La tuberculosis peritoneal (TP) es una forma infrecuente de tuberculosis (TB), que supone el 0,1–0,5% de todos los casos de TB y en torno al 11% de las formas extrapulmonares1–3. No obstante, es la forma más frecuente de TB abdominal (50%)4. Es una entidad que afecta habitualmente a pacientes con pobres condiciones de vida, con algún tipo de inmunodeficiencia y/o que residen en países de gran endemia de TB5. La TP cursa con una clínica muy inespecífica que, junto con ascitis y elevación del CA 125, puede llevar a diagnóstico erróneo de carcinomatosis de origen ovárico u otro diagnóstico si no la tenemos presente1,5. La mortalidad por TP antes de la llegada de los antibióticos alcanzaba, en algunas series, el 49%; actualmente es de aproximadamente el 7%4.
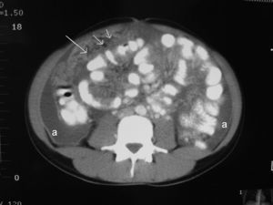
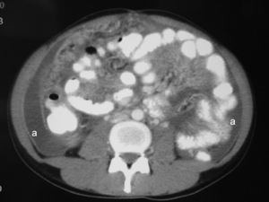
Presentamos el caso de una mujer de origen español de 26 años, sin antecedentes familiares ni personales de interés, que acude al servicio de urgencias de nuestro hospital por lumbalgia de 1 mes de evolución que no mejora con tratamiento con antiinflamatorios no esteroideos y que, en la última semana, concurren distensión abdominal, progresiva, indolora y fiebre de hasta 38°C de predominio vespertino. No refiere otra clínica digestiva ni síndrome general. El examen abdominal muestra ascitis a tensión y molestias abdominales difusas sin signos de irritación peritoneal. Los estudios analíticos, las radiografías de tórax y abdomen resultaron normales. Se procedió a una paracentesis evacuadora (negativa para células malignas, líquido ascítico, con características de trasudado y con adenosindesaminasa [ADA] de 2,7U/l). La tomografía computarizada (TC) abdominal informó de implantes tumorales difusos epiploicos y mesentéricos, ascitis masiva y quistes de 3cm en los ovarios (figs. 1 y 2), todo ello indicativo de carcinomatosis de posible origen ginecológico. Los marcadores tumorales fueron normales, excepto el CA 125 que tenía un valor de 517U/ml. La paciente fue intervenida, a los 15 días del ingreso, mediante laparoscopia de forma programada, en que se objetivó un gran bloqueo de asas intestinales e implantes de carcinomatosis en toda la zona, por lo que se consideró inviable una cirugía con intención curativa y se procedió a la toma de múltiples biopsias de implantes peritoneales y en el epiplón mayor. La anatomía patológica fue informada como peritonitis necrosante granulomatosa de origen tuberculoso. La evolución postoperatoria fue favorable y se le dio de alta al octavo día postoperatorio con tratamiento antituberculoso basado en isoniazida, pirazinamida, rifampicina y etambutol durante 6 meses. La paciente siguió en estudio y control, de forma ambulatoria, por el servicio de medicina interna, mediante pruebas radiológicas, broncoscópicas, con lavados y cepillados del árbol bronquial, determinaciones serológicas de los virus hepáticos y de la inmunodeficiencia humana, pruebas analíticas para valorar la función hepática, el ácido úrico, etc., sin objetivarse otros focos de tuberculosis, etiologías inmunosupresoras ni efectos secundarios por la medicación. La paciente tuvo el alta definitiva a los 12 meses. En la actualidad, y tras tantos meses de seguimiento, se encuentra asintomática y no precisa tratamiento alguno.
La explicación más extendida para el desarrollo de TP es la diseminación hemática desde un foco intestinal5. En nuestra paciente tanto la colonoscopia como la gastroscopia y el tránsito intestinal largo no mostraron signos patológicos.
La ecografía y la TC evidencian hallazgos inespecíficos, el más frecuente es la ascitis, como sucedió con nuestra paciente. El análisis de la ascitis puede ser un exudado con predominio linfocítico1 o, como sucedió con nuestra paciente, un trasudado con cultivos negativos para BAAR. No obstante, algunos autores han publicado resultados de cultivos positivos en casos con paracentesis de más de 1l tras su centrifugado3. La ADA es una enzima degradadora de purinas necesaria para la maduración y la diferenciación de las células linfocíticas. La actividad de la ADA en líquido ascítico se ha propuesto como un método útil para la detección de la tuberculosis. Un metaanálisis de 12 estudios prospectivos, con 264 pacientes, encontró que el valor de la ADA tenía altas sensibilidad (100%) y especificidad (97%), con valores de corte entre 36 y 40U/l, el valor óptimo de corte fue 39U/l6. Hay falsos positivos en casos de cirrosis, peritonitis bacterianas espontáneas e infecciones por Chlamydia. Si la ADA es mayor de 50U/l, los falsos positivos son casi inexitentes4. Nuestra paciente presentaba una cifra de ADA en el líquido ascítico normal, 2,7U/l (normal, hasta 45U/l).
El CA 125 es un marcador tumoral para cánceres ginecológicos, si bien puede estar elevado en otros procesos benignos (endometriosis, salpingitis, peritonitis bacteriana, hepatitis alcohólica, etc.)7. En el caso de la TP se ha descrito que puede ser útil como marcador evolutivo una vez instaurado el tratamiento antituberculoso8.
La laparoscopia exploratoria abdominal con toma de biopsias es, en una gran parte de los casos, lo que lleva al diagnóstico definitivo de la enfermedad1,5,9, y es recomendable en todos los casos de ascitis de origen indeterminado (en nuestra paciente, carcinomatosis de origen indeterminado). No obstante, en las formas menos frecuentes de TP, con escasa ascitis (forma fibroadhesiva de la TP), la laparotomía estaría indicada4.






