La presencia del sludge amniótico (sedimento amniótico) es un factor de mal pronóstico obstétrico asociado a parto pretérmino con el aumento de la morbimortalidad perinatal que esto conlleva. Por otra parte, la prevalencia de gestaciones múltiples ha aumentado en los últimos años. Este tipo de gestaciones presentan un mayor riesgo de parto pretérmino, presentándose este en ocasiones en edades gestacionales muy tempranas. Generalmente el parto del primer gemelo suele ir seguido del parto del segundo gemelo en un intervalo corto de tiempo no siendo habitual que este intervalo se prolongue durante días o incluso semanas.
Presentamos el caso de una gestación gemelar con parto diferido del segundo gemelo donde en el transcurso de su seguimiento encontramos el sludge amniótico en la valoración ecográfica.
The presence of amniotic fluid sludge is a marker of poor obstetric prognosis because of its association with preterm delivery, which carries greater perinatal morbidity and mortality. The prevalence of multiple pregnancies has increased in the last few years. These pregnancies are at risk of preterm delivery, which sometimes occurs at very preterm gestational ages. Delivery of the first twin is usually soon followed by that of the second twin and an interval of days or even weeks is unusual. We present the case of a twin pregnancy with delayed interval delivery of the second twin and a finding of amniotic sludge in the ultrasound assessment.
Se conoce como sludge amniótico al hallazgo ecográfico casual de material hiperecogénico flotando libremente en el interior del líquido amniótico en las proximidades del orificio cervical interno, encontrado en la exploración cervical mediante sonda transvaginal.
Se ha demostrado que su presencia actúa como factor de riesgo independiente, aumentando la incidencia de parto prematuro, rotura de membranas pretérmino, invasión microbiológica en pacientes con bolsa íntegra y corioamnionitis histológica en aquellas gestantes que lo presentan, con la consiguiente repercusión negativa en los parámetros de morbimortalidad maternofetal.1
Aun con todo ello, todavía a día de hoy, no está descrita su prevalencia ni su utilización en la práctica clínica como marcador predictivo en gestaciones de alto riesgo.
Caso clínicoPaciente de 34 años primigesta, con antecedentes personales de esterilidad primaria de 2 años de evolución y miomectomía vía laparotómica sin entrada en cavidad, 10 meses antes de la gestación.
Gestante mediante fecundación in vitro, tratándose de una gestación gemelar bicorial biamniótica de curso normal hasta la semana 15 en el que la paciente ingresa en otro centro hospitalario por metrorragia, produciéndose el parto del primer gemelo con permanencia de placenta in situ. Ante la ausencia de dinámica posterior a la expulsión del primer gemelo, se decide con la aceptación de la paciente pauta expectante con controles analíticos y ecográficos seriados; indicándose reposo absoluto y tratamiento con progesterona micronizada vía vaginal a dosis de 200mg/12h y bemiparina sódica 2.500 UI subcutánea/24horas profiláctica por dicha inmovilización. Los controles analíticos seriados resultan normales salvo anemia (hemoglobina de 8,10mg/dL) que fue tratada con ferroterapia oral. Los controles ecográficos se mantienen dentro de la normalidad.
En la semana 22, la paciente comienza con spotting y síntomas compatibles con rotura prematura de membranas por lo que es remitida a nuestro hospital. En la exploración inicial en el ingreso, no se evidencia fluir líquido amniótico (LA) de forma espontánea ni tras maniobras de Valsalva; se practica una ecografía abdominal en la que se observa una biometría acorde a las semanas de gestación con un PFE de 505 gramos, un volumen de LA normal, ambas placentas normoinsertas y la presencia de 4 miomas localizados en tercio inferior de cara anterior cuyos tamaños oscilan entre 34 y 9mm y en la ecografía transvaginal la longitud cervical es de 27mm sin embudización. No obstante se detecta la proteína IGFBP-1 (PROM test®) positiva en exudado cervicovaginal, por lo que se ingresa a la paciente con diagnóstico de sospecha de rotura prematura de membranas pretérmino. Se pauta inicialmente tratamiento antibiótico profiláctico con ampicilina (2gr/6h) y eritromicina (250/6h) ambas por vía intravenosa.
Se toman cultivos cervicovaginales que resultan negativos. Se solicitan analíticas seriadas que resultan normales salvo la anemia previamente descrita (Hb 8,4mg/dL Hto 25,2%) destacando la ausencia de leucocitosis o neutrofilia (leucocitos 8.500 con neutrofilia del 73,6%) y un valor de PCR de 1.
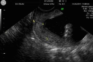
Se realizan controles ecográficos seriados semanales que resultan normales, en la semana 24 se observa una biometría acorde a las semanas de gestación con PFE de 617 gramos, ILA 11,5cm con laguna máxima de 3,4cm. En la ecografía transvaginal se aprecia longitud cervical de 28mm sin embudización en condiciones basales pero tras presión en fondo uterino se modifica a 23mm con embudización en «V», llamando la atención la existencia de imágenes hiperecogénicas sobre OCI compatibles con sedimento amniótico (fig. 1).
La evolución clínica de la paciente es favorable, no presentando metrorragia, pérdidas de líquido amniótico, fiebre, dinámica o dolor abdominal durante su estancia hospitalaria, por lo que se decide su alta en la semana 24+5 días y control ambulatorio tras no confirmarse la rotura prematura de membranas sospechada en un primer momento.
Los controles ambulatorios son normales manteniéndose la paciente asintomática hasta la semana 27+2 en que consulta por metrorragia. Se evidencian en la exploración restos hemáticos en vagina en cantidad similar a una regla sin sangrado activo a través de OCE. En ecografía transvaginal se aprecia una longitud cervical de 20mm con embudización en «V». En el cardiotocograma se evidencia dinámica regular, por lo que se procede a su ingreso con el diagnóstico de amenaza de parto prematuro. Se instaura tratamiento tocolítico con nifedipino y corticoterapia para maduración pulmonar fetal; se toman de nuevo cultivos cervico-vaginales detectándose positividad del cultivo de exudado cervical para enterococo sensible a fosfomicina, por lo que se administra tratamiento antibiótico específico.
Durante su estancia hospitalaria cede la dinámica, no presenta nuevos episodios de metrorragia, los controles analíticos son normales (a destacar Hb de 11mg/dL y ausencia de leucocitosis), en los registros cardiotocográficos no se evidencia dinámica uterina y en la ecografía practicada se informa de feto en podálica con PFE de 1.200 gramos con LA normal (ILA de 16cm con laguna máxima de 6,8cm) longitud cervical de 11mm sin embudización (fig. 2) y sin apreciarse imágenes compatibles con barro amniótico.
La paciente es dada de alta en la semana 28+2 días con controles ambulatorios, a pesar de modificación de longitud cervical, dado su buen estado clínico y analítico y se pauta reposo domiciliario y nifedipino oral 60mg/día.
En la semana 31 de gestación consulta de nuevo por sensación de dinámica regular, a la exploración se encuentra en periodo activo de parto y presentación podálica por lo que se decide finalizar gestación mediante cesárea. Se obtiene un RN varón de 1.600 gramos con IA: 7/10 con pH arterial de 7,39 y pH venoso de 7,49. La intervención cursa sin incidencias, confirmándose el hallazgo de múltiples miomas uterinos. El puerperio cursa dentro la normalidad, con alta precoz, el neonato es ingresado en Servicio de Pediatría por prematuridad donde la evolución es favorable y es dado de alta a los 28 días de vida.
El estudio de AP de la placenta describe un peso de 480 gramos y morfología macro y microscópica dentro de la normalidad, observándose a 4cm de ella, estructura compatible con placenta espurea (placenta de primer gemelo).
DiscusiónEl caso que hemos presentado tiene 2 vertientes de discusión: por un lado el papel del sedimento amniótico como marcador predictor de parto pretérmino y otras complicaciones obstétricas y por otro lado, el hecho de que se trata de una gestación gemelar con parto diferido del segundo gemelo 16 semanas después de la expulsión del primer gemelo.
Según diferentes estudios, la presencia de sedimento amniótico en una exploración ecográfica actúa como factor de riesgo independiente para parto prematuro, RPM pretérmino, invasión microbiológica de cavidad amniótica y corioamnionitis histológica en pacientes con elevado riesgo de parto pretérmino con membranas íntegras.2,3 Sin embargo, no se ha demostrado una mayor incidencia de corioamnionitis clínica dentro de este grupo de pacientes.
A su vez, la combinación de barro amniótico y acortamiento cervical supone un riesgo mayor de parto prematuro antes de la semana 32 con respecto a aquellas pacientes que solo presentan acortamiento cervical, por lo que el pronóstico neonatal es peor en el primer grupo de pacientes, debido a la mayor prematuridad fetal.
En cuanto al origen y la naturaleza de este hallazgo, existen varios trabajos que intentan dilucidarlo y entre ellos destaca el estudio publicado en 2008 por Romero et al., en el cual a partir de una paciente de 28+5 semanas diagnosticada de APP y con presencia de sludge, obtienen una muestra de esta sustancia, previa a amniotomía, cuando se encontraba en periodo activo de parto. Macroscópicamente se describía como un material de características purulentas y el estudio bioquímico mostraba cifras bajas de glucosa (inferior a 10mg/dl) con un recuento celular de leucocitos de 19.650 células/mm3 con 95% de neutrófilos; en la extensión Gram se observaban cocos gram positivos y su cultivo microbiológico resultaba positivo para Streptococo mutans, Mycoplasma hominis y Aspergillus flavus. Llama la atención el hecho de que se le había realizado 10 días antes una amniocentesis, con líquido amniótico negativo para parámetros bioquímicos sugestivos de infección así como cultivo microbiológico negativo.4
Con todo ello, la mayoría de autores entienden la génesis del sedimento amniótico como una respuesta a la invasión microbiana del LA con la posterior reacción inflamatoria que esto conlleva. Parece ser que la presencia de dicho sedimento sería un marcador de infección intraamniótica crónica y subclínica localizada. Existe la teoría del doble compartimento, en el cual el LA en el útero grávido estaría divido en 2 porciones, por un lado el compartimento superior (próximo a fondo uterino) y el inferior (próximo a cérvix) con características bioquímicas diferentes, teoría apoyada por la distinta concentración de prostaglandinas y citoquinas de muestras obtenidas de ambas localizaciones. Así, quedaría explicado el porqué las amniocentesis realizadas a estas pacientes son negativas para estudio microbiológico5,6
A su vez diferentes patógenos tienen la capacidad de atravesar las membranas íntegras y a su vez de desarrollar biofilms como mecanismo de protección frente a la respuesta del sistema inmune materno y fetal. La presencia de biofilms esta ampliamente demostrada como mecanismo de adaptación bacteriana en la colonización. Las bacterias generan una biopelícula de polisacáridos que actúa como una matriz de consistencia viscosa que mantiene la cohesión entre estas bacterias y brinda un mecanismo de defensa frente al sistema inmunitario y la acción antibiótica.7 Es un hecho ya conocido la formación de estos biofilms en crecimientos bacterianos en la vía biliar (barro biliar), dando imágenes ecográficas muy similares al sludge amniótico, por lo que ambos materiales podrían compartir mecanismo fisiopatológico.8,9
Con todo ello, la visualización de dichos agregados ecodensos en la ecografía sería la combinación de dicha reacción inflamatoria (representada sobre todo por la participación de neutrófilos) y microorganismos (con la participación de biofilms).
Sin embargo, no se ha observado que la presencia de sedimento se asocie a corioamnionitis clínica; esto podría hacernos pensar que el barro amniótico sería la expresión ecográfica de una reacción inflamatoria localizada que actuaría como la primera barrera de freno de la invasión patógena sobre la cavidad amniótica, manteniéndola localizada y subclínica, no permitiendo su diseminación al compartimento superior de esta cavidad. Sin embargo, la actividad inflamatoria y microbiana en la proximidad del cérvix podría desencadenar los mecanismos de parto que acontece en estas pacientes como queda demostrado al observar mayores tasas de prematuridad cuando se evalúa su presencia.
En nuestro caso, la presencia de sludge se ha asociado a un parto pretérmino por debajo de la semana 32 pero no así a la aparición de una coriomanionitis clínica ya que la paciente en ningún momento presentó signos clínicos ni analíticos compatibles con esta patología confirmando posiblemente la teoría arriba comentada.
Otros casos en los que podemos encontrar material flotando libremente en LA serían la presencia de vernix o meconio, la hemorragia de vasos deciduocoriales tras técnicas invasivas o de forma espontánea, y en la ictiosis congénita severa pero estas imágenes no se localizarían exclusivamente en la proximidad del orificio cervical interno como sí lo hace el barro amniótico lo que nos facilita el diagnóstico diferencial.10
Por otro lado, este caso tiene una segunda vertiente también interesante ya que se trata de una gestación gemelar con parto diferido del segundo gemelo con un intervalo excepcionalmente largo (4 meses) entre el parto en la semana 15 del primer gemelo y el parto en la semana 31 del segundo.
Debido sobre todo al aumento de técnicas de reproducción asistida, se observa en los últimos años un incremento de la prevalencia de la gestación múltiple y esto nos plantea problemas obstétricos y éticos poco frecuentes como este, en el que no existen protocolos claros de actuación establecidos.
Según un estudio prospectivo publicado por Arabin et al. en 2009 con 50 casos de gestaciones múltiples, el parto diferido del segundo gemelo se asocia a un mejor resultado perinatal si el parto del primer gemelo se ha producido entre las 20 y las 29 semanas, sin embargo, cuando el parto del primer gemelo se produce por debajo de la semana 20, no hay supervivencia de ninguno de los 2 fetos y el intervalo medio entre los 2 partos se sitúa en 14 días.11
Más recientemente, Masoller et al., publican una serie de 7 casos de embarazo múltiple con parto diferido del segundo gemelo, cuyos resultados neonatales avalan el parto diferido del segundo gemelo como una opción terapéutica a tener en cuenta cuando el parto del primer gemelo se produce en la franja de edad gestacional entre 20 y 30 semanas, por la mejoría significativa que se produce en la supervivencia del segundo gemelo.12
En nuestro caso, aunque la decisión inicial de diferir el parto del segundo gemelo se tomó en otro centro, al ingreso en nuestro hospital (en la semana 22 de gestación) se mantuvo esa actitud conservadora tras comprobar que no existían contraindicaciones y hablar con la paciente y su pareja, explicándoles claramente los riesgos de la misma tanto maternos como fetales así como los beneficios en cuanto a supervivencia fetal que conllevaba el prolongar el embarazo en una edad gestacional tan temprana.
La detección de sedimento amniótico en la semana 24, nos hizo llevar a cabo un control aún más estrecho tanto clínico como ecográfico y analítico incluyendo cultivos de exudado cervical seriados. Se instauró antibioterapia profiláctica inicialmente cuando se sospechó una rotura prematura de membranas que se retiró al no confirmarse la misma y posteriormente en la semana 27 de forma específica cuando uno de los cultivos cervicales fue positivo. El tratamiento tocolítico y la corticoterapia se aplicó en la semana 27 cuando se modificó la longitud cervical y la situación clínica de la paciente así lo requirió. De esta manera, se consiguió diferir el parto del segundo gemelo hasta la semana 31 con un buen resultado neonatal ya que la evolución del recién nacido fue buena y en su seguimiento no se han observado hasta el momento anomalías en su desarrollo psicomotor.
ConclusionesLa detección de sludge amniótico en una ecografía transvaginal se podría considerar como un marcador ecográfico de riesgo de parto pretérmino no así de coriamnionitis clínica. Esto nos va a permitir realizar un control mas estrecho sobre estas gestaciones que nos lleve a la detección precoz de posibles complicaciones y si es posible a establecer medidas terapeúticas que disminuyan la prematuridad y por tanto la morbi-mortalidad perinatal que esta conlleva.
Por otra parte, el parto diferido del segundo gemelo, sobre todo en edades gestacionales cercanas al límite inferior de la viabilidad fetal e incluso como en nuestro caso, por debajo del mismo, es una opción a considerar siempre que se excluyan situaciones que lo contraindiquen, informando adecuadamente a ambos progenitores de los riesgos y beneficios de la misma y con un control exhaustivo clínico, ecográfico y analítico de la gestación.
Conflicto de interesesLos autores declaran no tener ningún conflicto de intereses.





