El traumatismo de vesícula biliar es una entidad muy poco frecuente, con una incidencia estimada de 2% de los traumatismos abdominales cerrados1. Su diagnóstico mediante prueba de imagen es excepcional por su baja incidencia y porque la lesión vesicular en el traumatismo penetrante suele descubrirse en el transcurso de una laparotomía. La cirugía se suele indicar por lesiones abdominales asociadas, generalmente hepáticas o esplénicas y la aparición de una lesión de vesícula es un hallazgo en la mayoría de los casos. El tratamiento habitual es la colecistectomía, ya que la perforación de la pared libre de la vesícula a cavidad abdominal condiciona la aparición de una peritonitis biliar2,3.
Presentamos un caso de laceración vesicular por arma blanca que se diagnosticó mediante prueba de imagen y que no precisó de exploración quirúrgica.
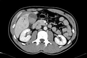
Se trata de un varón de 30 años sin antecedentes de interés que acude al servicio de urgencias por agresión con arma blanca en abdomen. A su llegada el paciente está estable con TA 121/72, FC 50 y presenta únicamente una herida incisa de 1cm en hipocondrio derecho. No hay dolor abdominal espontáneo ni a la palpación en abdomen y el Murphy es negativo. La analítica al ingreso no muestra alteraciones y se realiza TAC abdominal en el que se observa una laceración hepática que alcanza el lecho de la vesícula, la cual presenta un coágulo en su interior y mínimo líquido libre alrededor (fig. 1). Dado el buen estado general del paciente y la ausencia de clínica se decide tratamiento conservador e ingreso en reanimación para monitorización. A las 24h el paciente permanece estable hemodinámicamente y sin dolor abdominal. Se repite la analítica encontrando como único hallazgo una alteración del perfil hepático (Bilirrubina total 2,8mg/dl, GPT 536U/L, GOT 555U/L) y se decide esperar. A las 48h la bioquímica mejora espontáneamente (bilirrubina total 1,4mg/dl, GPT 357U/L, GOT 162U/L) y se comprueba ecográficamente la desaparición del líquido libre perivesicular y ausencia de dilatación de la vía biliar. No aparece en ningún momento dolor abdominal, ictericia ni cuadro de melenas o hematemesis, por lo que el paciente es trasladado a planta y se inicia tolerancia oral. Al cuarto día es dado de alta asintomático con hemograma y bioquímica normales. En la revisión posterior al mes el paciente persiste sin síntomas y 8 meses después se confirma telefónicamente que permanece asintomático y desestima seguimiento.
La localización de la vesícula en el lecho hepático le confiere cierta protección frente a los traumatismos abdominales y esta parece ser la causa de que su lesión sea tan infrecuente. En el traumatismo abdominal penetrante la lesión de la vesícula biliar suele aparecer en su borde libre y condicionar una peritonitis biliar por perforación de su pared. Se han descrito 3 tipos de lesión vesicular: contusión, laceración y avulsión4. La laceración vesicular comprende desde la perforación transmural de la pared de la vesícula hasta una lesión aislada de la mucosa con preservación de la serosa. Generalmente la pared libre a cavidad peritoneal es la que resulta dañada y la bilis sale libremente al peritoneo. Sin embargo, el diagnóstico precoz de una laceración vesicular adyacente al lecho hepático permitió en este caso el tratamiento conservador, lo cual resulta excepcional. Según algunos autores el diagnóstico de laceración vesicular puede demorarse entre 1–6 semanas, incluso en presencia de bilis en la cavidad abdominal ya que, la bilis normal no infectada puede no causar irritación peritoneal5.
En este paciente se observaron con especial cuidado 2 aspectos relacionados con la presencia de sangre en el árbol biliar: la aparición de colecistitis y la obstrucción de la vía biliar por coágulos.
El cuadro de «Colecistitis traumática» fue descrito por Penn en 19626 y consiste en la presencia de hemobilia por lesión vesicular o hepática y en la aparición de colecistitis por oclusión del conducto cístico debido a los coágulos. Si bien el riesgo teórico de aparición de una colecistitis secundaria a hemobilia existe, su incidencia es tan baja que no se considera preceptiva la realización de colecistectomía en todos los casos de hemobilia por contusión vesicular. En nuestro paciente la ausencia de dolor abdominal y fiebre, el hemograma sin alteraciones y la ecografía a las 48h del ingreso descartaron la inflamación vesicular.
La causa del aumento de bilirrubina a las 24h de la agresión pudo deberse al desplazamiento del coágulo de la vesícula hacia el colédoco. Esta posibilidad nos hizo plantearnos la necesidad de exploración de la vía biliar preoperatoria o intraoperatoria si la bilirrubina se incrementaba y se comprobaba ecográficamente dilatación de la vía biliar. En nuestro caso, la probable obstrucción coledociana fue temporal y la bilirrubina se normalizó en las 24h posteriores.
En conclusión, el traumatismo de vesícula biliar es muy infrecuente y su tratamiento habitual es la colecistectomía. Varios factores nos permitieron en este caso su manejo conservador: la ausencia de peritonitis biliar, la estabilidad del paciente y la presencia de un cuadro de hemobilia autolimitada y sin repercusión posterior (colecistitis traumática y obstrucción de la vía biliar).





