Con el término hemosuccus pancreaticus se denomina genéricamente la pérdida de sangre por el conducto de Wirsung y su exteriorización a través de la ampolla de Vater. El término fue propuesto en 1970 por Sandblom1, aunque ha recibido otras denominaciones como «wirsungrragia» o «pancreatitis hemoductal».
Esta forma de sangrado digestivo se presenta con una prevalencia de 1/1.500 hemorragias del tracto digestivo superior de cualquier etiología, con mayor frecuencia en varones (7:1) y una máxima incidencia de los 50 a los 60 años de edad.
Presentamos a un paciente varón de 57 años con antecedentes de tabaquismo y bebedor de 80–100 g de etanol/día, y en el último año varios episodios de dolor intenso en el hemiabdomen superior vinculados a la ingestión copiosa de alimentos y alcohol. Desde el último año anemia sideropénica con hematocrito de un 37% y 11,8 g/dl, por lo que se realiza endoscopia alta que objetiva la salida a través de la papila de bilis mezclada con estrías hemáticas.
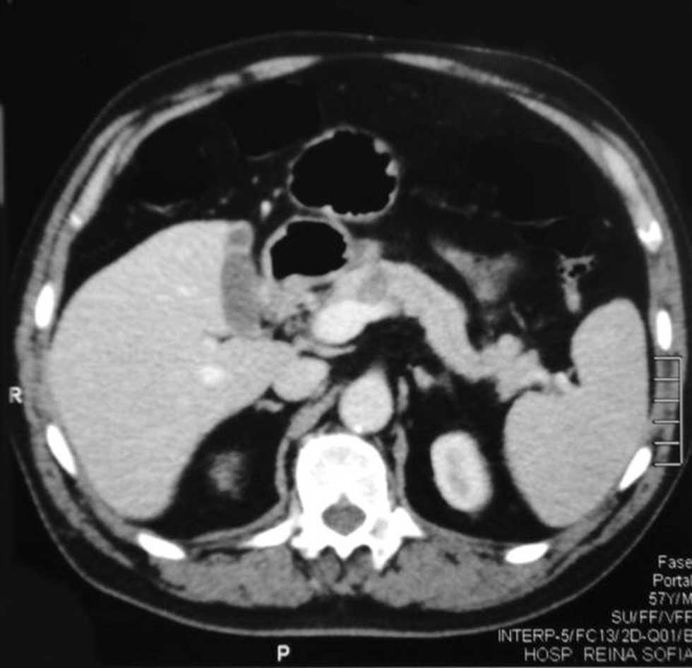
Se lo deriva a nuestro servicio para completar valoración y tratamiento; se realiza una tomografía computarizada abdominal con contraste intravenoso, que muestra una imagen hipodensa a nivel del cuerpo del páncreas, con arteria esplénica dilatada en su sector medio y dilatación del Wirsung (fig. 1).
Figura 1. Tomografía computarizada abdominal.
Se completa el estudio con una arteriografía selectiva de la esplénica, que objetiva una arteria dilatada y tortuosa en todo su trayecto, con una dilatación sacular en el sector medio, pero no se visualiza paso de contraste al conducto pancreático. Dadas las características anatómicas, se descarta por radiología intervencionista el tratamiento endovascular (fig. 2).
Figura 2. Arteriografía de la arteria esplénica (la flecha señala el seudoaneurisma).
Durante el ingreso presenta brote de dolor epigástrico intenso, con hemoglobina en 8 g/dl y elevación de las enzimas pancreáticas (amilasa, 1.000 UI), y precisa transfusión de 2 unidades de concentrado de hematíes, tras lo cual remite el cuadro completamente.
Es intervenido quirúrgicamente de forma electiva mediante laparotomía transversa, y en la exploración se encuentran placas de esteatonecrosis en el retroperitoneo y un hemipáncreas izquierdo de consistencia aumentada. La arteria esplénica está muy elongada y con una gran dilatación sacular. Se practica ligadura de la arteria en su origen y esplenopancreatectomía izquierda (para no dejar el seudoaneurisma roto en contacto con tejido pancreático muy afectado). La evolución postoperatoria transcurre sin incidencias. El estudio histológico informa de seudoaneurisma de la arteria esplénica de 3 cm, Wirsung dilatado, necrosis de la grasa peripancreática y lesiones compatibles con pancreatitis crónica.
Un 75–90% de los casos de hemosuccus pancreaticus se presentan como complicación de una pancreatitis crónica, y en más del 95% la causa determinante es un seudoaneurisma de la arteria esplénica (60–70%), seguida por la arteria hepática común y la mesentérica; otras causas que pueden determinar esta rara entidad son los tumores benignos o malignos pancreáticos, traumatismos o lesiones iatrogénicas por estudios endoscópicos y punciones diagnósticas2.
La manifestación clínica típica de esta infrecuente afección está caracterizada por la tríada de dolor epigástrico, sangrado digestivo o anemia sideropénica y elevación de las enzimas pancreáticas.
La confirmación diagnóstica se consigue por la secuencia de diversas pruebas. La endoscopia digestiva alta permite objetivar el sangrado solamente en el 30% de los casos. Para diagnosticar la causa se practica tomografía computarizada con contraste intravenoso, que informa de las características anatómicas del páncreas y de la arteria. La prueba más específica para la valoración de la causa del hemosuccus pancreaticus es la arteriografía del tronco celíaco y de la esplénica que documenta la lesión y su topografía, lo que permite objetivar la comunicación entre la arteria y los ductos pancreáticos si se realiza durante un episodio de dolor3. En nuestro caso, la secuencia de pruebas diagnósticas no hizo necesaria una resonancia magnética (colangiorresonancia y angiorresonancia) que habría permitido visualizar el Wirsung y el seudoaneurisma de la esplénica.
En cuanto al tratamiento, hoy se dispone de los tratamientos quirúrgicos clásicos y los tratamientos endovasculares mínimamente invasivos mediante embolización o colocación de stent. Estos últimos requieren las condiciones de disponibilidad y requisitos anatómicos que lo permitan4,5.
El tratamiento quirúrgico ha probado su eficacia en el tiempo, y hay trabajos que avalan los mejores resultados de los procedimientos quirúrgicos resectivos. Dependiendo de las características y localización del seudoaneurisma, así como de que haya o no comorbilidades, podrá ser procedimiento de Whipple o pancreatectomías distales6,7.
Por todo lo expuesto, el hemosuccus pancreaticus es la manifestación clínica de diferentes enfermedades, de las que las más frecuentes son los seudoaneurismas de la arteria esplénica, cuyo diagnóstico es difícil por lo inespecífico de sus síntomas y su baja frecuencia.
Autor para correspondencia.
Álvaro Díaz de Liaño
Dirección: adiazdea@cfnavarra.es






