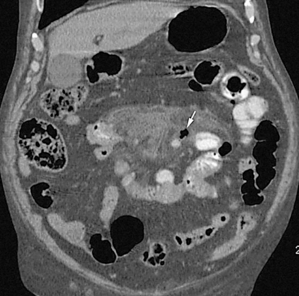
Sr. Director: Presentamos el caso clínico de un paciente varón de 86 años, con antecedentes de cardiopatía isquémica, hipertensión arterial bajo tratamiento médico, enfermedad pulmonar obstructiva crónica con disnea basal a medianos esfuerzos, anemia crónica ferropénica, diverticulosis de sigma diagnosticada mediante enema opaco realizado para estudio de la anemia, hiperlipemia, insuficiencia renal crónica leve y síndrome prostático secundario a hiperplasia benigna de próstata. Consulta por cuadro de dolor abdominal generalizado de rápida aparición, acompañado de náuseas y sensación distérmica no termometrada. En la exploración física llama la atención la presencia de un abdomen distendido con signos de irritación peritoneal. En la analítica de urgencias destaca la presencia de anemia (hemoglobina, 8,3 g/dl; hematocrito, 25%), insuficiencia renal (creatinina, 3,5 mg/dl), hiperpotasemia (potasio, 6,7 mEq/l) y leucocitosis (14.200/µl). En la radiografía de abdomen sólo destacaba una discreta dilatación de algunas asas de intestino delgado. Dado el contexto clínico del paciente (edad avanzada y enfermedad cardiopulmonar asociada) se solicita una tomografía computarizada (TC) abdominal urgente para completar el diagnóstico, ante la posible necesidad de intervención quirúrgica. Se realizó una TC multicorte (TCMC) de abdomen con contraste oral, pero sin contraste endovenoso (debido a la insuficiencia renal del paciente), en la que se observó una dilatación y engrosamiento de la pared de asas intestinales yeyunales que presentaban múltiples divertículos, asociado a una afección inflamatoria de la grasa mesentérica adyacente y discreta cantidad de aire libre extraluminal en íntima relación con uno de los divertículos yeyunales (fig. 1). Asimismo, se visualizaron pequeños divertículos en sigma no complicados.
Fig. 1. Reconstrucción multiplanar (MPR) coronal que pone de manifiesto los cambios inflamatorios de la grasa mesentérica adyacente al asa yeyunal afectada y el aire libre en íntimo contacto con uno de los divertículos (flecha).
Ante el diagnóstico de sospecha de peritonitis difusa secundaria a una perforación yeyunal en una zona de diverticulitis, se procedió a la realización de una laparotomía media, que confirmó una peritonitis purulenta difusa y una diverticulitis yeyunal complicada con una perforación. Se practicó una resección intestinal segmentaria, anastomosis terminoterminal y lavados de la cavidad abdominal. La anatomía patológica constató un divertículo yeyunal con diverticulitis aguda y perforación (fig. 2).
Fig. 2. Sección macroscópica del asa yeyunal resecada. Se observa un divertículo en la pared yeyunal con invaginación de la mucosa a través de las capas musculares y reacción de tipo fibroinflamatorio alrededor.
El paciente fue trasladado posteriormente a la unidad de cuidados intensivos por hipotensión, insuficiencia respiratoria, fracaso renal y acidosis metabólica. El curso evolutivo fue satisfactorio y permitió el traslado a la sala de hospitalización convencional a los 4 días y el alta a los 16 días. En los controles posteriores ha permanecido asintomático.
La enfermedad diverticular es muy prevalente en el mundo occidental, y puede aparecer en hasta un 80% de las personas mayores de 85 años1. Su localización habitual es el intestino grueso. También se han descrito divertículos en el intestino delgado, de los que los más frecuentes son los duodenales, seguidos de los divertículos de Meckel. El hallazgo de divertículos yeyunales es infrecuente, con una prevalencia que puede variar según series en el 0,06-2,3%2. Son falsos divertículos, es decir, carecen de la capa muscular, que aparecen mediante un mecanismo de pulsión en el borde mesentérico de la pared intestinal3. Suelen se múltiples y con frecuencia se asocian a divertículos en otras localizaciones2. Al igual que los divertículos colónicos, su prevalencia aumenta con la edad4. En la mayoría de los casos son asintomáticos, y son hallazgos incidentales de un tránsito intestinal o en el transcurso de una intervención quirúrgica, pero se estima que un 10% de los casos presentan complicaciones agudas, principalmente diverticulitis con o sin perforación, hemorragia y oclusión intestinal5,6. El diagnóstico preoperatorio de diverticulitis yeyunal en los casos de abdomen agudo es difícil, dada la inespecificidad de los síntomas clínicos y la baja prevalencia de este proceso. La TC abdominal es la prueba radiológica que mayor rendimiento ha presentado para diagnosticar esta afección. Los hallazgos radiológicos más habituales son engrosamiento de la pared del segmento afectado, hiperdensidad de la grasa mesentérica, edema de los tejidos adyacentes y presencia de niveles hidroaéreos extraluminales5,7-11.
El interés de este caso clínico es que se pudo realizar del diagnóstico preoperatorio de certeza mediante TC abdominal dada la clara visualización del divertículo perforado en las imágenes tomográficas, a pesar de la ausencia de contrate endovenoso, y como ejemplo de otra causa infrecuente de abdomen agudo a tener en cuenta en pacientes de avanzada edad.






