La pancreatitis crónica tropical es una entidad clinicorradiológica bien definida y endémica de países pobres del área tropical, generalmente con importantes problemas nutricionales en la población (p. ej., India o África subsahariana). La enfermedad se caracteriza por la aparición de dolor recurrente en la juventud con diabetes temprana y calcificaciones pancreáticas características en personas sin antecedentes de consumo de alcohol1-4. Los cambios migratorios están haciendo que enfermedades endémicas de países subdesarrollados aparezcan en nuestro medio. Cada vez más, tendremos que tener en cuenta algunas entidades clínicas procedentes de países más o menos exóticos que deberán incluirse en el futuro inmediato en el diagnóstico diferencial habitual.
Hemos observado un caso de pancreatitis crónica tropical que nos parece interesante comunicar, ya que en una revisión realizada en el Índice Médico Español con las palabras clave «pancreatitis tropical» no hemos encontrado ninguna referencia. Asimismo, hemos revisado Medline sin encontrar ningún caso de pancreatitis tropical referido a España.
OBSERVACION CLINICA
Mujer de 27 años, que ingresó en nuestro hospital por presentar epigastralgia y vómitos. Es una paciente natural de la República Dominicana, con residencia en nuestro país desde hace 9 años. A su llegada a España presentaba un estado nutricional deficitario, con boca séptica, precisando recambio completo de piezas dentarias (índice de masa corporal [IMC] en el momento de su llegada: 20,76, y en el de su ingreso: 24,9). Niega hábitos tóxicos y toma de fármacos. No presentaba antecedentes clínicos de interés, excepto dos episodios de dolor abdominal autolimitados, a los 14 y a los 16 años, que no fueron estudiados.
La paciente acudió a urgencias por presentar una epigastralgia, irradiada en cinturón hacia la espalda, de inicio súbito, acompañada de vómitos alimentarios, sin fiebre ni otra sintomatología. En la exploración física, se observaba un buen estado general y nutricional; en la auscultación cardiorrespiratoria no se apreciaban alteraciones; el abdomen era blando, depresible y doloroso a la palpación en el epigastrio; no se palparon masas ni visceromegalias, y el peristaltismo abdominal estaba conservado.
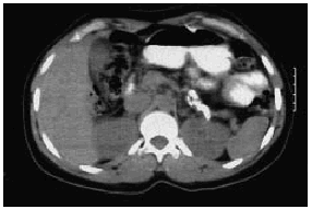
En las determinaciones analíticas practicadas destacaban: amilasas 350 U/l, y leucocitos, 14.000/ml, siendo el resto de la analítica habitual normal. Se realizó un test de sobrecarga oral de glucosa, que fue normal. Las cifras de magnesio sérico fueron 1,8 mg/dl (valores normales [vn], 1,8-2,9 mg/dl) y de selenio 76 ng/l (vn, 46-143). En la radiografía simple de abdomen se objetivaron calcificaciones en el hipocondrio izquierdo (figs. 1 y 2). En la ecografía abdominal se observaba una ectasia ductal pancreática y la presencia de calcificaciones grandes e irregulares localizadas en el cuerpo y en la cola del páncreas, siendo el resto de la exploración normal. Se realizó una tomografía axial computarizada (TAC) abdominal para completar el estudio, en la que se encontraron múltiples calcificaciones pancreáticas grandes localizadas de forma predominante en la cola pancreática, aunque alguna también en la cabeza, sin dilatación del conducto pancreático y con una disminución del volumen del parénquima pancreático respecto del que correspondería por su edad (fig. 3). También se realizó una gastroscopia sin alteraciones y un test de Van de Kamer, que fue normal.
Fig. 1.
Fig. 2.
Fig. 3.
La paciente presentó un curso clínico favorable, con resolución del dolor, tolerancia progresiva a la dieta oral y normalización de las amilasas, y fue dada de alta a los 7 días del ingreso.
En el seguimiento posterior durante 6 meses, la paciente ha persistido con síntomas ocasionales en forma de dolor epigástrico y sensación nauseosa.
DISCUSION
Presentamos el caso de una paciente joven con un cuadro clínico y radiológico compatible con pancreatitis crónica tropical.
La pancreatitis tropical es una forma de pancreatitis crónica calcificante endémica de países pobres de África y Asia1-4 (sobre todo la región de Kerala en el sur de la India). Afecta a sujetos jóvenes (edad media de inicio, 21 años), sin predominio de sexos. Se acompaña de diabetes y calcificaciones pancreáticas características. Para este diagnóstico no tiene que haber antecedente de consumo de alcohol y deben descartarse otras causas de pancreatitis crónica5,6.
Los criterios actuales que se consideran diagnósticos de la enfermedad son: a) dolor pancreático recurrente en la juventud; b) evidencia de diabetes mellitus; c) evidencia de malnutrición o malabsorción, y c) evidencia radiológica de cálculos pancreáticos característicos. El diagnóstico se considera seguro si se cumplen cualquiera de los tres primeros criterios más el cuarto6,7.
En la etiopatogenia de esta entidad se implicó de forma inicial la malnutrición grave1,2,4. El término malnutrición debe entenderse como un amplio espectro de trastornos nutricionales que, de forma conjunta, sirven para desencadenar o acelerar la afección pancreática. Si bien en las primeras descripciones se dio un papel fundamental a la malnutrición proteica, los últimos estudios ponen en entredicho su importancia5,6,8. Entre las causas que en la actualidad se relacionan con la pancreatitis crónica tropical estarían los déficit nutricionales de algunas vitaminas y oligoelementos (selenio, magnesio) y de toma de antioxidantes (ascarbato y betacarotenos)9,10. Durante mucho tiempo se ha descrito la toxicidad de la tapioca (Manihot esculenta) como causa etiológica de esta entidad. Este tubérculo es ampliamente consumido en las áreas tropicales como fuente barata de hidratos de carbono y suele contaminarse con cianida durante su almacenamiento. Sin embargo, en los últimos estudios esta hipótesis está siendo cuestionada11,12. A pesar de que los factores ambientales son los principalmente implicados en el desarrollo de la enfermedad, la agregación familiar que se observa en algunos casos hace pensar en la implicación de algún posible factor genético, aunque su papel no queda claro13-15.
El dolor de la pancreatitis crónica suele iniciarse en la juventud (edad media, 21 ± 14 años)5,6, ser grave y recurrente en fases iniciales y disminuir en frecuencia e intensidad a medida que la enfermedad progresa. La diabetes mellitus suele aparecer unos años después del inicio del dolor (edad media, 29 ± 11 años)5, y es frecuente un período de alivio del dolor antes del inicio de la diabetes. La diabetes aparece en un 90% de las pancreatitis tropicales, y esta incidencia es mucho mayor que la observada en la pancreatitis crónica alcohólica. Esta forma especial de diabetes se denomina diabetes pancreática fibrocalculosa. Suele tratarse de una diabetes insulinorresistente y, aunque la hiperglucemia es frecuente, es muy poco común la cetosis16,17.
De esta manera, se ha clasificado la pancreatitis crónica tropical en dos subtipos: a) pancreatitis calcificante tropical, en la que los pacientes no tienen diabetes en el momento del diagnóstico, y b) diabetes pancreática fibrocalculosa, en la que la diabetes es el signo clínico fundamental que llevará al diagnóstico de pancreatitis crónica18.
La esteatorrea no suele ser un hallazgo significativo (se debe tener en cuenta que la dieta de estos pacientes suele ser pobre en grasas). La función exocrina estará alterada de forma cuantitativa con disminución de los valores de quimiotripsina en las heces, así como desde el punto de vista cualitativo, con disminución del volumen de la secreción y un aumento de la concentración de proteínas y calcio en la misma19; estas modificaciones son similares a las observadas en sujetos occidentales con pancreatitis crónica alcohólica.
A diferencia de la pancreatitis alcohólica, en que las calcificaciones suelen ser pequeñas, espiculadas, irregulares y mal delimitadas, la radiología de la pancreatitis crónica tropical suele evidenciar cálculos grandes (aunque variables en tamaño), bien delimitados y densos tanto en el conducto pancreático principal como en los conductos secundarios. Se suele observar también dilatación del sistema canalicular. La radiografía es de gran ayuda en el diagnóstico y, de hecho, en los países de alta incidencia constituye, junto a la clínica, el principal recurso diagnóstico20.
En cuanto a la composición los cálculos, suelen estar formados por más de un 95% de carbonato cálcico y un 1% de un material fibrilar insoluble constituido por litostatina. La composición es idéntica a la de las calcificaciones de la pancreatitis alcohólica, lo que hace que algunos autores sugieran un mecanismo patogénico común para ambas enfermedades19.
El pronóstico actual de la enfermedad es de una supervivencia media de 35 años tras el primer episodio de dolor y 25 años tras la aparición de la diabetes. Las causas de muerte son: a) las complicaciones de la diabetes en el 52% de los casos (nefropatía diabética en el 40,7%); b) cáncer de páncreas en el 22,2%; c) complicaciones relativas a la pancreatitis crónica en el 11,1%, y d) la malnutrición y las infecciones en el 3%5. Posiblemente la mejoría del pronóstico sea consecuencia de un mejor control de la diabetes y de sus complicaciones. La pancreatitis crónica tropical presenta una alta incidencia de cáncer pancreático21,22. En el caso concreto de los sujetos que han emigrado debe tenerse en consideración el posible efecto que el cambio de dieta y el estado nutricional pueda tener en el curso de la enfermedad, mejorando la supervivencia.
En cuanto al tratamiento, la actitud más habitual es el tratamiento médico, tanto del dolor como de la insuficiencia pancreática exocrina y endocrina. En aquellos pacientes con afección avanzada también es útil el tratamiento quirúrgico7,23. En el mundo occidental, se tiene una cierta experiencia en el uso de la litotricia pancreática extracorpórea para tratar la litiasis que acompaña a determinadas pancreatitis crónicas24-27. No hemos encontrado ninguna referencia bibliográfica sobre el tratamiento de la pancreatitis crónica tropical con esta técnica, pero pensamos que ello es debido, sobre todo, a un problema de accesibilidad más que a una falta de indicación.
La causa más habitual de pancreatitis crónica en nuestro medio es la alcohólica, descartada en nuestro caso por la ausencia del antecedente de consumo de alcohol. La pancreatitis idiopática constituye la segunda causa más frecuente de pancreatitis crónica en nuestro medio. Tiene dos formas de presentación clínica, una de presentación tardía, con una edad media de 60 años, y una forma temprana, con una media de edad de 18 años. En ambos casos el desarrollo de calcificaciones es tardío en la evolución de la enfermedad, lo que hace poco probable esta etiología. Otras causas menos frecuentes son: la hereditaria, que precisa del antecedente de varios familiares afectados, circunstancia que no se daba en nuestro caso; el hiperparatiroidismo, descartado por datos analíticos de calcio y fósforo normales; la autoinmune, poco probable por la ausencia de otros datos que sugieran este origen (no antecedentes de otras enfermedades autoinmunes y proteinograma normal), y las malformaciones congénitas, del tipo páncreas divisum, que raramente producen calcificaciones pancreáticas.
La pancreatitis crónica tropical, como ya se ha indicado, se ha descrito clásicamente en Asia (sobretodo en la India) y en África subsahariana. En Sudamérica la mayoría de pancreatitis crónicas son de tipo calcificante (entre un 78 y un 98%). Desde el punto de vista etiológico, la pancreatitis alcohólica es mayoritaria (de un 89 a un 55% de casos). Se suele diagnosticar entre los 35 y los 40 años. Hay un predominio de varones en relación con el alcoholismo. En los estudios publicados en Sudamérica se describe una subpoblación de pancreatitis crónica calcificante idiopática. Esta subpoblación representa entre el 10 y el 40% de casos de pancreatitis crónica y está formada por pacientes jóvenes (edad media de inicio, 23 años), sin predominio de sexos y sin relación con el consumo de alcohol ni con la malnutrición28,29. Los estudios publicados en Sudamérica no describen las calcificaciones pancreáticas ni hablan propiamente de pancreatitis crónica tropical. Esto puede ser debido a que, cuando se realizaron, este término sólo se aplicaba a las pancreatitis crónicas calcificantes si existía un antecedente de malnutrición grave. Este concepto se ha revisado (como hemos visto al hablar de la etiopatogenia) y nos hace pensar que muchos de los casos de pancreatitis crónica calcificante idiopática en Sudamérica corresponderían en realidad a casos de pancreatitis crónica tropical.
Estamos, en definitiva, ante una paciente de 27 años, que ha desarrollado cuadros de dolor abdominal recurrentes (a los 14, 16 y ahora a los 27 años), este último estudiado y catalogado como pancreatitis, en la que se han descartado todas las causas habituales en nuestro medio de pancreatitis crónica; procedente de un país con graves problemas nutricionales en la población, con antecedentes de un mal estado nutricional a su llegada a España; objetivándose, además, calcificaciones pancreáticas típicas de la pancreatitis crónica tropical. En nuestro caso se cumplen con certeza tres de los cuatro criterios diagnósticos previamente descritos. Por lo que es posible hacer el diagnóstico de pancreatitis crónica tropical con seguridad.
La importancia que tiene la descripción de esta paciente radica en el hecho de que no hemos hallado ningún otro caso descrito de esta enfermedad referido a España en las búsquedas bibliográficas realizadas. Constituye un buen ejemplo de una entidad poco habitual en nuestro medio y que, posiblemente, la inmigración actual nos permitirá observar de manera más frecuente. Los procesos migratorios nos obligarán a modificar los algoritmos de diagnóstico diferencial e incluir entidades hasta ahora no consideradas.







