El síndrome de Goodpasture (SGP) es un trastorno autoinmune raro, de etiología desconocida, con una incidencia de 0,1 casos por millón de habitantes. Se caracteriza por la asociación de hemorragia alveolar, glomerulonefritis rápidamente progresiva y positividad para anticuerpos anti-membrana basal glomerular (anticuerpos anti-MBG). Un tercio de los pacientes con SGP presentan anticuerpos anticitoplasma de neutrófilo (ANCA), en su mayoría p-ANCA. Para el diagnóstico clínico es necesaria la presencia de manifestaciones renales y pulmonares, apareciendo por lo general primero los síntomas pulmonares (siendo la hemoptisis el más frecuente). El síndrome se sospecha en pacientes con hemoptisis o hematuria, y se confirma por la presencia de anticuerpos anti-MBG en la sangre o en una muestra de biopsia renal. El tratamiento actual incluye plasmaféresis, corticoides e inmunodepresores, y está orientado al manejo de las complicaciones por sangrado, como son la anemia o la inestabilidad hemodinámica, y a la disminución de la cantidad de anticuerpos circulantes. En cuanto al pronóstico, la mayoría de los casos progresan a insuficiencia renal terminal; si bien cuando el tratamiento se inicia antes de la aparición de insuficiencia respiratoria o renal) el pronóstico es bueno. La afectación del sistema nervioso central (SNC) en el SGP es extremadamente infrecuente en ausencia de ANCA; solo se han descrito 4 casos en la bibliografía, y todos ellos —con o sin hemoptisis— presentaron crisis convulsivas recurrentes relacionadas con vasculitis cerebral. El objetivo de esta nota clínica es presentar y discutir el caso de un paciente de 81 años de edad que, tras comenzar con hemoptisis, fue diagnosticado de SGP y desarrolló deterioro progresivo del nivel de conciencia e insuficiencia hepática aguda que culminó con el fallecimiento del paciente a los 19 días de haber ingresado en el hospital.
Goodpasture syndrome (GPS) is a rare autoimmune disorder whose aetiology is still unknown, with an incidence of .1 cases per million inhabitants. It is characterized by the association of alveolar haemorrhage, rapidly progressive glomerulonephritis and anti-glomerular basement membrane antibodies (anti-MBG antibodies). A third of patients with GSP have anti-neutrophil cytoplasmic antibodies (ANCA), mostly p-ANCA. For clinical diagnosis the presence of renal and pulmonary manifestations is required, of which pulmonary symptoms (most commonly haemoptysis) usually precede renal manifestations. The syndrome is suspected in patients with haemoptysis or haematuria and is confirmed by the presence of anti-MBG antibodies in the blood or in a renal biopsy sample. Current treatment includes plasmapheresis, corticosteroids and immunosuppressants, and is aimed at the management of bleeding complications, such as anaemia or haemodynamic instability, and the decrease in the amount of circulating antibodies. In terms of prognosis, most patients will invariably progress to end-stage renal failure; however, prognosis is better if treatment is started before the onset of respiratory or renal failure. Central nervous system (CNS) involvement in GPS is extremely rare in the absence of ANCA antibodies; there have only been four cases described in the literature and all of them —with or without haemoptysis— reported recurrent seizures crisis related to cerebral vasculitis. The aim of this case report is to describe and discuss the case of an 81-year-old patient who debuted with haemoptysis and was subsequently diagnosed with SGP and developed progressive deterioration of consciousness, as well as acute liver failure that ended up with the death of the patient 19 days after being admitted to hospital.
Paciente de 81 años que acudió a urgencias por cuadro de 2 semanas de duración de tos intensa y hemoptisis. Según refería, venía arrastrando desde hacía varios meses episodios intermitentes de tos nocturna y esputos hemoptoicos. Asociaba en dicho período síndrome constitucional, consistente en pérdida ponderal de 20kg, hiporexia progresiva, astenia y adinamia. Entre los antecedentes personales del paciente cabe destacar artritis reumatoide, hipertensión arterial, anemia ferropénica crónica y, como único antecedente neumológico relevante, tromboembolismo pulmonar agudo en 2013. El paciente era exfumador (con índice de consumo acumulado de tabaco de 38 paquetes/año) y epidemiológicamente no presentaba exposiciones de riesgo (ni laborales ni tampoco viajes a áreas endémicas de tuberculosis). Tratamiento habitual: clopidogrel, pantoprazol, hierro, fentanilo parches, mepifilina, ácido alendrónico y denosumab (fig. 1).
Se ingresó con su tratamiento habitual y recibió una dosis intravenosa de levofloxacino. Al ingreso, el paciente presentaba aspecto frágil, pero mantenía aceptable el estado general, el estado mental conservado y permanecía hemodinámicamente estable y afebril, con pulsioximetría del 92% respirando aire ambiente. A la exploración física destacaban crepitantes secos finos en vértices pulmonares (predominantes en hemitórax derecho), abdomen doloroso a la palpación profunda de hipocondrio derecho y mínimos edemas distales no foveolares en miembros inferiores (fig. 2).
Analíticamente, al ingreso, presentaba discreto deterioro de la función renal sin alteraciones en el ionograma ni en el perfil hepático con moderado aumento de reactantes de fase aguda (proteína C reactiva 48mg/dl). Presentaba asimismo, anemia de perfil microcítico hipocrómico (que arrastraba de forma crónica), sin otras alteraciones en el hemograma, con coagulación en el límite inferior de la normalidad. En el sistemático de orina no presentaba hematuria ni proteinuria. En la radiografía de tórax destacaba patrón reticular fino bilateral de predominio apical derecho, con áreas de relleno alveolar y nodular. tabla 1
Evolución analítica
| Ingreso | Control 1 | Control 2 | Control 3 | Control 4 | |
|---|---|---|---|---|---|
| Creatinina; mg/dl | 1,03 | 1,0 | 0,95 | 0,97 | 0,97 |
| Bilirrubina total; mg/dl | 2,3 | 6,57 | 6,02 | 7,94 | |
| Bilirrubina directa; mg/dlBilirrubina indirecta; mg/dl | 1,34 | 2,214,36 | 2,143,88 | 2,855,09 | |
| GPT; μ/l | 22 | 109 | 71 | 60 | |
| GGT; μ/l | 224 | 307 | 244 | 249 | |
| Fosfatasa alcalina; μ/l | 182 | 169 | 134 | 152 | |
| LDH; μ/l | 246 | 311 | 236 | ||
| Colesterol; mg/dl | 118 | ||||
| Hemoglobina; g/dl | 9,2 | 8,3 | 10,9 | 8,9 | 9,8 |
| Reticulocitos; % | 3,3 | ||||
| Leucocitos; ×103/mcl | 4.640 | 14.000 | 7.460 | 16.001 | |
| Plaquetas; ×103/mcl | 160.000 | 139.000 | 140.000 | 119.000 | |
| Tiempo protrombina; %INR | 71%1,24 | 68%1,27 | 64%1,34 | ||
| Cultivo de esputo | Negativo | ||||
| BAAR de esputo | Negativo | ||||
| Cultivo de micobacterias en esputo | Negativo | ||||
| AutoinmunidadENAAnti-DNAANCAAnti-MBGAnti-péptido citrulinado | NegativosNegativosNegativosPositivos 15 UI/ml (Normal: menor a 10UI/ml)340 | ||||
| SerologíaVHA, VHB, VHC, VHE | Negativo | ||||
ANCA: anticuerpo anticitoplasma de neutrófilos; Anti-MBG: anticuerpo antimembrana basal glomerular; BAAR: bacilo ácido-alcohol resistente; ENA: anticuerpos anti-antígenos de núcleo extraíble; GGT: gammaglutamil-transpetidasa; GPT: transaminasa glutámico-pirúvica; INR: international normalized ratio; LDH: lactato deshidrogenasa; TP: tiempo de protrombina.
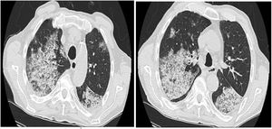
Tras notable cierto deterioro clínico durante los primeros días del ingreso, y ante la persistencia de hemoptisis franca objetivada y febrícula diaria, se solicitó tomografía computarizada (TC) de tórax para filiar el cuadro. Este mostraba áreas múltiples en vidrio deslustrado y patrón crazy paving, que podían ser compatibles con hemorragia alveolar, aunque no podía descartarse proceso neumónico multilobar. Se solicitaron determinaciones de autoinmunidad, baciloscopias y cultivos de esputo. Las determinaciones microbiológicas fueron negativas, y con la sospecha de que se tratara de una hemorragia alveolar de etiología autoinmune (aunque todavía pendientes de resultados de autoinmunidad) se decidió comenzar con bolos intravenosos de metilprednisolona, a dosis de 750mg/cada día/durante 3 días. Al segundo día del tratamiento con glucocorticoides recibimos los resultados que indicaban positividad para los anticuerpos anti-MBG. El paciente presentó aceptable tolerancia inicial a las dosis altas de glucocorticoides, con mejoría ostensible del estado general y cese de la expectoración hemoptoica.
No obstante, 3 días después del inicio del tratamiento, comenzó a exhibir datos compatibles con encefalopatía grado 3 (letargia profunda y mínima respuesta a estímulos), en el contexto de desarrollo de insuficiencia hepática aguda (con hiperbilirrubinemia mixta —sobre todo a expensas de bilirrubina indirecta— hipertransaminasemia y discreta hipocoagulabilidad). Se realizó TC craneal que descartó eventos intracraneales agudos, así como ecografía abdominal, compatible con hepatopatía crónica, pero sin otras alteraciones. Finalmente, con el paciente ya en coma perpetuado y ante la falta de respuesta a distintas medidas terapéuticas instauradas, se produjo el fallecimiento del paciente por fallo multiorgánico tras 19 días de hospitalización. No se pudo realizar autopsia clínica por negativa de los familiares.
DiscusiónTodos los casos comunicados de SGP con afectación neurológica presentaron crisis convulsivas recurrentes relacionadas con vasculitis cerebral, con o sin hemoptisis. Rydel y Rodby1 describieron el primer caso de vasculitis cerebral ANCA negativa asociado con SGP, demostrando infiltrados vasculíticos en la biopsia meníngea. Aunque la biopsia cerebral y meníngea constituye el patrón de oro para el diagnóstico de vasculitis cerebral, actualmente su realización puede estar limitada solo a pacientes con diagnósticos dudosos debido a la naturaleza agresiva del procedimiento. Además, en la mayoría de los casos descritos de SGP con afectación cerebral, el diagnóstico de vasculitis cerebral ANCA negativa asociado con SGP se realizó basándose en el cuadro clínico y en los hallazgos de las pruebas de imagen2,3.
Nuestro paciente comenzó con deterioro del nivel de conciencia a los pocos días de haber iniciado el tratamiento con glucocorticoides a dosis altas, al mismo tiempo que se produjo la insuficiencia hepática progresiva, por lo que, sin otros factores precipitantes, no se puede descartar que la causa de la alteración del nivel de conciencia sea la encefalopatía hepática debida a insuficiencia hepática aguda idiosincrásica inducida por el tratamiento con glucocorticoides; pero, dado que no se realizó autopsia clínica, tampoco se puede descartar que fuese consecuencia de una vasculitis autoinmune asociada al SGP.
Es conocido que los glucocorticoides, cuando se administran a altas dosis, e incluso cuando de forma crónica se administran a dosis medias-bajas4 (10-15mg diarios) pueden causar esteatosis hepática, ya que inhiben la esterificación de ácidos grasos en el hígado5,6. Además, producen un incremento de la resistencia insulínica7,8 lo que también se ha asociado a esteatohepatitis no alcohólica. Es cierto que la lesión hepática aguda relacionada con glucocorticoides es muy poco frecuente y de carácter idiosincrásico. Sin embargo, existen casos documentados en los que se demuestra hepatotoxicidad provocada por la administración de pulsos de metilprednisolona intravenosa8,9. Por consiguiente, aunque no podemos afirmarlo con seguridad, es probable que el deterioro de la función hepática pudiera estar relacionado con una reacción idiosincrásica a los glucocorticoides y que, en este contexto, se produjera la encefalopatía que desarrolló nuestro paciente, sin poder descartar que el deterioro neurológico se debiera a afectación vasculítica cerebral ANCA-negativa.
FinanciaciónFundación de neumólogos Virgen de las Nieves.
Conflicto de interesesLos autores declaran no tener ningún conflicto de intereses.





