolor abdominal generalizado, con predominio en hemiabdomen derecho y defensa muscular.
En cuanto a las pruebas complementarias, el electrocardiograma muestra taquicardia sinusal a 125lpm sin otros hallazgos de interés. La radiografía, una correcta distribución del luminograma aéreo con gran cantidad de heces en marco cólico, y en la analítica, leve leucocitosis con desviación izquierda y elevación de la proteína C reactiva.
Pese a la analgesia administrada, el dolor persiste, por lo cual se solicita ecografía abdominal, donde se objetiva líquido libre sin otro hallazgo patológico. Se decide realizar TAC, con la que se llega al diagnóstico definitivo de infarto omental.
Ante la ausencia de control del dolor, se interconsulta con cirugía general, que acepta ingreso a su cargo. Tras 10 días de ingreso, el mismo desaparece, por lo que se acuerda alta domiciliaria con revisión en consultas externas.
DiscusiónSe piensa que, dada la relación entre el infarto omental y la obesidad, el aumento de la prevalencia de esta va a conllevar en los próximos años un incremento en la incidencia de casos3,7.
Pese a la tendencia en el manejo conservador de esta dolencia, no hay evidencias significativas con respecto a la cirugía, habiendo autores que optan por esta última por evitar complicaciones derivadas del cuadro (sepsis, abscesificación, adherencias) y del uso excesivo de pruebas complementarias, y disminuir el tiempo de estancia hospitalaria2,4,10.
Responsabilidades éticasProtección de personas y animalesLos autores declaran que para esta investigación no se han realizado experimentos en seres humanos ni en animales.
Confidencialidad de los datosLos autores declaran que en este artículo no aparecen datos de pacientes.
Derecho a la privacidad y consentimiento informadoLos autores declaran que en este artículo no aparecen datos de pacientes.
Conflicto de interesesLos autores declaran no tener ningún conflicto de intereses.





