El carcinoma adenoide quístico es una enfermedad muy rara, representando menos del 1% de todos los carcinomas, con alto riesgo de recurrencia local y a distancia. Aunque no disponemos de una conducta terapéutica estándar hasta la fecha, sin embargo, se cuenta con reportes de ser radiosensible. Se presenta el caso de una mujer peruana de 76 años portadora de carcinoma adenoide quístico de cérvix estadio clínico i, manejada inicialmente con histerectomía radical con resultado patológico de carcinoma adenoide quístico asociado a carcinoma adenoide basal, que presentó recurrencia a distancia tempranamente.
Adenoid cystic carcinoma is a very rare pathology, representing less than 1% of all carcinomas, and has a high risk of local and distant recurrence. Although there is currently no standard management, there are reports of them being radiosensitive. The case is presented of a 76-year-old Peruvian woman with a clinical stage i cervical adenoid cystic carcinoma, specifically managed with radical hysterectomy with a histological result of an adenoid cystic carcinoma associated with basal adenoid carcinoma, presenting with an early distant recurrence.
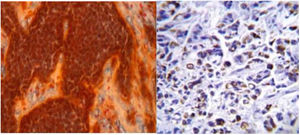
El cáncer del cuello uterino es la segunda neoplasia maligna más frecuente en las mujeres de todo el mundo y el tipo de cáncer más habitual en las mujeres de muchos países en desarrollo, principalmente en Latinoamérica1,2. La histopatología del carcinoma adenoide quístico (CAQ) es muy rara, representando menos del 1% en enfermedad maligna de cuello uterino3,4, siendo reportada en Asia y el norte de África, pero no en Latinoamérica (figs. 1 y 2).
El CAQ por lo general es localmente agresivo, con alta propensión a la recurrencia local y las metástasis a distancia5. Por lo tanto, debe diferenciarse de otros tumores menos agresivos (fig. 3).
Presentamos el primer caso reportado en Latinoamérica de CAQ primario de cuello uterino IB2 con tratamiento oncológico local.
Reporte de casoSe trata de una mujer de 76 años, natural y procedente de la sierra peruana, de raza mestiza, teniendo como antecedente 10 gestaciones que finalizaron en parto vaginal, con fecha de última regla a los 50 años. Presenta un tiempo de enfermedad de 2 años, caracterizado solo por sensación de masa a nivel de hemiabdomen inferior. Es evaluada por el Departamento de Cirugía Oncológica, realizándose resonancia magnética de pelvis: extensa masa sólida quística localizada en el fondo del saco posterior con adecuado plano de clivaje, con un tamaño de 77mm. A los 2 meses es sometida a histerectomía radical, con resultado de anatomía patológica: CAQ de patrón sólido, asociado a carcinoma adenoide basal, tamaño tumoral de 7,5cm, infiltración hasta el tercio profundo de la pared cervical, infiltración perineural ausente, embolia linfovascular ausente, endometrio atrófico, libre de neoplasia en borde quirúrgico, parametrios, ovarios y trompas uterinas. Inmunohistoquímica: CAM5.2, queratina-7, EMA y CD117, positivos, y S-100, negativo.
Al mes del acto quirúrgico se realiza tomografía espiral multicorte de tórax, abdomen y pelvis, en la que no se observó lesión recurrente a nivel de lecho operatorio ni lesiones metastásicas a distancia. Con estos hallazgos se la cataloga en estadio clínico IB.
En junta multidisciplinaria se decide tratar con radioterapia externa a dosis de 5.000cGy en 25 sesiones a nivel de lecho operatorio y región pélvica ganglionar, continuándose con 2 sesiones de braquiterapia de 700cGy cada una. Sin embargo, la paciente rechaza tratamiento adyuvante. En el seguimiento, a los 4 meses de la cirugía, presenta hemoptisis. Se realiza tomografía espiral multicorte de tórax, abdomen y pelvis, en la que se evidencia una masa sólida heterogénea de 5,5cm en el lóbulo superior izquierdo y otra masa de 3,3cm en la región parahiliar superior derecha, junto con múltiples nódulos en ambos campos pulmonares, sin evidencia de recurrencia a nivel de la pelvis. No recibe ningún esquema de quimioterapia ni de radioterapia, falleciendo a los 8 meses del acto quirúrgico.
DiscusiónEl CAQ (también llamado carcinoma adenoquístico o cilindroma) es una neoplasia epitelial maligna derivada de las glándulas secretoras, siendo más frecuente en las glándulas salivales3,6. En las estructuras ginecológicas, el CAQ se presenta con mayor frecuencia en la glándula de Bartolino y rara vez en el cuello uterino; representa menos del 1% de todos los carcinomas cervicales4,7.
Se observa en mujeres posmenopáusicas mayores de 60 años, sin embargo, se han notificado casos desde los 24 hasta los 99 años, y algunos autores han planteado su asociación con la multiparidad y ser de raza negra8–10, siendo estas características compatibles con la paciente.
Se postula que el CAQ se genera a partir de la capa de células de reserva multipotente del epitelio endocervical que puede mostrar diferenciación escamosa o glandular6,11. La etiología no está bien definida, pero Shi et al. demostraron una integración del virus del papiloma humano de alto riesgo en CAQ, por lo que podría ser importante en la patogénesis12.
El síntoma clínico más frecuente es el sangrado vaginal8,10. También se describe secreción vaginal y sensación de masa en la pelvis10. En el examen ginecológico se puede evidenciar una tumoración no friable, a diferencia de la presentación del carcinoma de células escamosas; se reportan variedad de tamaños, que varían desde pequeños, confinados a alguna parte del cérvix, hasta el compromiso parametrial, de la pared pélvica y los órganos adyacentes13. En nuestro caso, por el tamaño tumoral mayor de 4cm, sin compromiso de las estructuras adyacentes, ganglionar locorregional ni lesiones a distancia, es congruente con el estadio IB2, según la AJCC (TNM) en su octava edición, o el estadio IB3 según la revisión de FIGO del 201914,15.
El CAQ se caracteriza por la invasión local, neural, linfática y, subsecuentemente, de la vía hematógena, ocasionando las lesiones a distancia. Esto lo hace sumamente agresivo localmente y a distancia, por lo que se reportan tasas menores de sobrevida global en comparación con otras histopatologías, incluso en estadio clínico i, siendo del 56% a los 3 a 5 años16–18. Esto explica la sobrevida inferior a un año desde el diagnóstico de nuestra paciente, a pesar del estadio clínico i.
Actualmente no existe una conducta terapéutica estándar debido a la rareza de esta enfermedad; sin embargo, se tiene que considerar que el CAQ es más agresivo que el carcinoma de células escamosas, con alto un potencial de recurrencia local y metastásica19. En el escenario de un estadio clínico IB, se debe optar como primera línea el acto quirúrgico, para determinar con certeza el tipo histopatológico de CAQ y evaluar factores de riesgo de recurrencia, como el tamaño tumoral, la invasión profunda estromal y la infiltración linfovascular17,18, para que los pacientes se beneficien con radioterapia adyuvante pélvica por los factores de riesgo mencionados anteriormente o por tener enfermedad residual, ya que se describe su sensibilidad a la irradiación17–19. Dixit et al. reportan 14 casos de CAQ estadio clínico i tratados solo con radioterapia (teleterapia más braquiterapia o solo braquiterapia intracavitaria), de los cuales no presentaron evidencia de enfermedad el 92,9% en 5,5 años, mientras que 13 pacientes fueron tratados con cirugía sola, de los que no presentaron enfermedad un 61,5% en 5,5 años18. El rol de la quimioterapia en un estadio temprano no está definido; se reporta su uso en casos de recurrencia local o progresión a distancia13. En estadios clínicos avanzados, se recomienda optar por tratar como el carcinoma escamoso, brindando concurrencia de radioterapia y quimioterapia a base de platino, seguidos de braquiterapia18. Con base en estas recomendaciones, en el presente caso se otorgó mayor importancia al CAQ que al carcinoma adenoide basal. Por presentar alto riesgo de recurrencia local, se le ofreció a la paciente adyuvancia a base de radioterapia pélvica seguida de braquiterapia a cúpula vaginal, sin embargo, rechazó la propuesta. En el escenario de enfermedad recurrente a distancia en los pulmones, se abrió la posibilidad de proporcionar quimioterapia, sin embargo, por la edad y la comorbilidad, se le brindó solo manejo sintomático de la hemoptisis.
El CAQ de cérvix presenta unas elevadas tasas de recurrencia local y a distancia, sin que dispongamos de un tratamiento óptimo debido a su excepcional rareza. Pero es una enfermedad sensible a la irradiación, por lo que se debe valorar la adyuvancia con irradiación en estadio clínico i. Se recomienda que todos los casos se traten de forma individualizada para mejorar el tratamiento y, en consecuencia, la sobrevida global, agregándose un seguimiento estrecho.
Responsabilidades éticasProtección de personas y animales. Los autores declaran que para esta investigación no se han realizado experimentos en seres humanos ni en animales.
Confidencialidad de los datos. Los autores declaran que han seguido los protocolos de su centro de trabajo sobre la publicación de datos de pacientes.
Derecho a la privacidad y consentimiento informado. Los autores declaran que en este artículo no aparecen datos de pacientes.
FinanciaciónEste estudio fue financiado por el Departamento de Oncología del Hospital Regional Docente Clínico Quirúrgico Daniel Alcides Carrión.
Conflicto de interesesNo existen potenciales conflictos de intereses con esta investigación.
Los autores agradecen al Seguro Integral de Salud financiado por el Gobierno peruano.






