La tomografía computarizada en cuatro dimensiones (TC-4D) ofrece buena sensibilidad para localizar la glándula patológica responsable del hiperparatiroidismo primario. El objetivo fue evaluar su rendimiento como estudio de segunda línea tras ausencia de localización o resultado no concordante de los estudios habituales.
Material y métodosEstudio observacional retrospectivo que incluyó todos los pacientes intervenidos por hiperparatiroidismo primario con TC-4D como estudio preoperatorio, del 1 de octubre de 2016 al 1 de octubre de 2021, en un centro hospitalario de tercer nivel.
Se compararon los resultados de la TC-4D, la ecografía y las exploraciones de medicina nuclear (gammagrafía, SPECT y SPECT-TC) con el gold standard de la exploración quirúrgica y el resultado anatomopatológico, analizando los porcentajes de lateralización correcta y localización aproximada de la glándula patológica.
ResultadosEl análisis incluyó 64 pacientes, con una curación del 93,8% (60/64). La TC-4D mostró una lateralización correcta del 57,8% (37/64) y reveló la localización aproximada de la glándula en el 48,4% (31/64). La ecografía tuvo unos porcentajes del 31,1% (19/61) y del 18% (11/61) para la lateralización correcta y la localización aproximada, respectivamente, vs. un 34,9% (22/63) y un 28,6% (18/63) de los estudios de medicina nuclear y un 32,7% (16/49) y un 24,5% (12/49) de la SPECT-TC. Estas diferencias fueron estadísticamente significativas.
ConclusionesLa TC-4D ofrece un rendimiento aceptable para localizar las lesiones responsables del hiperparatiroidismo primario, por lo que debería considerarse su uso ante la ausencia de localización en los estudios habituales.
Four-dimensional computerized tomography (4D-CT) offers a good sensitivity for the localization of the pathological gland responsible of primary hyperparathyroidism. The aim was to evaluate its results as a second line preoperative localization test after inconclusive or discordant results of usual preoperative studies.
Material and methodsObservational retrospective study that included all patients intervened for primary hyperparathyroidism with 4D-CT scan as preoperative study, from 1st October 2016 to 1st October 2021, in a tertiary referral centre.
The results of 4D-CT, cervical ultrasound, and nuclear medicine explorations (scintigraphy, SPECT and SPECT-CT) were compared with the gold standard of the surgical exploration and the pathological result. The correct lateralization and the approximate localization rates of the pathological gland were evaluated.
ResultsA total of 64 patients were analysed, with a 93,8% (60/64) remission rate. 4D-CT showed a correct lateralization in 57,8% (37/64) of the cases and revealed the approximate localization of the gland in 48,4% (31/64) of the cases. The cervical ultrasound had a rate of 31,1% (19/61) and 18% (11/61) for the correct lateralization and approximate localization, respectively, compared to 34,9% (22/63) and 28,6% (18/63) in nuclear medicine explorations, and 32,7% (16/49) and 24,5% (12/49) in SPECT-CT. These differences were statistically significant.
Conclusion4D-CT demonstrated acceptable results for the localization of the lesions responsible of primary hyperparathyroidism, thus its use should be considered with the absence of localization in routinely studies.
El hiperparatiroidismo primario es una patología frecuente del metabolismo del calcio, provocado por la secreción excesiva o inadecuada de paratohormona (PTH)1. Esta enfermedad está causada mayoritariamente por el adenoma de paratiroides (85%), siendo menos frecuente la presencia de enfermedad multiglandular (15%)2. El tratamiento quirúrgico está indicado en el hiperparatiroidismo sintomático, y en el hiperparatiroidismo asintomático en pacientes de menos de 50 años, con calcio sérico superior en 1 mg/dL al límite de la normalidad, con densitometría ósea diagnóstica de osteoporosis (T-score < -2,5) en columna lumbar, cadera o tercio distal del radio, ante la presencia de fracturas vertebrales en pruebas de imagen, con un aclaramiento de creatinina < 60 mL/min, calciuria > 400 mg/día en la orina de 24 h en pacientes con riesgo aumentado de litiasis, o ante la presencia de nefrolitiasis o nefrocalcinosis en pruebas de imagen3.
Se recomienda el uso de pruebas de localización preoperatoria para identificar la glándula patológica, ya que la localización previa permite la realización de una paratiroidectomía selectiva con elevadas tasas de curación4. La ecografía cervical y la gammagrafía cervical con [99mTc]Tc-sestaMIBI son habitualmente las pruebas iniciales, ya que en combinación presentan una adecuada precisión y sensibilidad4, permitiendo incluso eliminar la monitorización intraoperatoria de la PTH en casos de concordancia completa5, aunque su sensibilidad puede verse reducida en la enfermedad multiglandular6. Actualmente, la prueba que ofrece una mayor sensibilidad es la tomografía por emisión de positrones-tomografía computarizada (PET-TC) con [18F]fluorocolina7, aunque su uso se encuentra limitado por su elevado coste8 y su baja disponibilidad.
En este contexto, la tomografía computarizada en cuatro dimensiones (TC-4D) es un estudio de localización preoperatorio que consiste en la adquisición de tres fases vasculares (basal, arterial y venosa), valorando el comportamiento de las lesiones en función del tiempo tras la administración del contraste intravenoso8. En esta prueba, la rápida captación y el rápido lavado del contraste son diagnósticos del adenoma de paratiroides8, lo que se combina con la alta resolución espacial de la TC para localizar la glándula patológica9. Esta prueba de localización ofrece una buena sensibilidad para la lateralización de la lesión, cercana al 81% (intervalo de confianza [IC] 95%: 75-87), mientras que la sensibilidad para la localización en el cuadrante adecuado es del 73% (IC 95%: 69-78)10.
El objetivo de este estudio fue evaluar el rendimiento de la TC-4D como estudio de localización de segunda línea en la cirugía del hiperparatiroidismo primario, comparando sus resultados con la ecografía cervical y los estudios de medicina nuclear: gammagrafía de paratiroides, tomografía computarizada de emisión monofotónica (SPECT) y SPECT-TC.
Material y métodosEste artículo sigue las recomendaciones STROBE (Strengthening the Reporting of Observational Studies in Epidemiology) para la elaboración de estudios observacionales11.
Diseño del estudio y participantesEstudio observacional retrospectivo unicéntrico.
Se incluyó a todos los pacientes intervenidos por hiperparatiroidismo primario, a los que se les realizó una TC-4D como estudio preoperatorio tras un resultado no concluyente de los estudios habituales, desde el 1 de octubre de 2016 al 1 de octubre de 2021, en un centro hospitalario de tercer nivel (Hospital Universitario Ramón y Cajal, Madrid).
Los pacientes intervenidos por hiperparatiroidismo secundario o terciario, con realización de TC fuera de protocolo, o con ausencia de seguimiento posterior fueron excluidos.
El estudio obtuvo la aceptación del Comité de Ética de la Investigación de la institución (código 290/21) y se llevó a cabo en consonancia con la Declaración de Helsinki sobre experimentos con humanos. Se solicitó una exención en la obtención del consentimiento informado, dado el carácter retrospectivo del estudio, que fue concedida por el Comité de Ética de la Investigación.
IntervenciónLos estudios de localización iniciales fueron la ecografía y la gammagrafía planar de paratiroides con [99mTc]Tc-sestaMIBI, siendo posible la realización de SPECT o SPECT-TC a criterio de medicina nuclear. La TC-4D fue indicado como estudio preoperatorio de segunda línea ante la ausencia de localización o el resultado no concordante de los estudios previos. La intervención quirúrgica fue realizada mediante un abordaje dirigido o bilateral en función del resultado de las pruebas preoperatorias. Se dispuso de estudio anatomopatológico intraoperatorio y de monitorización intraoperatoria de la PTH, considerando finalizada la cirugía con un descenso de la PTH al rango normal y en un porcentaje superior al 50% con respecto a los valores previos12.
VariablesLas variables demográficas analizadas fueron: sexo, edad, índice de masa corporal (IMC) (kg/m2), antecedentes de intervención previa, y presencia de bocio multinodular. Se evaluaron los niveles de calcio sérico (mg/dL) máximos al diagnóstico y a los seis meses, y los niveles de PTH (ng/dL) preoperatorios y posoperatorios. Se analizaron las pruebas de localización preoperatorias realizadas: la ecografía cervical, gammagrafía planar de paratiroides con [99mTc]Tc-sestaMIBI, SPECT y SPECT-TC, y la TC-4D. Las variables quirúrgicas analizadas fueron: el abordaje, la localización del adenoma y las complicaciones posoperatorias. Las variables anatomopatológicas recogidas fueron: el resultado del estudio diferido, la longitud máxima de la glándula (mm), el peso máximo (mg) y el sumatorio del peso de las glándulas en caso de enfermedad multiglandular. La curación tras la intervención quirúrgica fue definida como la normalización de la calcemia a los seis meses de la cirugía.
El resultado anatomopatológico en diferido junto con la descripción de la localización de la glándula patológica en la cirugía fue considerado como el gold standard, y fue comparado con el resultado de los estudios preoperatorios. El gold standard fue comparado con los resultados indicados por las pruebas de localización preoperatorias. El resultado de la gammagrafía fue agregado a la SPECT o a la SPECT-TC, ya que la lectura de estas pruebas se realizaba conjuntamente. Para evaluar el rendimiento de las pruebas de localización preoperatorias se analizaron los porcentajes de lateralización correcta y localización aproximada. Se consideró como lateralización correcta que la prueba de localización preoperatoria coincidiera con el lado (derecho o izquierdo) en el que posteriormente se identificó la glándula patológica. Se consideró como localización aproximada correcta que la glándula patológica se localizara en las inmediaciones del sitio predicho por la prueba de localización preoperatoria.
Análisis estadísticoSe realizó un análisis descriptivo en el que variables categóricas fueron definidas como frecuencia (n) y porcentaje (%). Las variables cuantitativas se describieron con la media y la desviación estándar (SD) en caso de seguir la distribución normal, y con mediana y rango intercuartílico (IQR) en caso de no seguir la distribución normal. El análisis de la normalidad se efectuó mediante la prueba de Shapiro-Wilk. Los porcentajes de lateralización correcta y localización aproximada de las pruebas de localización preoperatoria fueron evaluados como variables categóricas en contraste de hipótesis mediante la prueba χ2. El nivel de significación se estableció en 0,05. El análisis de los datos se realizó con el programa SPSS Statistics 23 (IBM Corp., Armonk, NY, EE. UU.).
ResultadosDurante el periodo de estudio fueron intervenidos 359 pacientes por hiperparatiroidismo. De ellos, se realizó TC-4D tras un resultado no concluyente de los estudios habituales en 64 pacientes que fueron incluidos en el análisis.
Descripción de la serieLa mediana de edad de la muestra fue de 61,7 años (IQR: 54,7-69,5) con predominancia de mujeres (76,6%; 49/64). El índice de masa corporal (IMC) medio fue de 27,1 kg/m2 (SD: 5,0). Un 26,6% (17/64) de los pacientes presentaba bocio multinodular de forma concomitante, y un 14,1% (9/64) tenía antecedentes de intervención cervical previa: tiroidectomía total (1/64), exploración unilateral y extirpación de una glándula (3/64), y exploración cervical bilateral (5/64). La calcemia preoperatoria máxima fue de 11,0 mg/dL (SD: 0,7) con una mediana de PTH preoperatoria de 120 pg/mL (IQR: 93,5-141,9).
Se realizó ecografía cervical en el 95,3% (61/64) de la muestra. En los tres casos en los que no se realizó ecografía ya se realizó directamente SPECT-TC. Se realizaron estudios de medicina nuclear en el 98,4% (63/64) de la muestra, siendo las pruebas más realizadas la gammagrafía planar (98,4%; 63/64) y la SPECT-TC (76,6%; 49/64). En todos los casos analizados se realizó TC-4D (100%; 64/64). Estos resultados se muestran en la tabla 1.
Datos demográficos y pruebas de localización realizadas
| n: 64 | ||
|---|---|---|
| nmediana | %IQR | |
| Datos demográficos | ||
| Edad (años) | 61,7 | 54,7-69,5 |
| Sexo (mujer: hombre) | 49: 15 | 76,6: 23,4 |
| IMC (kg/m2)* | 27,1 | 5,0 |
| Bocio multinodular | 17 | 26,6 |
| Intervención previa | 9 | 14,1 |
| Tiroidectomía total | 1 | 1,5 |
| Exploración unilateral y extirpación de una glándula | 3 | 4,8 |
| Exploración bilateral | 5 | 7,8 |
| Sin hallazgo de glándulas patológicas | 3 | 4,8 |
| Extirpación de una glándula | 1 | 1,5 |
| Extirpación de varias glándulas | 1 | 1,5 |
| Calcemia máxima (mg/dL)* | 11,0 | 0,7 |
| PTH preoperatoria (pg/mL) | 120 | 93,5-141,9 |
| Pruebas de localización realizadas | ||
| Ecografía cervical | 61 | 95,3 |
| Estudios de medicina nuclear | 63 | 98,4 |
| Gammagrafía | 63 | 98,4 |
| SPECT | 7 | 10,9 |
| SPECT-TC | 49 | 76,6 |
| TC-4D | 64 | 100 |
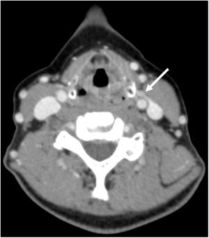
Se realizó una paratiroidectomía selectiva en el 46,9% (30/64) de la muestra y una exploración cervical bilateral en el 51,7% (34/64) restante. Un 9,4% de los casos (6/64) fueron debidos a una glándula de localización ectópica (fig. 1). Las complicaciones presentadas fueron cinco casos (7,8%) de hipoparatiroidismo transitorio y un caso (1,6%) de infección de herida quirúrgica, sin que se recogieran complicaciones en relación con el nervio laríngeo recurrente ni otras complicaciones definitivas.
El resultado anatomopatológico final fue de adenoma en el 78,1% de los casos (50/64), y de hiperplasia en el 21,9% (14/64) restante. El peso máximo de la glándula patológica tuvo una mediana de 330 mg (IQR: 240-610). Se observó una reducción en la PTH posoperatoria a 37,8 pg/mL (IQR: 23-63,9), mientras que la calcemia media a los seis meses de la intervención fue de 9,4 mg/dL (SD: 0,5). El porcentaje de curación tras la intervención quirúrgica fue del 93,8% (60/64), correspondiendo a una tasa de curación del 96,7% (29/30) en la exploración selectiva y un 91,2% (31/34) en la exploración bilateral. Estos resultados se muestran en la tabla 2.
Resultados quirúrgicos, resultados histológicos y evolución posterior
| n: 64 | ||
|---|---|---|
| nmediana | %IQR | |
| Resultados quirúrgicos | ||
| Exploración quirúrgica | ||
| Selectiva | 30 | 46,9 |
| Bilateral | 34 | 53,1 |
| Localización ectópica de la glándula | 6 | 9,4 |
| Complicaciones | ||
| Hipoparatiroidismo transitorio | 5 | 7,8 |
| Infección de herida quirúrgica | 1 | 1,6 |
| Resultados histológicos | ||
| Resultado anatomopatológico | ||
| Adenoma | 50 | 78,1 |
| Hiperplasia | 14 | 21,9 |
| Longitud máxima de la glándula (mm) | 14,5 | 10-18,3 |
| Peso de la glándula (mg) | 330 | 240-610 |
| Σ del peso de las glándulas (g) | 370 | 240-770 |
| Evolución posterior | ||
| Curación | 60 | 93,8 |
| Exploración selectiva | 29/30 | 96,7 |
| Exploración bilateral | 31/34 | 91,2 |
| PTH posoperatoria (pg/mL) | 37,8 | 23-63,9 |
| Calcemia a los 6 meses (mg/dL)* | 9,4 | 0,5 |
La ecografía consiguió una lateralización correcta en el 31,1% (19/61) de los casos, e indicó la localización aproximada de la glándula patológica en un 18% (11/61) de los pacientes. El agregado de los estudios de medicina nuclear mostró una lateralización correcta del 34,9% (22/63), y reveló la localización aproximada en el 28,6% (18/63) de la muestra. Considerando exclusivamente a los pacientes con SPECT-TC, el porcentaje de lateralización correcta con esta prueba fue del 32,7% (16/49) y el porcentaje de localización aproximada fue del 24,5% (12/49). Con la TC-4D, la lateralización correcta fue del 57,8% (37/64) y se consiguió la localización aproximada de la glándula patológica en el 48,4% (31/64) de los casos. Estos resultados se muestran en la tabla 2.
La lateralización correcta de la TC-4D fue estadísticamente superior a la mostrada por la ecografía cervical (p: 0,001), los estudios de medicina nuclear (p: 0,018), y la SPECT-TC (p: 0,010). La localización aproximada de la TC-4D también fue estadísticamente superior a la indicada por la ecografía cervical (p: 0,002), los estudios de medicina nuclear (p: 0,002), y la SPECT-TC (p: 0,001) (tabla 3).
Resultados de los estudios de localización preoperatoria
| n: 64 | ||
|---|---|---|
| nmediana | %IQR | |
| Ecografía cervical | ||
| Lateralización correcta | 19/61 | 31,1 |
| Localización aproximada | 11/61 | 18 |
| Estudios de medicina nuclear | ||
| Lateralización correcta med. nuclear | 22/63 | 34,9 |
| Localización aproximada med. nuclear | 18/63 | 28,6 |
| Lateralización correcta SPECT-TC | 16/49 | 32,7 |
| Localización aproximada SPECT-TC | 12/49 | 24,5 |
| TC-4D | ||
| Lateralización correcta | 37/64 | 57,8 |
| Localización aproximada | 31/64 | 48,4 |
IQR: rango intercuartílico; TC-4D: tomografía computarizada en cuatro dimensiones.
La localización y el número de glándulas patológicas localizadas y no localizadas por TC-4D se muestra en la figura 2 (adaptado de Powell et al.13). La TC-4D permitió resolver la discrepancia entre el resultado de la ecografía cervical y las pruebas de medicina nuclear en 16 casos (26,2%). Además, resultó decisivo en la localización de 11 casos (17,2%), en los que todas las pruebas de localización previamente realizadas habían resultado negativas. Las características de este último subgrupo de pacientes se muestran en la tabla 4.
Análisis de los pacientes con resultado negativo de las pruebas de localización habituales y TC-4D decisivo para la localización preoperatoria y análisis de los pacientes no curados
| Sexo | Edad | Cirugía previa | Calcemiamáxima (mg/dL) | PTH preop. (pg/mL) | TC-4D | Abordaje | Localización de la glándula patológica | Resultado histológico | PTH posop. (pg/mL) | Calcemia a 6 m (mg/dL) |
|---|---|---|---|---|---|---|---|---|---|---|
| Resultado negativo de las pruebas de localización habituales y TC-4D decisivo | ||||||||||
| M | 81,1 | No | 12,3 | 141,7 | Glándulas patológicas izquierdas | Bilateral | Superior e inferior izquierdas | Hiperplasia | 49,9 | 9,7 |
| M | 67,3 | Exploración bilateral sin glándulas patológicas | 10,5 | 71,0 | Glándula patológica derecha | Bilateral | Inferior derecha | Adenoma | 21,0 | 9,2 |
| M | 72,3 | Exploración unilateral y extirpación de una glándula | 11,1 | 169,0 | Glándulas patológicas derechas e intratímica izquierdas | Bilateral | Superior e inferior derecha e intratímica | Hiperplasia | 81,0 | 9,7 |
| M | 50,9 | Exploración bilateral con extirpación de una glándula | 11,1 | 187,8 | Adenoma inferior a la glándula submaxilar izquierda | Selectivo | Inferoposterior a la glándula submaxilar izquierda | Adenoma | 23,0 | 8,7 |
| M | 60,4 | No | 10,9 | 165,0 | Adenoma inferior izquierdo | Bilateral | Inferior izquierda | Adenoma | 27,0 | 9,2 |
| H | 80,3 | No | 11,6 | 156,0 | Adenoma derecho | Selectivo | Superior derecha | Adenoma | 106,0 | 9,6 |
| M | 74,6 | No | 10,7 | 132,8 | Adenoma superior izquierdo | Bilateral | Superior izquierda | Adenoma | 46,7 | 9,5 |
| M | 61,7 | No | 10,3 | 127,5 | Glándulas patológicas inferiores bilaterales | Bilateral | Inferior izquierda e inferior derecha | Hiperplasia | 55,0 | 9,7 |
| M | 65,1 | No | 10,6 | 91,0 | Adenoma izquierdo | Bilateral | Superior izquierda | Adenoma | 67,0 | 8,7 |
| H | 63,0 | No | 11,3 | 85,1 | Adenoma inferior derecho | Selectivo | Inferior derecha | Adenoma | 38,6 | 10,0 |
| M | 67,9 | No | 11,5 | 81,1 | Adenoma superior derecho | Selectivo | Superior derecha | Adenoma | 19,7 | 8,9 |
| Pacientes no curados | ||||||||||
| M | 72,3 | No | 10,8 | 193,0 | No localizaglándulas patológicas | Bilateral | Superior e inferior derechas | Hiperplasia | 122,0 | 10,6 |
| M | 69,5 | No | 11,2 | 136,0 | Adenoma inferior izquierdo | Bilateral | Superior e inferior dcha. e inferior izda. | Hiperplasia | 21,4 | 10,7 |
| H | 75,7 | No | 10,5 | 130,0 | Adenoma derecho | Bilateral | Superior e inferior derechas | Hiperplasia | 115,0 | 10,2 |
| M | 75,4 | No | 11,3 | 123,0 | Adenoma inferior derecho | Selectivo | Inferior derecho | Adenoma | 105,0 | 10,7 |
Preop.: preoperatoria; posop.: posoperatoria; M: mujer; H: hombre; TC-4D: tomografía computarizada en cuatro dimensiones.
Los pacientes no curados pese al tratamiento quirúrgico se detallan también en la tabla 4. Tres casos fueron debidos a enfermedad multiglandular, en los que, pese a la exploración cervical bilateral no se consiguió la normalización de la calcemia, ni de la PTH en el caso del hiperparatiroidismo normocalcémico (tercer paciente). El último caso fue un abordaje selectivo en el que la glándula identificada por la TC-4D fue localizada intraoperatoriamente, pero persistió con calcio y PTH elevada, por lo que quizás pudo tratarse también de otro caso de hiperplasia.
DiscusiónLos resultados de la TC-4D como prueba de segunda línea tras un resultado no concluyente de las pruebas habituales muestran que indicó la lateralización correcta de la glándula patológica causante del hiperparatiroidismo primario en un 57,8% (37/64) de la muestra, y la localización aproximada de la glándula patológica en el 48,4% (31/64). El primer estudio publicado por Rodgers et al.14 en 2006 reveló una sensibilidad de la TC-4D para la localización de la lateralización de la glándula patológica del 88%, superior a la de la ecografía cervical (57%) y a la de la gammagrafía cervical con [99mTc]Tc-sestaMIBI (65%). La sensibilidad para la localización exacta de la lesión también fue mejor en la TC-4D, del 70% vs. un 29% en la ecografía cervical y a un 33% con la gammagrafía cervical. Nuestros resultados son inferiores al estudio de Rodgers et al.14, pero se encuentran dentro del rango descrito en la literatura al emplear la técnica en aquellos pacientes de difícil localización prequirúrgica, en los que los estudios habituales no habían ofrecido resultados favorables15–17. En estos estudios, la sensibilidad se encuentra entre el 4916 y el 60%17, en línea con el 57,8% descrito en nuestra muestra. Las causas que dificultan la localización incluyen la presencia de adenomas pequeños, ectópicos, o la hiperplasia, lo que reduce la identificación de la glándula patológica por cualquier método de localización prequirúrgico.
Los estudios que emplean la TC-4D como prueba de localización prequirúrgica inicial muestran sensibilidades muy elevadas, de entre el 77-79%18–21. De este modo, según la revisión sistemática de Kluijfhout et al.10, la sensibilidad de la TC-4D fue del 81% (IC 95%: 75-87) para la lateralización de la lesión y del 73% (IC 95%: 69-78) para la localización en el cuadrante adecuado. Otro metaanálisis más reciente, como el de Wan et al.9 de 2021, también concluyó que la TC-4D presentaba una mejor sensibilidad que la SPECT-TC con [99mTc]Tc-sestaMIBI (85% [IC 95%: 69-94] vs. 68% [IC 95%: 51-80]). Estos resultados9,10 son muy superiores a los obtenidos por la TC-4D en nuestro estudio como prueba de segunda línea. Lógicamente, ampliar las indicaciones de la TC-4D a pacientes de localización típica probablemente proporcionaría mejores porcentajes de localización correcta, aunque sería de difícil justificación dada la mayor exposición a radiaciones ionizantes de esta prueba frente a otras más inocuas como la ecografía.
La TC-4D también puede ser de utilidad en los casos de hiperparatiroidismo persistente o recurrente, entre cuyas causas se encuentran una mayor proporción de pacientes con enfermedad multiglandular (28,4%) o glándulas paratiroides ectópicas (44,3%)22. La indicación quirúrgica en estos pacientes debe ser valorada cuidadosamente, ya que la reintervención puede presentar mayor proporción de complicaciones22. En el artículo de Mortenson et al.23, la sensibilidad de la TC-4D para la lateralización de la lesión en el cuello intervenido fue del 98% (IC 95%: 86-100), superior a la de la ecografía (46% [IC 95%: 31-62]) o la gammagrafía con [99mTc]Tc-sestaMIBI (54% [IC 95%: 38-69]). Resultados similares obtuvo Hamidi et al.24 en el hiperparatiroidismo recurrente, donde la TC-4D tuvo una sensibilidad del 77,4%, mejor que la de la ecografía (38,5%) o la gammagrafía cervical (46%).
Actualmente, la sensibilidad diagnóstica de la TC-4D solamente se ve superada por la PET-TC con [18F]fluorocolina. Según la revisión sistemática de Piccardo et al.7, esta prueba presenta una sensibilidad del 89% vs. una sensibilidad del 77% de la TC-4D en este estudio. En nuestro medio, el estudio de Ballester Vázquez et al.25 consiguió la detección de tejido paratiroideo hiperfuncionante en la PET-TC con [18F]fluorocolina en el 85,3% de su muestra a estudio, consiguiendo alcanzar la curación en el 87% de los casos. No obstante, dadas las dificultades para un uso más amplio de la PET-TC, la TC-4D puede ser una alternativa útil en el hiperparatiroidismo de difícil localización.
Entre las limitaciones que ofrece el estudio se encuentra la ausencia de cegado de modo que los radiólogos, médicos nucleares y cirujanos tenían información de las pruebas realizadas con anterioridad. Es por ello por lo que los resultados de las pruebas funcionales de medicina nuclear se han ofrecido de forma conjunta con el resultado de la prueba anatómico-funcional que supone la SPECT-TC, ya que la información aportada por estas pruebas se consideraba de forma conjunta. Sin duda el mejor diseño para evaluar estas pruebas de localización sería un análisis prospectivo que comparara de forma ciega la TC-4D, la SPECT-TC y la PET-TC con [18F]fluorocolina frente al gold standard de los resultados quirúrgicos y el resultado anatomopatológico. Mientras tanto, consideramos que nuestro estudio aporta una buena aproximación a la práctica clínica habitual de los centros que emplean la TC-4D como prueba de segunda línea.
ConclusiónLa TC-4D ofrece un rendimiento aceptable para la localización de las lesiones responsables del hiperparatiroidismo primario, por lo que debería considerarse su uso como prueba de segunda línea ante la ausencia de localización en los estudios habituales.
FinanciaciónEste trabajo no ha recibido ningún tipo de financiación.
Conflicto de interesesLos autores declaran no tener ningún conflicto de intereses.










