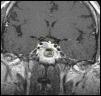
Mujer de 35 años con antecedentes personales de hipertensión arterial y diabetes mellitus tipo 2 de reciente comienzo que consultó por oligomenorrea de 6 meses de evolución acompañada de galactorrea bilateral. En la exploración destacaba, además, una obesidad central con signos de hipercortisolismo: estrías violáceas abdominales, cara de luna llena y giba de búfalo. Por todo esto se solicitaron hormonas hipofisarias y cortisol libre urinario. Los resultados fueron los siguientes: prolactina de 425ng/dl (VN<25ng/dl), cortisol libre urinario de 450μg/24h (VN<100μg/dl), cortisol basal de 35μg/dl (VN<25μg/dl), corticotropina basal de 72pg/ml (VN<50pg/ml), GH de 1,2ng/dl (VN<5ng/dl), IGF-I de 245ng/ml, TSH de 2,3mUI/ml (VN de 0,5-5μUI/ml) y tiroxina libre de 15pg/ml (VN de 8–18pg/ml). Ante los hallazgos analíticos se solicitó una resonancia magnética hipofisaria, que demostró un macroadenoma invasor del seno cavernoso derecho (fig. 1). El estudio inmunohistoquímico final fue el reseñado (tabla 1).
Tras el inicio de la terapia combinada con ketoconazol y cabergolina, el tamaño del adenoma no se modificó significativamente. Se intervino mediante abordaje transesfenoidal con persistencia del hipercortisolismo (cortisol libre urinario de 250μg/dl) y la hiperprolactinemia (150ng/dl) ya a los 6 meses tras la intervención. Para su control, se la trató de nuevo conjuntamente con adrenolíticos (ketoconazol) y agonistas dopaminérgicos (cabergolina). Ha quedado pendiente de una segunda intervención sobre los restos hipofisarios.
Los adenomas hipofisarios productores de varias hormonas de forma simultánea (adenomas plurihormonales) suponen tan solo una pequeña parte del total de estos, que oscila entre el 1–8% y que depende de si se consideran o no como tales los productores de GH y prolactina1–3. Su diagnóstico histopatológico se ha mejorado en los últimos años gracias a la evolución de las técnicas inmunohistoquímicas mediante la utilización de anticuerpos monoclonales4, las técnicas genéticas mediante la hibridación in situ y las técnicas ultraestructurales mediante el avance en la microscopía electrónica.
En su gran mayoría corresponden a adenomas únicos en los que puede observase bien un solo tipo celular (adenoma monomorfo) o bien varios tipos celulares (adenoma polimorfo) y que expresan inmunorreactividad para 2 o más hormonas hipofisarias. En ocasiones, se han descrito formaciones adenomatosas múltiples (adenomas múltiples) o bien crecimientos hiperplásicos no adenomatosos. Los adenomas plurihormonales más frecuentes son los mixtos de GH y prolactina en sus diferentes formas: adenoma de célula pluripotencial acidófila, adenoma de células lactosomatotropas y adenoma mixto bicelular de células somatotropas y lactotropas5.
Más raramente se han descrito adenomas plurihormonales con producción mixta de GH y prolactina conjuntamente con hormonas glucoproteicas (TSH, FSH o LH) o bien con corticotropina, teniendo este último caso escasas referencias bibliográficas previas6–10.
Hasta el momento, los mecanismos citogenéticos e histopatológicos de su génesis son totalmente desconocidos. Las teorías propuestas se fundamentan en alteraciones en la expresión y la diferenciación citológica tumoral, así como también en mecanismos de regulación humoral paracrinos6–10.



