El tratamiento de las heridas penetrantes del cuello es complejo debido a la cantidad de estructuras vitales que lo recorren. El diagnóstico temprano de las lesiones cervicales es vital, ya que un retraso conllevaría una elevada morbimortalidad. Presentamos un caso de herida penetrante cervical que cursó con un síndrome de Horner, sin lesión vascular asociada.
Paciente de 28 años, sin antecedentes de interés, remitido a nuestro centro por intento autolítico con objeto punzante (cuchillo) a nivel cervical. Se objetiva disfonía, sin disnea. A la exploración: constantes normales, saturación de oxígeno 100% y escala de coma de Glasgow de 14 puntos. Presenta 5 lesiones a nivel de la zona II cervical (3 heridas incisas superficiales en lateral derecho y 2 heridas inciso-contusas que sobrepasan platisma en lado izquierdo) con crepitación a la palpación en el lado izquierdo. Anisocoria con miosis del ojo izquierdo y ptosis ipsilateral (fig. 1), resto de exploración normal. Radiografía cervical y tórax con enfisema subcutáneo sin neumotórax. Angio-TC con contraste oral (fig. 2). Laringoscopia: parálisis de la cuerda vocal izquierda en posición paramediana, junto con una parálisis del hipogloso izquierdo, no se puede descartar lesión puntiforme en seno piriforme izquierdo. Se realizó un tratamiento conservador con antibioterapia intravenosa, dieta absoluta y control radiológico con nuevo TC cervical en 24h que objetivó una mejoría con disminución del enfisema subcutáneo y neumomediastino. Tras iniciar progresivamente tolerancia, el paciente evolucionó favorablemente con controles analíticos y radiológicos dentro de la normalidad. Fue dado de alta al 7.° día del ingreso, previo control por psiquiatría. En el seguimiento en consultas externas al año, el paciente mantiene el síndrome de Horner, pero ya no presenta parálisis de la cuerda vocal ni del hipogloso izquierdo.
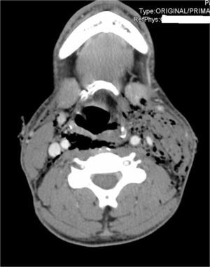
Imagen transversal del angio-TC cervical. Enfisema subcutáneo, sobre todo a nivel izquierdo que diseca hasta mediastino, con posible lesión puntiforme del seno piriforme izquierdo, no se objetivan lesiones de vasos cervicales, ni extravasación de contraste oral, ni hematomas, ni otras alteraciones.
El tratamiento fundamental de los pacientes con una lesión penetrante cervical es el control de la vía aérea y, posteriormente, el de la hemorragia. Una vez que estos 2 aspectos están controlados y el paciente se encuentra hemodinámicamente estable, se procederá a evaluar las lesiones cervicales. El método diagnóstico de elección en un paciente estable es la angio-TC1,2, pues no solo es un método no invasivo que permite evaluar pacientes con riesgo de lesiones vasculares en el cuello (seudoaneurismas, disecciones arteriales, fistulas arteriovenosas, oclusiones vasculares), sino que permite diagnosticar lesiones del tubo digestivo, vía aérea, médula espinal,… que hayan pasado desapercibidas en una primera exploración. Además, este tratamiento selectivo de las lesiones cervicales debe incluir un estudio endoscópico de la vía aérea y un esofagograma/esofagoscopia para excluir lesiones de la vía aérea y del esófago. Nuestro caso se caracteriza por una presentación clínica muy poco frecuente, como es un síndrome de Horner traumático.
El síndrome de Horner se define como la tríada compuesta por anisocoria (resultado de la miosis del ojo afecto), ptosis y anhidrosis, que se produce por la pérdida de inervación simpática del ojo y de la cara ipsilaterales3. El síndrome de Horner de origen traumático es una entidad infrecuente, supone el 4-13% del total, siendo la etiología más frecuente la tumoral (35-60%)4,5. Para poder evaluar un síndrome de Horner de origen traumático es importante conocer la anatomía del sistema simpático. Este consta de 3 estaciones neuronales, que no se decusan: la primera neurona nace del hipotálamo, desciende por el tronco del encéfalo hasta el núcleo cilioespinal de Budge en la médula espinal a nivel de C8-T2. Aquí sinapta con la segunda neurona que cruza por debajo de la arteria subclavia y asciende por el cuello para hacer sinapsis en el ganglio cervical superior cerca del bulbo carotídeo. Después de hacer sinapsis con la tercera neurona, sus fibras se dividen: las vasomotoras siguen a la carótida externa, mientras que las oculosimpáticas forman un plexo alrededor de la pared de la carótida interna y entran en el cráneo para ir a la órbita.
Así, ante la presencia de un traumatismo penetrante cervical que curse con un síndrome de Horner, hay que sospechar una lesión vascular asociada, como es la disección de la arteria carótida6, de ahí que la prueba diagnóstica de elección sea el angio-TC7. Sin embargo, en nuestro caso es llamativa la ausencia de dicha lesión a pesar de su íntima relación, asociando solo una pequeña lesión puntiforme en el seno piriforme izquierdo que originó un importante enfisema y neumomediastino, que se trató conservadoramente con éxito. Además, la presencia del síndrome de Horner, disfonía y enfisema subcutáneo son signos blandos en las lesiones penetrantes cervicales, que permiten un estudio diagnóstico completo.
Concluimos que, siempre que se nos presente un traumatismo penetrante cervical, hay que tener en cuenta las lesiones de la vía aérea y las vasculares hasta que no se demuestre lo contrario, pues ponen en riesgo la vida del paciente.






