Mujer de 55 años que presentaba, desde hace 6 días, erupción cutánea pruriginosa integrada por máculas eritematosas dianiformes con tendencia a la confluencia en tronco y extremidades superiores, sin afectación de mucosas (fig. 1). Había iniciado previamente tratamiento con hidroxicloroquina, 12 días antes de la aparición de lesiones cutáneas, por neumonía intersticial bilateral con PCR de SARS-CoV-2 positiva.
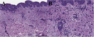
Los títulos de otras causas frecuentes de eritema multiforme, incluyendo virus herpes simple (VHS) y Mycoplasma pneumoniae, fueron negativos. La biopsia cutánea mostró dermatitis de interfase e infiltrados de eosinófilos, hallazgos compatibles con reacción alérgica medicamentosa (fig. 2).
Coincidiendo con la mejoría analítica y de la clínica respiratoria, se decidió suspender el tratamiento con hidroxicloroquina.
Eritema multiforme es una reacción inmunomediada que afecta la piel y, en ocasiones, las mucosas. Las infecciones, especialmente por VHS o Mycoplasma pneumoniae, y algunos fármacos constituyen los principales agentes etiológicos. Cuando la sospecha es medicamentosa resulta fundamental la retirada de dicho fármaco, manteniéndose únicamente cuando su uso sea vital para el paciente y en ausencia de alternativas terapéuticas.
Las reacciones cutáneas graves a la hidroxicloroquina son poco frecuentes, sin embargo, debido a su uso extendido como tratamiento del COVID-19, es importante su reconocimiento precoz para evitar futuras complicaciones.
FinanciaciónPara la elaboración del presente artículo no se ha se ha recibido ningún tipo de ayuda ni financiación económica por parte de entidades públicas o privadas.






