Perivascular epithelioid cell tumors (PEComa) are rare neoplasms defined as mesenchymal tumors with distinctive histology and immunohistochemistry. They tend to occur in middle-aged patients and mostly in women. The tumours cells show an association with the walls of blood vessels. Most PEComas are benign although a proportion of these tumours behave aggressively. Case report of 47-years-old woman with retroperitoneal mass and laparoscopic resection that pathological anatomy showed retroperitoneal tumour compatible with PEComas. We describe the main characteristics of PEComas as well as their therapeutic approach.
Los tumores de células epitelioides perivasculares (PEComa) son neoplasias raras definidas como tumores mesenquimales con histología e inmunohistoquímica distintivas. Suelen aparecer en pacientes de mediana edad y principalmente en mujeres. Las células tumorales muestran una asociación con las paredes de los vasos sanguíneos. La mayoría de los PEComas son benignos, aunque una proporción de estos tumores se comporta de forma agresiva. Se presenta el caso de una mujer de 47 años con una masa retroperitoneal y resección laparoscópica cuya anatomía patológica mostró un tumor retroperitoneal compatible con PEComa. Describimos las principales características de los PEComas así como su abordaje terapéutico.
The concept of neoplasms with perivascular epithelioid cells (PEC) was described for the first time in 1943 by Apitz et al. Later in 1992, Bonetti and colleagues1 found that multiples tumors at various locations were composed of distinctive cells that originate from the walls of blood vessels and showed and showed similar morphologic, and imnuno-histochemical.2
PEComas are a group of neoplasms that includes renal and extrarenal angiomyolipoma (AML), lymphangio(leio)myoma and lymphangio(leio)myomatosis (LAM), clear cell (“sugar”) tumor (CCST) of the lungs and extrapulmonar sites. It was described the association between tuberous sclerosis complex (TSC) and some PEComas.3
They tend to appear in middle-aged patients and have a marked female predominance (ratio 7:1 female-to-male). Clinical features depend on the size and location of the tumour.4 More than 40% occur in the gynecologic tract, but 20-30% are found in the retroperitoneum, soft tissues and skin.5
Case reportA 47-year-old woman with a personal history of an acoustic neuroma, uterine fibroids and pulmonary lymphangioleiomyomatosis presented a 1-year history of intermittent pain in the left upper quadrant of abdomen. Computed tomography revealed a left retroperitoneal mass of 10cm in maximum diameter. Surgical resection of the mass was performed by laparoscopic in another medical center. The pathological anatomy showed a retroperitoneal tumour compatible with PEComa.
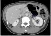
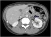
During follow-up, a possible para-aortic tumour recurrence and a lymphadenopathy suspected of malignancy were observed (Fig. 1). A PET-CT scan demonstrated a doubtful uptake in the retroperitoneal lesion (Fig. 2). In view of a possible tumour recurrence, the patient was assessed in conjunction with Internal Medicine. She had three major criteria for tuberous sclerosis (acoustic neurinoma, pulmonary lymphangioleiomyomatosis and retroperitoenal PEComa) and it was decided to start treatment with m-TOR inhibitors (sirolimus 2mg daily). Sirolimus levels are monitored every two months. After 3 months, a follow-up CT scan showed radiological improvement of the lesions with a decrease in the size of the mediastinal and retroperitoneal adenopathies described. (Fig. 3). At the present time, the patient has no signs of recurrence in control imaging tests and continues treatment with sirolimus, very well tolerated and without relevant adverse effects.
PEComas are composed of large polygonal epitheloid cells with granular eosinophilic cytoplasm. The immunohistochemistry of PEComas is characterized by being positive for smooth muscle markers as actin (80% of cases) and melanocytic markers, most often HMB-45 (90% of cases). Another marker such as desmin and S-100 protein are less often expressed.
PEComas often show alterations of the TSC genes caused by mutations of the TSC1 (9q34) or TSC2 (16p13.3) gene. TSC genes have an important role in the regulation of the mammalian target of rapamycin (m-TOR) pathway and it has been found that PEComas with TSC mutation have this pathway deregulated (leading to m-TORC1 hyperactivation).
Initially, these tumours were considered benign. However, as knowledge has advanced, multiple cases have been reported with local or metastatic spread at the time of diagnosis. Local recurrence occurs in 10-15% of patients and distance metastases in 20% (mostly to liver, lungs and bone). Overall, 10% of PEComa patients end up dying from their disease. The aggressive behaviour of PEComas is associated with tumour size greater than 5 cm, infiltrative growth pattern, high cellularity, high nuclear grade, mitotic activity and necrosis and vascular invasion.
At present, the only treatment that seems to improve the survival of these patients is surgery. Performing a R0 surgical resection manages to maintain tumour-free recurrence for several years in some patients. Due to the dysregulation of m-TOR pathway by mutation of TSC genes, it has been shown that sirolimus (and others m-TOR inhibitors such as temsirolimus and everolimus) has efficacy in renal AMLs and pulmonary LAM. Recently, some patients with malignant metastatic PEComas have been treated with sirolimus showing benefits but clinical trials are on going to evaluate the efficacy of this therapeuthic approach of PEComas.
ConclusionPEComas are rare tumors with perivascular disposition. They are most common in women and their location is in the retropertineum, uterus and abdomen/pelvis. Most PEComas are benign but it is important to know the aggressiveness factors of the tumor because a significant proportion of these tumors are malignant with an aggressive clinical course with metastases. At this moment, the only curative treatment is surgery. But as in the case of our patient, targeted therapies against mutations of TSC genes (like m-TOR inhibitors) are showing great results for the treatment of these tumours
StatementsThe authors have no relevant financial or non-financial interests to disclose.
Competing interestsThe authors declare no competing interests.
Informed consentAll patients included in this study have individually signed the informed consent form allowing the use of personal and medical data.





