Caso clínico
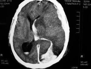
Presentamos un varón de 43 años, con infección por el virus de la inmunodeficiencia humana (VIH), sin seguimiento ni tratamiento antirretroviral, adicto a drogas por vía parenteral, que acudió a urgencias por 7 días de astenia, fiebre y disnea progresiva. Presentaba múltiples signos de venopunción y, aunque afebril, estaba afectado, sudoroso, taquicárdico y taquipneico, con crepitantes gruesos bibasales en la auscultación. La exploración neurológica inicial fue normal. En la analítica destacaba leucocitosis con neutrofilia, 37.000 plaquetas, actividad de protrombina del 55%, índice normalizado internacional (INR) de 1,6, y elevación de creatinfosfocinasa, transaminasas y bilirrubina. El electrocardiograma mostró taquicardia sinusal. La gasometría arterial inicial mostraba hipoxemia, con posterior evolución a insuficiencia respiratoria global y acidosis, iniciándose tratamiento con broncodilatadores y corticoides. En Urgencias el paciente sufrió deterioro brusco del nivel de conciencia con anisocoria, y fue preciso canalizar vía central y proceder a intubación orotraqueal. Se realizó tomografía computarizada (TC) craneal sin contraste (fig. 1), que mostraba hematoma subdural agudo frontoparietal izquierdo, hemorragia subaracnoidea en hemisferio cerebral izquierdo y tentorio, hematoma en lóbulo occipital izquierdo con edema periférico y herniación transtentorial y subfalcina. Tras extracción de hemocultivos se inició tratamiento parenteral con cefotaxima (2 g) y clindamicina (600 mg) para cubrir posible aspiración.
Figura 1. TC craneal inicial (sin contraste): hematoma subdural agudo frontoparietal izquierdo; hemorragia subaracnoidea en hemisferio cerebral izquierdo y en tentorio; hematoma en lóbulo occipital izquierdo, con edema periférico; y herniación transtentorial y subfalcina.
Evolución
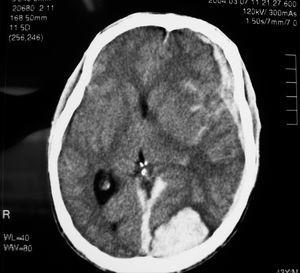
El paciente ingresó en la unidad de vigilancia intensiva de neurocirugía, donde fue valorado por el servicio de infecciosas. Por sus antecedentes, la presencia de petequias y múltiples estigmas de venopunción, y el cuadro neurológico agudo se solicitó ecocardiograma transtorácico urgente, con imagen indicativa de vegetación sobre válvula aórtica, que fue preciso confirmar con ecocardiograma transesofágico (fig. 2). Con el diagnóstico de endocarditis infecciosa se inició tratamiento parenteral con cloxacilina (2 g/4 h) y gentamicina (80 mg/8 h), sustituido a las 72 h por penicilina G sódica (4 MU/4 h) y gentamicina (80 mg/8 h) por aislamiento de Staphylococcus aureus sensible a penicilina en los hemocultivos del ingreso. En neurocirugía se decidió una actitud conservadora, por el alto riesgo quirúrgico, y no se llegó a realizar arteriografía. Una ecografía abdominal mostró esplenomegalia con imagen hipoecogénica en polo inferior sugestiva de infarto/hematoma. Tras deterioro clínico y radiológico (objetivado en una segunda TC realizada a las 72 h [fig. 3]), se produjo el fallecimiento del paciente en el cuarto día de ingreso, con el diagnóstico final de endocarditis infecciosa aórtica por S. aureus, complicada con embolismo esplénico y rotura de aneurisma micótico en el SNC como causa primera de la muerte, favorecida por coagulopatía y trombopenia multifactorial (VIH, VHC, sepsis).
Figura 2. Imagen del ecocardiograma transesofágico que muestra imagen de vegetación de 5 x 6 mm sobre cara ventricular de valva sigmoidea aórtica.
Figura 3. Segunda TC craneal que muestra gran aumento del hematoma intraparenquimatoso occipital, hidrocefalia y sangre ventricular.
Comentario
Se trata de la rotura de un aneurisma micótico como primera manifestación de endocarditis infecciosa, con aparición simultánea de hematoma subdural (HSD), hemorragia subaracnoidea (HSA) y hematoma intraparenquimatoso, forma rara de presentación de la rotura de un aneurisma del SNC (0,5-8%)1-5. Su patogenia podría estar en relación a hemorragias pequeñas y sucesivas del aneurisma con formación de adherencias que al romperse producen sangrado en el espacio subdural, rotura de la aracnoides por hematoma aneurismático de rápida instauración, o hemorragia masiva con rotura de la corteza y laceración secundaria de la aracnoides5. La evolución suele ser mala y la mortalidad elevada, siendo los factores pronósticos principales el volumen del HSD y la HSA, el grado de desviación de la línea media5, y la presencia de alteraciones de la coagulación6. Requiere cirugía urgente con evacuación del HSD y clipaje del aneurisma, previa realización de arteriografía o angio-TC para localizar el punto de sangrado3,5.
La incidencia de complicaciones neurológicas en la endocarditis infecciosa es de 20-40%, significativamente mayor en la EI por S. aureus y/o afectación izquierda, y condiciona un importante aumento de la mortalidad7-9. Hasta un 65% de las complicaciones embólicas de la endocarditis infecciosa afectan al SNC, siendo típicamente eventos precoces (la tasa de embolismo periférico disminuye rápidamente tras inicio de tratamiento antibiótico eficaz)7,8. La afectación neurológica reciente supone una contraindicación relativa de la cirugía valvular7,8,10, especialmente en ictus hemorrágicos, ya que, aunque menos frecuentes, conllevan un aumento de la incidencia y duración en el tiempo del riesgo potencial de progresión del deterioro neurológico o muerte perioperatoria7,8,10.






