INTRODUCCION
El páncreas aberrante o heterotópico se caracteriza por la presencia de tejido pancreático en una localización inusual, habitualmente en la pared del tubo digestivo, sin continuidad anatómica o vascular con la glándula pancreática normal. Se estima su presencia en 1 de cada 500 exploraciones endoscópicas altas y del 2-14% de los individuos en las series autópsicas1,2. Su localización más frecuente es en el estómago, el duodeno y el yeyuno1.
Habitualmente, cursa de modo asintomático y es descubierto de forma casual en exploraciones endoscópicas o intervenciones quirúrgicas. Sin embargo, en ocasiones se han referido síntomas inespecíficos en relación con ulceración de la mucosa en el estómago o el duodeno. Más raras son otras complicaciones, como la hemorragia digestiva3, la pancreatitis aguda y crónica4, la obstrucción biliar e intestinal5,6, la degeneración maligna7 o la distrofia quística, que es una rara entidad que afecta casi exclusivamente a la pared duodenal, caracterizada por la presencia de lesiones quísticas intraparietales asociadas a fibrosis y un notable componente inflamatorio8. En todos los casos plantea grandes dificultades diagnósticas y terapéuticas al simular con frecuencia tumores en la cabeza pancreática8.
Presentamos el caso de un paciente con distrofia quística de la pared duodenal en el que la ecoendoscopia resultó de gran utilidad para establecer el diagnóstico definitivo y como guía terapéutica.
OBSERVACION CLINICA
Paciente de 34 años de edad bebedor de 40 g de etanol al día y sin otros antecedentes patológicos de interés. Refiere clínica de meses de evolución consistente en episodios de dolor abdominal de características cólicas y vómitos. Ingresa por clínica de 4 días de evolución, consistente en vómitos de repetición e intolerancia alimentaria.
Inicialmente se decidió realizar una endoscopia digestiva alta que puso de manifiesto la existencia de una estenosis en la rodilla duodenal superior con pliegues engrosados, edematosos y congestivos que impedía la progresión del endoscopio. Las biopsias endoscópicas mostraron cambios inflamatorios inespecíficos. En estudios posteriores con ecografía abdominal y tomografía computarizada (TC) se pudo observar un engrosamiento de la pared duodenal y la existencia de lesiones quísticas en la propia pared engrosada (figs. 1 y 2). Para estudiar con detalle la estructura de la pared duodenal, y por la existencia de una estenosis que no permitía la progresión del endoscopio, se decidió realizar una exploración con minisondas ecográficas de 20 MHz, que puso de manifiesto cómo las lesiones quísticas dependían de la tercera capa (submucosa) del segmento duodenal engrosado (fig. 3).
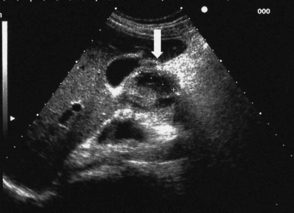
Fig. 1. Ecografía abdominal. Engrosamiento de la pared duodenal con lesiones quísticas alargadas y bilobuladas rodeando la luz de manera semicircunferencial (flecha).
Fig. 2. Tomografía computarizada abdominal. En una reconstrucción sagital se observa el engrosamiento de la pared duodenal con lesiones de aspecto quístico en el interior del segmento engrosado (flecha).
Fig. 3. Exploración de la pared duodenal con minisonda ecográfica de 20 MHz. Lesiones anecoicas de características quísticas dependientes de la tercera capa de la pared duodenal (submucosa).
Una vez efectuado el diagnóstico de distrofia quística de la pared duodenal, decidimos con ecoendoscopio sectorial, previa profilaxis antibiótica, el estudio ecográfico del páncreas y la punción-evacuación del contenido de las lesiones quísticas (fig. 4). Observamos ecográficamente un parénquima pancreático homogéneo sin signos inflamatorios y, al analizar el líquido intraquístico, comprobamos una alta concentración de amilasa (130.000 U/ml). Tras el procedimiento se pudo progresar el endoscopio sin dificultades hasta la segunda porción duodenal y el paciente evolucionó favorablemente con la desaparición de los síntomas y una buena tolerancia a la dieta. En el control ecográfico realizado a las 3 semanas se comprobó la práctica desaparición de las lesiones quísticas, permaneciendo el paciente asintomático trascurridos 7 meses del procedimiento endoscópico.
Fig. 4. Punción guiada por ecoendoscopia de las lesiones quísticas intraparietales.
DISCUSION
La distrofia quística del páncreas aberrante fue descrita inicialmente en 1970 por Potet y Duclert9. El desarrollo de nuevas técnicas no invasivas que permiten obtener imágenes de gran resolución de la pared duodenal ha contribuido a que esta entidad sea reconocida cada vez con más frecuencia, ya que se ha descrito en los últimos años un mayor número de casos, sobre todo en la bibliografía europea10.
Se trata de una entidad infrecuente, aunque probablemente infradiagnosticada, descrita con mayor frecuencia en pacientes varones (a pesar del predominio del sexo femenino en el diagnóstico de páncreas ectópico referido en las series autópsicas), jóvenes y con antecedente de consumo de alcohol11. Puede presentarse como una entidad aislada, si bien en el 80% de las ocasiones se asocia con la pancreatitis crónica. Algún autor incluso ha planteado que estas lesiones quísticas duodenales podrían provocar estenosis del conducto pancreático y desempeñar un papel en el desarrollo de la pancreatitis crónica, especialmente en pacientes jóvenes y sin historia previa de etilismo8.
Desde el punto de vista macroscópico, se caracteriza por el engrosamiento irregular de la pared duodenal de predominio en el lado pancreático y por la presencia de quistes de tamaño variable, hasta 3 cm, en el interior de la pared engrosada12. Más rara será la localización gástrica de las lesiones quísticas13.
Histológicamente, las lesiones quísticas, localizadas en la submucosa o muscular propia, quedan delimitadas por un epitelio lineal cuboidal similar al de los conductos pancreáticos. Mientras que en el tejido pancreático ectópico subyacente se observa fibrosis y cambios inflamatorios crónicos similares a los descritos en la pancreatitis crónica de la glándula normal12.
Las causas de la aparición de quistes y los cambios inflamatorios acontecidos en el páncreas ectópico son desconocidas. Sin embargo, se ha postulado que estas lesiones podrían ser el resultado de la repetición de procesos inflamatorios locales como consecuencia de la obstrucción de pequeños ductos excretores en el tejido ectópico8.
Puede ser asintomático, pero la mayoría de los pacientes refieren en el momento del diagnóstico síntomas durante largos períodos de incluso años, antes de la confirmación diagnóstica8. En la mayoría de las ocasiones los síntomas en el momento del diagnóstico son el dolor abdominal asociado a náuseas, los vómitos y la pérdida de peso, que se han relacionado con los cambio inflamatorios, la fibrosis local y la estenosis duodenal. Más raramente, se ha descrito ictericia en relación con compresión de la vía biliar8,11,12.
El desarrollo de las técnicas de imagen en los últimos años ha permitido un mejor conocimiento de esta entidad. La ecografía transabdominal y la TC abdominal permiten orientar el diagnóstico al mostrar el engrosamiento de la pared duodenal y las lesiones quísticas que se encuentran en la propia pared duodenal11,14,15. En ocasiones se asocia dilatación de la vía biliar extrahepática o signos ecográficos de pancreatitis crónica. Otros signos indirectos sugestivos pero no diagnósticos de esta entidad son el desplazamiento de la arteria gastroduodenal y la dilatación gástrica secundaria a la estenosis duodenal11.
La ecoendoscopia constituye la técnica más útil en el diagnóstico de esta entidad al permitir un cuidadoso análisis de la pared duodenal y, con ello, visualizar con claridad la dependencia de las lesiones quísticas de la tercera y/o cuarta capas de la pared engrosada y diferenciar esta entidad de otras lesiones quísticas periduodenales, especialmente de los tumores pancreáticos con componente quístico asociado, el seudoquiste pancreático en el contexto de una pancreatitis crónica o de lesiones congénitas, como el quiste de duplicación duodenal17. Además, esta técnica permite la punción guiada por ecoendoscopia, que aportará información diagnóstica al obtener un líquido con altas concentraciones de amilasa que no se encuentran en otras lesiones quísticas de la pared del tubo di-gestivo13. Como sucedió en este paciente, puede que sea preciso realizar la exploración ecoendoscópica con minisondas ecográficas, dada la existencia de estenosis duodenal que puede dificultar o impedir la progresión del endoscopio18.
El tratamiento es controvertido y el más adecuado no ha sido claramente establecido, siendo durante mucho tiempo exclusivamente quirúrgico. La duodenopancreatectomía cefálica representa el procedimiento clásicamente utilizado8 y, sin duda, debe valorarse cuando a pesar de las distintas técnicas diagnósticas persiste la incertidumbre sobre la naturaleza tumoral de la lesión. Otras técnicas quirúrgicas que se ha utilizado han sido la gastroenteroanastomosis19, la quistoyeyunostomía11 y, más recientemente, una cirugía más conservadora, como la resección segmentaria duodenal20.
Como alternativa al tratamiento quirúrgico se ha propuesto el tratamiento médico con octreotida, que, en dosis de 200 µg 2 veces al día durante 9 meses, parece ser útil para el control de los síntomas y la reducción del tamaño de los quistes21. Sin embargo, otros autores han referido resultados contradictorios, incluida la ausencia de respuesta22,23.
Recientemente la punción-drenaje endoscópico de las lesiones quísticas intraparietales mediante técnica guiada por ecoendoscopia se ha propuesto como otra alternativa al tratamiento quirúrgico. En la serie más amplia publicada hasta el momento24, en la que se incluyen 9 pacientes, se refiere la desaparición de los síntomas tras el procedimiento endoscópico en todos los casos y sin complicaciones. Sin embargo, se describe la recidiva de los síntomas en 4 pacientes en un período de seguimiento medio de 2 años. A pesar de que la eficacia a largo plazo de esta técnica no ha sido claramente establecida, se trata de un procedimiento sencillo con escasa morbilidad que puede evitar una cirugía de alto riesgo, por lo que parece lícito proponer, en primer lugar, el drenaje bajo control ecoendoscópico en casos seleccionados en que los quistes sean escasos, no dispersos y de tamaño relativamente grande25.
En conclusión, la distrofia quística de la pared duodenal probablemente se trate de una entidad más frecuente de lo referido en la bibliografía, cuyo diagnóstico precisa un alto índice de sospecha. La ecoendoscopia permite en estos casos hacer el diagnóstico diferencial con otras lesiones quísticas extradigestivas y en casos seleccionados guiar el tratamiento endoscópico.








