Sr. Editor: La piomiositis es una infección bacteriana aguda y supurada del músculo esquelético consecutiva a un foco infeccioso vecino o debida a una diseminación hemática. Si bien inicialmente esta enfermedad se describió en varones jóvenes que vivían en los trópicos, las últimas publicaciones corresponden a adultos infectados por el virus de la inmunodeficiencia humana tipo 1 (VIH-1) en los que se la denominó piomiositis no tropical. Se trata de una complicación poco frecuente causada, por lo general, por Staphylococcus aureus.
Se describen los casos de 2 pacientes VIH reactivos que desarrollaron episodios de piomiositis no tropical.
Caso 1. Varón de 31 años, con serología reactiva para VIH-1 y virus de la hepatitis C (VHC), adicto a drogas intravenosas (ADIV), que consultó por fiebre, dolor y aumento de tamaño del muslo derecho de una semana de evolución. En el examen físico se constató una tumoración de consistencia dura en el muslo derecho, con dolor espontáneo y a la palpación, y aumento de la temperatura local con eritema de la piel suprayacente. El laboratorio mostró: GB 4.000/mm3 (66% de polimorfonucleares), hematocrito, 31%; hemoglobina, 11,7 g%; plaquetas, 203.000/μl; velocidad de sedimentación globular (VSG), 63 mm 1.ª hora; urea, 28 mg%; creatinina, 0,9 mg%; glucemia, 77 mg%; Quick, 80%, y hepatograma con discreto aumento de transaminasas. El recuento de linfocitos T CD4+ fue de 107 cél./μl (12,2%). El ecocardiograma fue normal. La ecografía abdominal evidenció hepatomegalia heterogénea y esplenomegalia homogénea. La ecografía del muslo derecho, en el plano muscular, visualizó una imagen de paredes irregulares, mal delimitada, heterogénea, con contenido líquido, de 90 x 24 x 30 mm compatible con absceso (fig. 1). Se efectuó punción-aspiración bajo control ecográfico de la que se obtuvo material purulento en cuyo examen directo se observaron cocos grampositivos en cadenas. En el cultivo se aisló Staphylococcus aureus sensible a meticilina. Los hemocultivos resultaron negativos.
Figura 1. Ecografía: colección líquida compatible con absceso de muslo derecho.
Al ingreso se indicó tratamiento empírico con ciprofloxacino (400 mg IV) cada 12 h más gentamicina (80 mg IV) cada 12 h que cumplimentó durante 7 días. Al recibirse los resultados de los estudios bacteriológicos se continuó con 500 mg de ciprofloxacino PO cada 12 h durante 14 días más con respuesta clínica favorable.
Caso 2. Varón de 36 años, infectado por VIH y VHC y ADIV. Al ingreso presentó cefalea gravativa, vómitos, fiebre y desorientación temporoespacial con Glasgow 7/15. El laboratorio mostró: hematocrito, 32%; GB 4.800/μl (64% polimorfonucleares neutrófilos); plaquetas, 213.000/μl; VSG, 33 mm 1.ª hora, hepatograma normal; glucemia, 105 mg%; urea, 30 mg%; recuento de linfocitos T CD4+, 57 cél./μl, antigenemia para Cryptococcus 1/1.000. Se efectuó punción lumbar y se obtuvo líquido cefalorraquídeo claro con: proteínas, 0,30 g/l; glucosa, 0,60 g/l; 2 células (100% linfocitos). Las coloraciones de Ziehl-Neelsen y Gram no mostraron microorganismos. La tinta china fue positiva y en el cultivo se obtuvo el desarrollo de Cryptococcus neoformans.
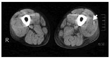
Se inició tratamiento con anfotericina B en dosis de 0,8 mg/kg/día. A los 20 días de tratamiento, con dosis acumulada de 650 mg comenzó con dolor espontáneo en el muslo izquierdo y fiebre. Se constató dolor a la palpación con temperatura local conservada y aumento de tamaño del muslo y región inguinal izquierda. La ecografía del muslo izquierdo puso de manifiesto múltiples imágenes hipoecoicas de bordes anfractuosos, compatibles con colecciones supuradas de diferente tamaño (la mayor de 30 mm de diámetro anteroposterior) a nivel del tejido muscular. La tomografía computarizada (TC) del muslo izquierdo mostró aumento de tamaño en comparación con el contralateral, con imagen hipodensa a nivel del vasto externo extendida al tejido celular subcutáneo vecino y edema perilesional compatible con absceso (fig. 2). Se efectuaron hemocultivos en los que se obtuvo el desarrollo de S. aureus resistente a meticilina. El ecocardiograma no mostró vegetaciones en las válvulas cardíacas. Se inició tratamiento con vancomicina IV a la dosis de 2 g al día. Evolucionó de manera desfavorable con episodios de bacteriemia e insuficiencia respiratoria con acidosis metabólica y deterioro del sensorio. No respondió a dopamina ni a medidas de expansión y falleció.
Figura 2. TC: imagen hipodensa a nivel del vasto externo compatible con absceso.
La primera descripción de piomiositis corresponde a Scriba en 18851. Es una infección aguda, primitiva del músculo causada en el 90% de los casos por S. aureus. Es más frecuente en los trópicos, por lo que fue denominada piomiositis tropical. Se observa tanto en pacientes inmunocompetentes como en inmunodeprimidos. A partir de la pandemia del VIH-1 se han publicado varios casos en enfermos de sida. Al-Tawfiq et al2 contabilizan 66 casos de piomiositis asociada a infección por VIH-1 publicados en la literatura inglesa hasta el año 2000. Estas comunicaciones sugieren que la evolución de esta enfermedad sería diferente en el contexto de la infección por el retrovirus. Ansaloni et al3 señalan la importancia de la infección por VIH-1 como condición subyacente para el desarrollo de piomiositis. Estos autores comprueban una seroprevalencia de infección por VIH-1 en el 31% en pacientes con piomiositis no tropical.
Desde el punto de vista patogénico la invasión muscular sería secundaria a la diseminación hemática a punto de partida de lesiones cutáneas, venopunturas o catéteres intravenosos. Todos estos factores predisponen a bacteriemias transitorias, especialmente por S. aureus4. La bacteriemia es un hallazgo infrecuente en la piomiositis tropical, pero se observa en el 22% de los pacientes seropositivos para VIH3 y es más frecuente en la piomiositis debida a S. aureus, como se pudo comprobar en uno de los pacientes presentados. Si bien la ADIV se observó sólo en el 25% de los casos de piomiositis asociada al VIH, este es el mayor factor de riesgo para el desarrollo de esta complicación5 y estuvo presente en los dos pacientes que son motivo de esta comunicación.
Desde el punto de vista clínico, la piomiositis presenta tres estadios: a) la etapa invasiva, con dolor localizado a nivel del músculo comprometido; b) la etapa supurativa con fiebre, edema y dolor, y c) la etapa final con signos clínicos de sepsis. El primero de los pacientes que se describe alcanzó la etapa supurativa y presentó remisión de la sintomatología con el tratamiento antibiótico. El segundo, en cambio, evolucionó con signos de sepsis y falla multiparenquimatosa sin respuesta al tratamiento.
El compromiso de los grandes grupos musculares de los miembros inferiores alcanza al 90% en los pacientes infectados por el VIH y es el cuádriceps el grupo muscular afectado con mayor frecuencia. En este grupo, el 80% de los casos involucran un único músculo, pero hasta en el 15% de los pacientes el compromiso puede ser bilateral3,6. Los 2 casos que se describen presentaron compromiso unilateral en el muslo. La leucocitosis es el hallazgo más frecuente en los exámenes de laboratorio de pacientes no infectados por el VIH, pero es rara su observación en los seropositivos en quienes la piomiositis se presenta, en general, en etapas avanzadas de la enfermedad y con recuento de linfocitos T CD4+ menor a 200 cél./μl como en los 2 pacientes aquí descritos. S. aureus es el microorganismo identificado en el 90% de los pacientes infectados por el VIH y en el 65% de los seronegativos para el retrovirus.
La terapéutica de esta complicación incluye la aspiración con aguja y, a veces, el drenaje quirúrgico de los abscesos asociado a los antibióticos por vía intravenosa. En la elección del tratamiento empírico inicial debe tenerse en cuenta la marcada prevalencia de S. aureus como agente etiológico. Algunos pacientes responden de manera favorable a la aspiración y a los antibióticos sin necesidad del drenaje quirúrgico como ocurrió en el primero de los casos que se presentan7. En los pacientes infectados por el VIH son frecuentes las recurrencias y los fracasos terapéuticos debido a la profunda inmunodeficiencia que los afecta y a los defectos de la función de los polimorfonucleares, como ocurrió en el segundo caso8.
En conclusión, la piomiositis debe incluirse en el diagnóstico diferencial de los pacientes con infección por el VIH-1 que refieran fiebre y dolor muscular localizado.





