Sr. Director:
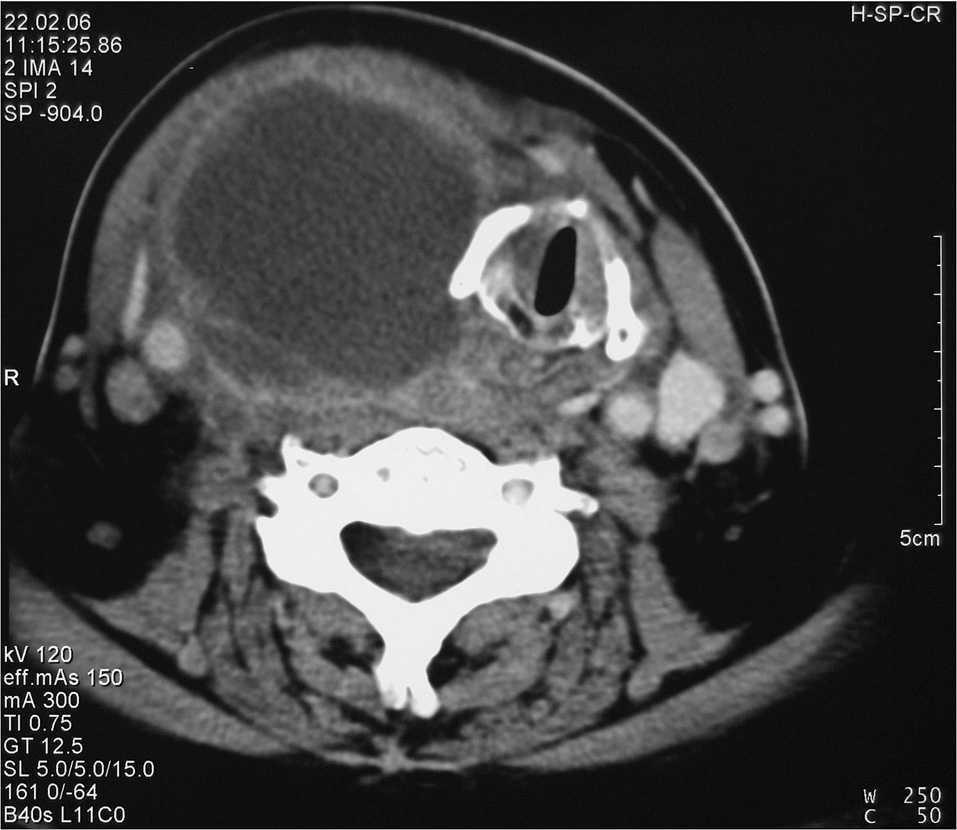
La infección bacteriana del tiroides es un proceso excepcional debido a que la glándula es muy resistente a la invasión microbiana por su elevado aporte sanguíneo, amplia red linfática, alto contenido en yodo y completo encapsulamiento1, lo que siempre deben indicar la existencia de anomalías anatómicas. Se han descrito tiroiditis supuradas en relación con quistes branquiales, persistencia del conducto tirogloso y, sobre todo, con fístulas de los senos piriformes. Los senos piriformes son estructuras procedentes de la tercera o cuarta bolsa faríngea2. Hemos tenido ocasión de tratar 2 casos: uno tras punción-biopsia-aspiración, y otro espontáneo (fig. 1), ambos producidos por Staphylococcus aureus resistente a la meticilina.
Fig. 1. Tomografía computarizada cervical. Absceso tiroideo derecho. Caso 2.
Las características clínicas de esta rara entidad serían, en la adolescencia3: a) predominio en el varón (relación 10:7 respecto a la mujer); b) edad preferente de 2 a 12 años; c) comienzo brusco con tumefacción dolorosa del área tiroidea, tortícolis, fiebre, odinofagia, antecedente próximo de infección de las vías respiratorias superiores; d) fístula del seno piriforme demostrable con esofagograma o fistulografía; e) recidiva, a menos que se practique fistulectomía, y f) afectación del tiroides. También se reconoce una mayor incidencia en personas de origen oriental.
La ecografía define la localización tiroidea y/o extratiroidea del absceso. El esofagograma suele mostrar una fístula interna que se origina en el ápex del seno piriforme y desciende hacia el tiroides. Con una minuciosa hipofaringoscopia se puede visualizar el seno piriforme y comprobar cómo, a veces, la presión en la tumefacción cervical provoca la salida de pus a través de su apertura.
A veces la tiroiditis es consecuencia de una maniobra de punción-biopsia-aspiración diagnóstica4. El germen más frecuente en su producción es S. aureus, pero también se han descrito otros organismos 5.
En caso de que la tiroiditis aguda supurada sea consecuencia de una fístula del seno piriforme, la curación definitiva del proceso es necesariamente quirúrgica (fistulectomía completa), por lo que hay que realizarla una vez superada la inflamación. En caso de absceso, deben efectuarse el drenaje percutáneo guiado o el drenaje quirúrgico abierto. La enfermedad es generalmente autolimitada y habitualmente cede al cabo de algunas semanas.





