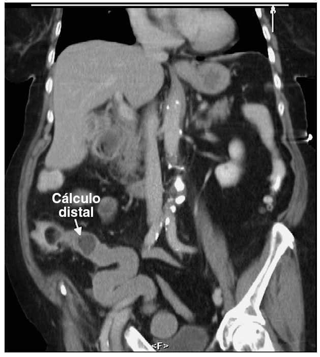
Paciente de 92 años que ingresó por clínica de vómitos de repetición y deshidratación. Al examen presentaba distensión abdominal y dolor en hipocondrio derecho. En la radiografía de abdomen se evidenció distensión gástrica. Se practicó tomografía computarizada que objetivó distensión gástrica, aerobilia, fístula colecistoduodenal con cálculo duodenal (fig. 1) y otra imagen de cálculo en íleon distal (fig. 2). Se decidió realizar laparotomía, con el hallazgo de plastrón que se disecó, y se practicó colecistectomía, duodenotomía, extracción del cálculo impactado en el duodeno y duodenorrafia. Se exploró el resto del intestino sin hallar el cálculo y al tacto rectal se lo objetivó desmenuzado. El postoperatorio cursó sin incidencias.
Fig. 1.
Fig. 2.
Diagnóstico: Síndrome de Bouveret.






