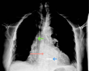
Paciente de 84 años con antecedentes de trombosis venosa profunda anticoagulado con acenocumarol, hipertensión arterial y enfermedad renal grado IV en hemodiálisis mediante catéter permanente subclavio derecho (fig. 1, flecha verde).
Ingresado en el hospital para implante de prótesis aórtica percutánea (fig. 1, flecha rosa) por estenosis aórtica muy severa y alto riesgo quirúrgico. Al tercer día del procedimiento, presentó bloqueo auriculoventricular completo con ritmo de escape con morfología de bloqueo de rama derecha similar al basal a 29lpm (fig. 2A).
Presentaba un alto riesgo de complicaciones vasculares con un sistema de estimulación convencional (infección del sistema de la prótesis aórtica y del catéter permanente), así como un elevado riesgo hemorrágico. Por ello se decidió implante de marcapasos sin cables AV para favorecer la sincronía auriculoventricular (fig. 1, flecha azul). El procedimiento se realizó sin complicaciones, con una detección de onda R de 8,5mV y un umbral de 0,5V a 0,24ms con una correcta sincronía AV (fig. 2B).
El electrocardiograma al alta mostró ritmo sinusal con estimulación ventricular con eje inferior y morfología de bloqueo de rama izquierda (fig. 2C). Este abordaje nos permitió minimizar el riesgo de complicaciones; es además el primer caso publicado de marcapasos sin cables AV en un paciente portador de prótesis aórtica percutánea.
FinanciaciónLos autores declaran no haber recibido financiación para la realización de este trabajo.




