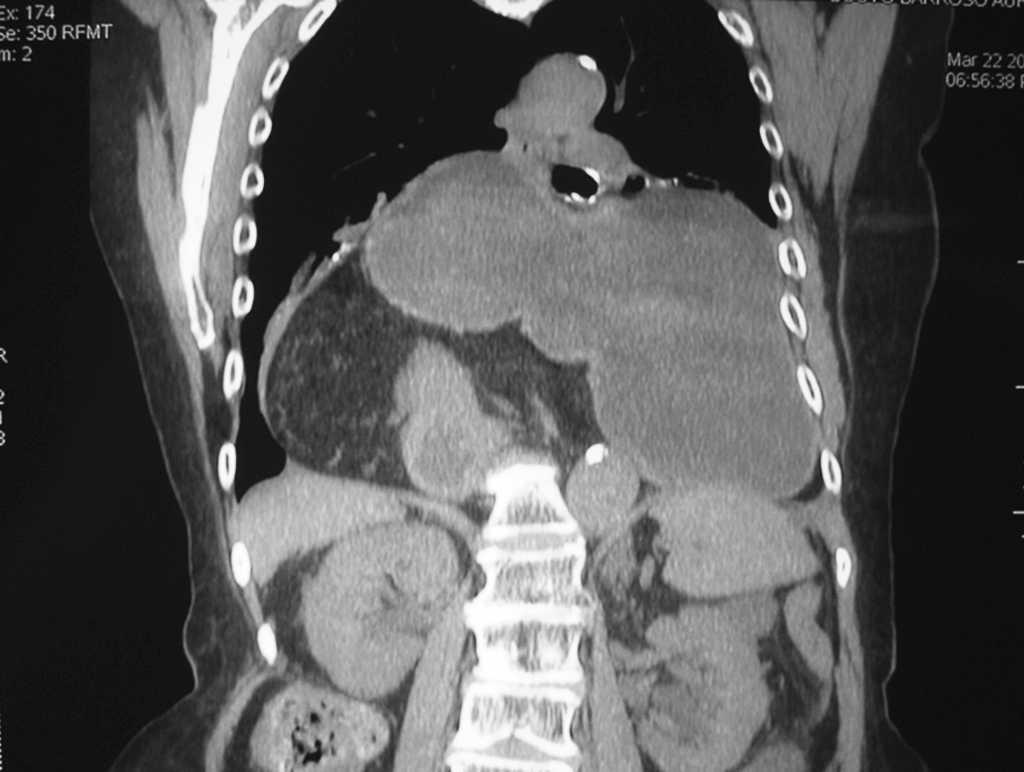
Presentamos el caso de un vólvulo gástrico agudo incarcerado debido a una hernia diafragmática en una anciana de 86 años, con un traumatismo toracoabdominal hace 30 años por accidente de tráfico. La paciente acude a urgencias con importante dolor abdominal de tipo cólico, localizado en el ámbito epigástrico, náuseas sin vómitos e incapacidad para la introducción de una sonda nasogástrica. Como datos analíticos destacan anemia y leucocitosis con desviación izquierda. La tomografía computarizada toracoabdominal realizada de urgencias informa de una gran hernia diafragmática, con ascenso a la cavidad torácica del estómago, duodeno proximal, asas de intestino delgado, ángulo hepático del colon y grasa intraabdominal, con datos de obstrucción y estrangulación. La paciente es intervenida de urgencia mediante laparotomía media supraumbilical; se realiza reducción del saco herniario, sutura de los pilares diafragmáticos y gastrostomía. La evolución es favorable en el postoperatorio.
Fig. 1.
Fig. 2.
Fig. 3.
Fig. 4.








