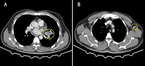
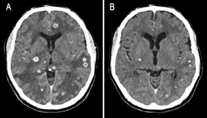
Se presenta el caso de un hombre de 64 años que consultó por malestar general, pérdida del equilibrio y anorexia. No explicaba cefalea, fiebre u otros síntomas. No tenía antecedentes médicos ni hábitos tóxicos destacables. En la exploración física destacó dismetría y marcha lenta e inestable. El examen de fondo de ojo fue normal. Analíticamente presentaba proteína C reactiva elevada (59,63 mg/l) sin leucocitosis. La radiografía de tórax y el electrocardiograma no mostraron hallazgos. La tomografía computarizada craneal reveló múltiples lesiones nodulares con realce difuso en anillo, de distribución en el cerebelo y el parénquima cerebral, con edema perilesional (fig. 1). Se inició dexametasona y el estudio en medicina interna. Los marcadores tumorales y las serologías realizadas (VIH, VHC, VHB, Treponema pallidum, citomegalovirus y toxoplasma) fueron negativos. La tomografía computarizada toracoabdominal mostró 2 tumoraciones parahiliares izquierdas sospechosas (fig. 2A) y adenomegalias mediastínicas y axilares (fig. 2B). La broncoscopia fue normal y no se encontraron células malignas en el lavado broncoalveolar. La biopsia de un ganglio axilar izquierdo evidenció granulomas epitelioides con células gigantes multinucleadas tipo Langerhans y necrosis caseificante central. Se inició el tratamiento empírico con isoniazida, rifampicina, etambutol y pirazinamida. Posteriormente, se aisló Mycobacterium tuberculosis en el cultivo del lavado broncoalveolar, no así en el líquido cefalorraquídeo. El ensayo de liberación de interferón gamma (IGRA) fue positivo y los hemocultivos fueron negativos. A las 3 semanas del tratamiento se observó la mejoría radiológica (fig. 3). El paciente completó 9 meses de tratamiento y alcanzó la curación.
No tenemos intereses financieros o no financieros relevantes que revelar.
FinanciaciónLos autores declaran que no recibieron fondos, subvenciones u otro tipo de apoyo durante la preparación de este manuscrito.
Consentimiento informadoEl paciente ha dado su consentimiento para el envío del informe del caso a la revista.





