NTRODUCCIÓN
El diagnóstico de pancreatitis aguda recidivante se establece en pacientes que presentan más de un episodio clínico de pancreatitis aguda. Tras realizar una correcta historia clínica, una exploración física, analíticas convencionales y estudios de imagen, que incluyan ultrasonografía y tomografía computarizada (TC) abdominal, se esclarece la etiología del proceso en el 70-90% de las ocasiones 1 . En el resto de los casos, el desconocimiento del factor precipitante favorece la aparición de recidivas. Las entidades que con mayor frecuencia causan pancreatitis agudas recidivantes son: la microlitiasis de la vía biliar, la disfunción del esfínter de Oddi, el páncreas divi sum y los episodios de reagudización en pancreatitis crónicas. Otras causas menos frecuentes son los tumores pancreáticos, la pancreatitis hereditaria, el páncreas anular, el coledococele, las anomalías en la unión pancreatobiliar y la fibrosis quística (FQ) 1-3 . Recientemente, hemos tenido la oportunidad de hacer el diagnóstico de pancreatitis aguda recidivante secundaria a FQ en un paciente joven previamente sano.
OBSERVACIÓN CLÍNICAVarón de 17 años que acudió a urgencias de nuestro hospital en junio de 2003 por presentar dolor abdominal epigástrico de varias horas de duración, irradiado al hipogastrio y acompañado de sensación nauseosa y vómitos. El día anterior había tenido molestias abdominales que remitieron con la ingesta. No refería alteración del ritmo intestinal ni presencia de productos patológicos en las heces. No consumía alcohol ni otras drogas y únicamente unos días antes del comienzo de la clínica había seguido un tratamiento con antihistamínicos (loratadina) por un cuadro catarral.En agosto de 2002, el paciente estuvo ingresado en otro centro hospita lario por un episodio de pancreatitis aguda alitiásica de origen no filiado. Durante ese ingreso se efectuaron, entre otras pruebas, una ecografía y una TC abdominal, sin que se objetivasen hallazgos significativos. La exploración física realizada en urgencias revelaba únicamente la existencia de dolor a la palpación en el epigastrio, la zona periumbilical y el flanco derecho sin irritación peritoneal, con práctica ausencia de los ruidos hidroaéreos intestinales. Analíticamente presentaba en el hemograma una ligera leucocitosis (15,1 × 10 3 /µl) con neutrofilia (83%), y en la bioquímica unas cifras de amilasa de 3.971 U/l (25-125 U/l) con un perfil hepático sin alteraciones. La ecografía de urgencias mostraba un páncreas aumentado de tamaño, con edema peripancreático, sin observarse colecciones ni colelitiasis. El paciente ingresó en el Servicio de Gastroenterología para estudio con el diagnóstico de pancreatitis aguda recidivante de origen no filiado. Una vez en planta, se completó el estudio analítico; la proteína C reactiva a las 48 h fue de 93 mg/l (≤ 8 mg/l), y no se hallaron otros datos significativos en el análisis de los iones, la parathormona, el lipidograma, el proteinograma, las inmunoglobulinas y los autoanticuerpos. En una TC abdominal se confirmó el aumento de tamaño de la glándula pancreática y se descartaron posibles complicaciones asociadas (fig. 1). Se realizó una ecoendoscopia, que también mostró imágenes compatibles con pancreatitis aguda, sin datos de páncreas divisum . El paciente se trató con medidas convencionales, y presentó una buena evolución, por lo que fue dado de alta a las 2 semanas del ingreso. Dado que, a pesar de todas las exploraciones complementarias realizadas, todavía no se había aclarado el posible origen de la pancreatitis y se trataba del segundo episodio en un paciente joven, se obtuvieron muestras de sangre para determinar la existencia de mutaciones en el gen CFTR (mediante Genotyper ® Cystic Fibrosis Diagnosis System, PE Applied Biosystem, CA, EE.UU.). Se identificaron las mutaciones P5L y P205S, ambas asociadas a formas moderadas de FQ (genotipo P5L/P205S) y descritas con anterioridad en la población española (www.genet.sick-kids.on.ca/cftr/) 4 . También de forma ambulatoria se realizó una colangiorresonancia magnética con secretina por vía intravenosa, que demostró un conducto de Wirsung normal. Habiendo descartado otras causas de pancreatitis aguda, y teniendo en cuenta las 2 mutaciones del gen CFTR detectadas en nuestro paciente, se hizo el diagnóstico de FQ con inicio en forma de pancreatitis aguda recidivante. En los 11 meses posteriores al diagnóstico el paciente ha estado asintomático, únicamente con dieta pobre en grasas y abstinencia alcohólica. Se ha completado el estudio de FQ por parte del Servicio de Neumología de nuestro centro. El test del sudor ha sido negativo (44 mEq/l de cloruro), la espirometría evidenció una función pulmonar normal y la TC torácica de alta resolución descartó la presencia de bronquiectasias. También se le realizó un seminograma que fue normal. En una segunda anamnesis dirigida tras conocer el diagnóstico de FQ el paciente refirió clínica de congestión nasal y rinorrea mucopurulenta de años de evolución. Por este motivo se solicitó una valoración otorrinolaringológica, donde se detectaron pólipos nasales. También se le realizó una TC de cara y cuello en la que se halló una ocupación del seno maxilar izquierdo, del meato medio ipsilateral y una ocupación parcial del seno maxilar derecho compatible con un quiste de retención.
DISCUSIÓN
La FQ es la enfermedad hereditaria autosómica recesiva grave más frecuente en la población blanca. En nuestro país, uno de cada 5.352 recién nacidos a término padece la enfermedad 5 . El gen de la FQ está localizado en el brazo largo del cromosoma 7 (7q31) y codifica una proteína reguladora de la conductancia transmembrana de la FQ (CFTR) 6 . Esta proteína actúa como un canal de cloro activado por el adenosinmonofosfato cíclico (AMPc) en la membrana de las células epiteliales, permitiendo un correcto intercambio de cloro, sodio y agua a ese nivel. Hasta el momento se han identificado más de 1.000 mutaciones en relación con esta enfermedad 4 y se calcula que aproximadamente una de cada 25 personas en nuestro medio es portadora de una de ellas. Las mutaciones del gen CFTR se clasifican en 6 clases, sobre la base de las alteraciones moleculares a las que dan lugar. Así pueden verse afectados la síntesis de proteína CFTR, total (clase I-G542X, W1282X) o parcialmente (clase V-5T); la maduración y el transporte intracelular (clase II-¿F508); la activación (clase III-G551D), o la conducción (clase IV-R117H) 7 . Las mutaciones de clase VI (¿F508, G551D) modifican la capacidad de regulación de la proteína CFTR sobre otros canales transportadores de membrana8-10 .
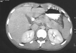
Fig. 1. Tomografía computarizada con contraste intravenoso realizada 3 días después del ingreso del paciente, donde se aprecia un aumento de tamaño de la glándula pancreática, así como una discreta pérdida de definición de sus límites, sin evidencia de colecciones peripancreáticas ni de necrosis glandular.
El diagnóstico de FQ se establece ante la presencia de un criterio clínico (enfermedad compatible, historia familiar de FQ o cribado neonatal positivo) y la demostración de la disfunción de la proteína CFTR (test del sudor con concentración de ion cloruro igual o superior a 60 mEq/l en 2 ocasiones, detección de 2 mutaciones del gen de la FQ o demostración de alteraciones en el transporte iónico a través del epitelio nasal) 11-13 . Nuestro paciente presentaba 2 criterios clínicos compatibles (poliposis nasal y pancreatitis aguda) y 2 mutaciones leves del gen de la FQ. En la bibliografía hemos encontrado únicamente un trabajo que recoja la coexistencia de pancreatitis aguda secundaria a FQ y poliposis nasal 14 . Aunque el 85% de los casos de FQ se diagnostican en los primeros 5 años de vida, habitualmente en el contexto de un cuadro clínico clásico de FQ con insuficiencia pancreática y manifestaciones pulmonares 9 , existen pacientes asintomáticos o prácticamente asintomáticos que no se diagnostican hasta la edad adulta 13,15 . Con respecto a este último grupo, varios estudios apuntan una menor incidencia de enfermedad pulmonar grave (necesidad de trasplante), malnutrición, enfermedad hepática e insuficiencia pancreática. Por el contrario, es más frecuente el inicio en forma de aspergilosis broncopulmonar alérgica y de pancreatitis aguda 16,17 . El porcentaje de pacientes diagnosticados de FQ durante la infancia sin insuficiencia pancreática se sitúa en torno al 12-18%, mientras que si el diagnóstico se realiza en la edad adulta éste se incrementa hasta el 86% 16 . Parece que la integridad de la función pancreática se relaciona estrechamente con el genotipo del paciente, de tal forma que en pacientes portadores de 2 mutaciones leves (clases IV, V) y en portadores dobles heterocigotos de una mutación leve en combinación con otra grave (clases I, II, III, VI), la función exocrina del páncreas habitualmente está pre-servada 9,18,19 . La pancreatitis aguda recidivante como manifestación inicial de la FQ es poco frecuente. La edad media de presentación de esta enfermedad se sitúa en los 18 años, siendo excepcional su aparición en niños 8 . La patogenia de estos episodios no está totalmente aclarada. Parece necesaria la existencia de tejido acinar funcionante, aunque existe algún caso aislado en pacientes con insuficiencia pancreática marcada y bajas concentraciones enzimáticas en el jugo pancreático 20 . Se piensa que, como consecuencia de la disfunción de los canales de cloro mediados por el AMPc (proteína CFTR), se altera la composición del jugo pancreático, y disminuyen las concentraciones de cloro y bicarbonato y el volumen de agua. En estas condiciones, con un jugo pancreático ácido e hiperconcentrado, se favorece la precipitación del contenido proteico y la obstrucción intraductal pancreática. Estos pacientes, por tanto, podrían ser especialmente susceptibles a determinados factores ambientales como las comidas grasas, el alcohol y las infecciones virales 9,21 . En la evolución de la enfermedad, al igual que ocurre con la pancreatitis hereditaria y la pancreatitis obstructiva, algunos autores sugieren que en el paciente con pancreatitis aguda secundaria a la FQ, tras varios episodios, puede progresar a pancreatitis crónica, con dilatación del conducto de Wirsung 19,22 . Aunque el manejo de la pancreatitis aguda secundaria a la FQ (dieta absoluta, sueroterapia y analgesia) no difiere del aplicado en otras pancreatitis, la importancia del diagnóstico etiológico radica en la posibilidad de realizar consejo genético. Por este motivo, ante todo paciente joven con pancreatitis aguda recidivante de causa no filiada se debe descartar la FQ, mediante el test del sudor o la determinación de las mutaciones del gen CFTR 1,23 . Si en el futuro se descubrieran fármacos que incrementasen la concentración de bicarbonato en el jugo pancreático, éstos podrían ser hipotéticamente útiles en la prevención de la pancreatitis. De momento, únicamente debemos recomendar al paciente con FQ la restricción de grasas y alcohol como medidas profilácticas.
Correspondencia: Dr. J.R. Foruny Olcina . Hospital Universitario Ramón y Cajal. Secretaría de hospitalización de Gastroenterología (planta 1. a , izquierda). Carretera de Colmenar, s/n, km 9,100. 28034. Madrid. España.
Recibido el 1-6-2004; aceptado para su publicación el 31-8-2004.





