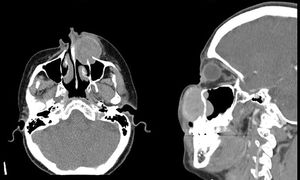
Mujer de 37 años con tiempo de enfermedad de 9 meses, caracterizado por la presencia de una tumoración en la región nasogeniana izquierda de crecimiento rápido. La tomografía con contraste de macizo facial muestra una lesión sólida, homogénea, de márgenes parcialmente definidos, dependiente del maxilar superior izquierdo (figs. 1 y 2).
La biopsia reportó tumor de células gigantes (TCG). Los TCG óseos son lesiones caracterizadas por la presencia de células gigantes multinucleadas y representan el 4% de todos los tumores óseos. Solo el 2% se origina en el esqueleto craneofacial, los de origen maxilar son excepcionales. El tratamiento estándar es la resección quirúrgica.






