Sr. Director: La colocación de endoprótesis biliares por vía endoscópica es una técnica cada vez más utilizada en la práctica clínica habitual. Su indicación principal es la estenosis benigna o maligna de la vía biliar. En la estenosis maligna ha demostrado tener un beneficio mayor que el drenaje quirúrgico y la colocación de prótesis por vía percutánea, además de una morbilidad menor1. Las estenosis de la vía biliar se dividen en distales y proximales. Estas últimas presentan una dificultad mayor en su manejo, y es necesaria a veces la colocación de 2 o más prótesis por estar afectado el hilio hepático, junto con un abordaje conjunto por parte de radiólogos y endoscopistas. A pesar de todo, la colocación de endoprótesis por vía endoscópica es útil en las estenosis proximales de la vía biliar hasta en el 70-97% de los casos2. Existen fundamentalmente 2 tipos de prótesis: metálicas y plásticas. No hay diferencias en cuanto a la tasa de supervivencia3, pero sí respecto a sus indicaciones, ya que las metálicas se reservan para situaciones en las que se prevé un tratamiento paliativo durante largo tiempo, puesto que no son renovables.
Las principales complicaciones derivadas de esta técnica son de tres tipos: a) sépticas, como consecuencia de un drenaje inadecuado de la vía biliar; b) oclusión de las prótesis, que en el caso de las plásticas se podría evitar mediante recambios cada cierto tiempo (la mayoría de los autores recomiendan 3-6 meses), y c) migración de las prótesis. Se presenta un caso de migración proximal de prótesis del colédoco distal al conducto hepático izquierdo.
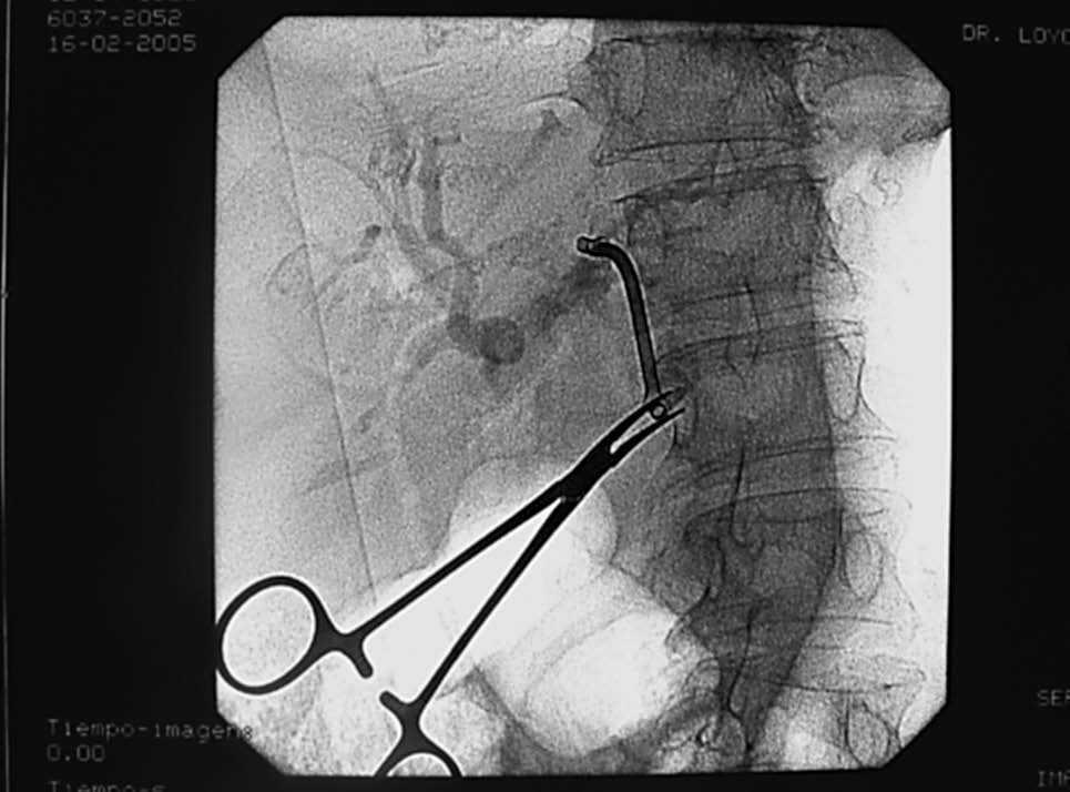
Mujer de 76 años de edad, con antecedentes personales de colecistectomía 30 años antes y de esfinterotomía endoscópica hace 10, por coledocolitiasis. Ingresa en nuestro servicio por presentar colestasis. Los datos analíticos más relevantes son: bilirrubina total 3 mg/dl (0-1,1), GGTP 892 U/l (8-61), fosfatasa alcalina 530 U/l (40-129), GOT 94 U/l (6-38) y GPT 62 U/l (6-41). Se realizan ecografía abdominal y colangio-RM que ponen de manifiesto la presencia de dilatación de las vías biliares y estenosis de la coledocoduodenostomía previa. Ante estos hallazgos, se coloca una prótesis biliar y se realiza drenaje interno-externo. Esta técnica se lleva a cabo en colaboración con el radiólogo intervencionista. En primer lugar, por vía transparietal-hepática se introduce una guía metálica hasta la ampolla de Vater. El endoscopista por vía duodenal sitúa una prótesis de plástico de 10 F y 7 cm, comprobando al terminar el buen anclaje de la misma (fig. 1). Tres días después del procedimiento la paciente refiere dolor abdominal y naúseas, por lo que se solicita nueva ecografía abdominal que demuestra que la prótesis está en el conducto hepático izquierdo. El intento de extracción mediante CPRE resulta infructuoso, por lo que finalmente la prótesis se recupera por vía transparietal-hepática (fig. 2).
Fig. 1. Colocación de endoprótesis biliar por aproximación conjunta transparietal-hepática y duodenal.
Se han descrito diversos factores de riesgo que influyen en la migración de las prótesis biliares4. La migración en dirección proximal se ve fa vorecida por la existencia de estenosis malignas o iatrogénicas y por la utilización de prótesis de diámetro amplio o prótesis cortas. No se ha encontrado relación estadística entre la esfinterotomía previa y la posibilidad de migración5. Se han publicado casos de complicaciones derivadas de la migración de prótesis; los más habituales son fístulas y perforaciones, que han dado lugar a casos peculiares, como neumatosis gástrica6, bilioma retroperitoneal7 o fascitis necrosante8. Para evitar esas complicaciones, la mayoría de los autores recomienda la extracción de la prótesis migrada en el momento de su hallazgo, ya sea mediante técnica endoscópica, percutánea o mixta. La necesidad del abordaje quirúrgico es cada vez menor y está reservada a las situaciones en que fracasan las técnicas anteriores.
Fig. 2. Extracción de prótesis migrada a conducto hepático izquierdo.
En conclusión, la colocación de prótesis por vía endoscópica se ha convertido en una alternativa terapéutica en pacientes con estenosis de la vía biliar, ya que reduce la colestasis, mejora la calidad de vida y conlleva un riesgo no elevado de complicaciones.










