La tuberculosis extrapulmonar se considera de difícil diagnóstico y requiere de alta sospecha por el clínico, ya que los pacientes pueden presentar sólo síntomas abdominales sin un cuadro respiratorio, y al momento de la valoración endoscópica, las lesiones pueden simular una enfermedad de Crohn (EC). Se presenta el caso de un paciente con cuadros recurrentes de dolor abdominal, estreñimiento y diarrea, en quien se diagnosticó tuberculosis intestinal.
Extrapulmonary tuberculosis is considered difficult to diagnose and requires a high index of suspicion by the clinician, because patients may have only abdominal symptoms without respiratory symptoms, and when endoscopic assessment is performed they may mimic Crohn's disease (CD). We report the case of a patient with abdominal pain, constipation, and an episode of diarrhea with ulcerative lesions compatible with intestinal tuberculosis by Ziehl-Neelsen.
Introducción
La inflamación del íleon puede tener múltiples causas, desde vasculitis, isquemia, neoplasia, o incluso inducida por medicamentos.1 En el caso de la tuberculosis extrapulmonar, se considera que la forma intestinal es la sexta forma prevalente y representa cerca del 20% de casos.2 Luego de la ingesta, el área ileocecal o el yeyuno-íleon son los sitios más comunes de afección.1
Dentro de las manifestaciones clínicas, raramente se asocia a una enteropatía perdedora de proteínas o un síndrome de malabsorción, y hasta el 70% de los pacientes presentan una radiografía de tórax normal.1 Con la tomografía computada (TC), se puede encontrar engrosamiento de la pared de forma simétrica y concéntrica.1
Se considera que el diagnóstico patológico con tinción de Ziehl-Neelsen (donde se aprecian bacilos ácido-alcohol resistentes [BAAR] y granulomas), se logra en menos de 30% de los casos. La secuenciación con PCR puede brindar un diagnóstico rápido, pero en el material de endoscopia puede tener una sensibilidad sólo del 40% a 75%. Se considera que el cultivo para tuberculosis es el ideal estándar, pero requiere un tiempo de tres a ocho semanas.1
Presentación del caso
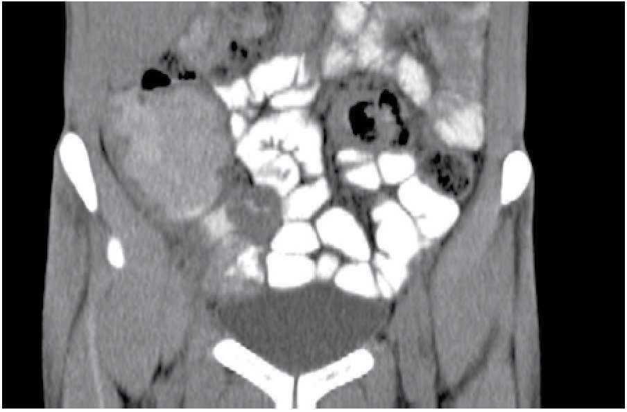
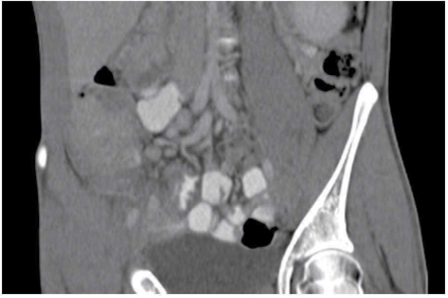
Paciente masculino de 28 años de edad, originario y residente de Chiapas, con un año de evolución, quien presentaba cuadros de estreñimiento y dolor abdominal ocasional, pérdida de peso de 7 Kg en seis meses, además de consumo de leche sin pasteurizar en dos ocasiones. Fue valorado por múltiples gastroenterólogos, se le realizaron estudios de endoscopia y colonoscopia, sin llegar a un diagnóstico preciso. Por nuevo cuadro de cuatro días de evacuaciones disminuidas en consistencia, 7/día, sin moco, ni sangre, con tenesmo y pujo tras la ingesta de cualquier alimento, dolor abdominal 9/10, asociado a náusea, sin vómito, con escalofríos y elevación térmica, acudió a Urgencias para valoración. En los estudios se evidenció hemoglobina de 12.3 g/dL, plaquetas 155 000 mm3 y VSG 35 mm/h. En TC se observó hepatoesplenomegalia, adenopatías y zonas de estenosis en íleon terminal (Figuras 1 y 2). Se realizó enteroscopia retrógrada de un solo balón, en donde se observaron úlceras lineales en íleon medio y terminal con engrosamiento de la mucosa y la válvula ileocecal con colon normal (Figura 3). La evaluación de patología mostró ileítis aguda ulcerada y crónica granulomatosa, asociada con micobacterias (Figuras 4, 5 y 6). El paciente se egresó del hospital para manejo ambulatorio con medicamentos antifímicos.
Figura 1.Válvula ileocecal con zona de engrosamiento de mucosa y zonas de estenosis.
Figura 2. Adenopatías pericecales.
Figura 3. A) Afectación a partir del íleon terminal, B) úlceras en íleon terminal con superficie granular de base limpia y que abarcan más del 50%, C) úlcera lineal en íleon terminal.
Figura 4. Mucosa de intestino delgado con úlcera, abundante tejido de granulación, fibrosis de la lámina propia y cambios regenerativos del epitelio superficial (H&E, 100X).
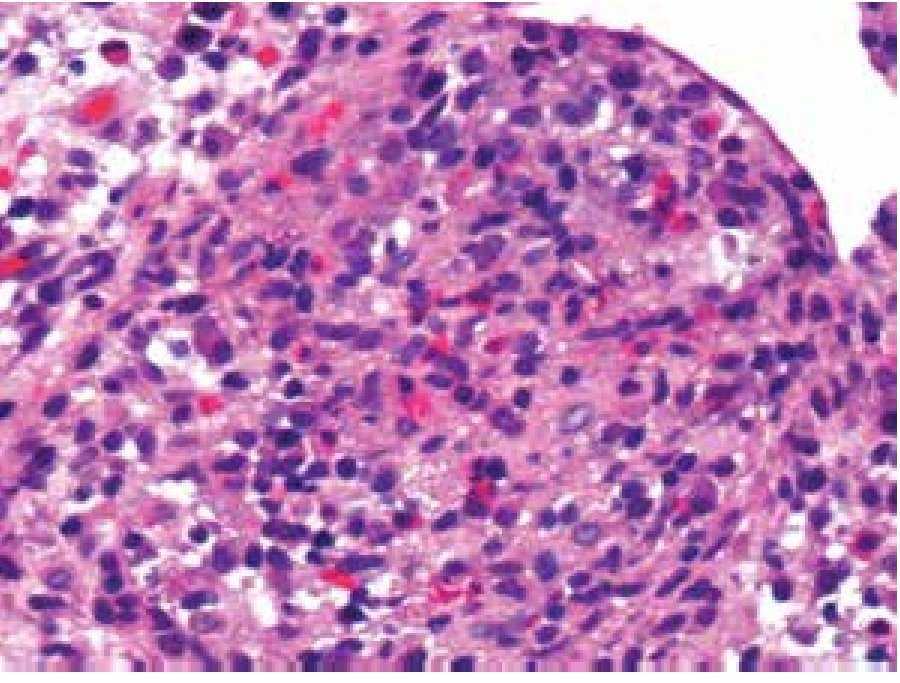
Figura 5. Lámina propia con nódulo linfohistiocítico rico en eosinófilos (H&E, 200X).
Figura 6. La tinción de Ziehl-Neelsen evidenció escasas bacterias ácido-alcohol resistentes (micobacterias), en los nódulos linfohistocíticos de la lámina propia (tinción de Z-N, 1000X).
Discusión
La tuberculosis intestinal es difícil de diagnosticar y se requiere de una alta sospecha. La enteroscopia es una herramienta diagnóstica que permite acceder a áreas del intestino, que previamente no era posible.
Existen pocos reportes de casos de diagnóstico de tuberculosis intestinal por medio de enteroscopia. Nakamura y colaboradores3 reportaron lesiones focales irregulares múltiples con bases necróticas de 5 mm, en el íleo medio y distal en enteroscopia retrógrada. Ramchandani y colaboradores4 demostraron tres casos confirmados por biopsia. Si bien se ha considerado el uso de cápsula endoscópica (CE) en el diagnóstico de la patología ileal, la incidencia de retención se ha reportado en 1% y puede incrementar hasta 6.7%, en caso de pacientes con enfermedad de Crohn (EC).5 En este caso, no se consideró el uso de CE, ya que en el estudio de imagen se mostraban diferentes zonas de estenosis a lo largo del intestino delgado, y varios de los reportes de retención se han asociado a EC,6 uno de los diagnósticos diferenciales que fue considerado en este paciente, además de que con la CE no es posible la toma de biopsias.
El tratamiento antifímico es curativo, sin embargo se debe recordar que la mortalidad en pacientes sin infección por VIH, por tuberculosis puede ser hasta 3.0% (1.2%-7.4%) y la mortalidad por tuberculosis durante el tratamiento puede ser hasta 3.5% (2.0%-4.92%), misma que se observa durante el primer mes.7
Se debe recordar que en pacientes con engrosamiento del íleon terminal, el diagnóstico diferencial se basa en tuberculosis intestinal, EC y linfoma, principalmente. Los hallazgos endoscópicos pueden ser comunes en relación a la presencia de ulceraciones, seudopólipos, estenosis y nodularidades.1,2
Conflicto de intereses
Los autores declaran no tener ningún conflicto de intereses.
Financiamiento
No se recibió patrocinio para llevar a cabo este artículo.
Correspondencia:
Dr. Félix Ignacio Téllez Ávila.
Departamento de Endoscopia, Instituto Nacional de Ciencias Médicas y Nutrición "Salvador Zubirán".
Vasco de Quiroga N° 15, Colonia Sección XVI, Delegación Tlalpan, C.P. 14000, México D.F., México.
Correo electrónico: felixtelleza@gmail.com







