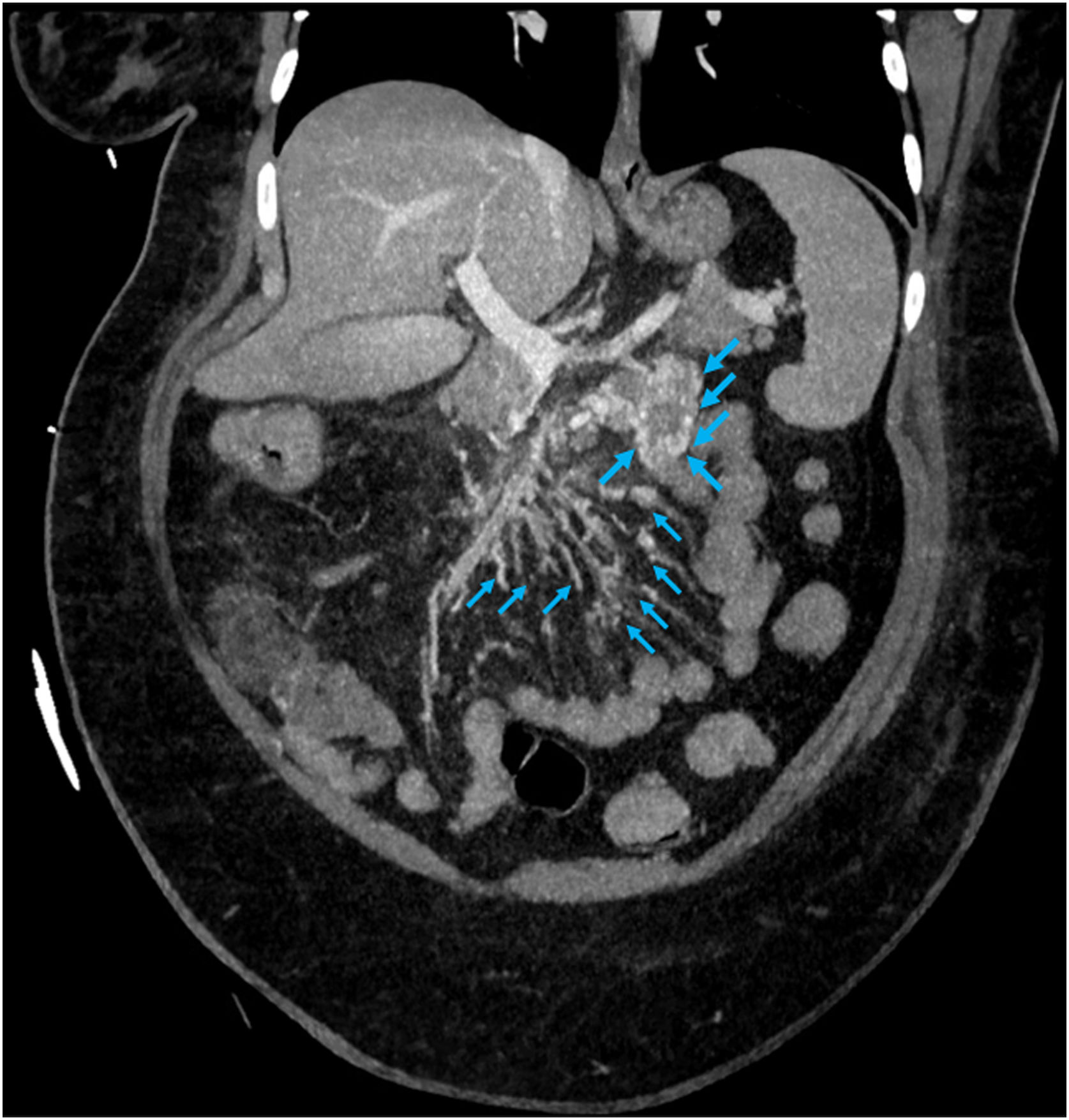
Mujer de 41 años con antecedentes de obesidad y aborto espontáneo, que ingresa en UCI por rectorragias y anemización con nulo rendimiento transfusional. Se realizan colonoscopia y gastroscopia, sin objetivar punto de sangrado, pero sí restos hemáticos frescos. La tomografía muestra abundantes varices de yeyuno proximal (fig. 1), compatible con hipertensión portal, secundaria a trombosis crónica de la vena mesentérica superior (fig. 2).
Se realiza laparotomía urgente objetivando venas tortuosas y dilatadas en los primeros 60 centímetros de intestino delgado, resecándose hasta tercera porción duodenal y se coloca dispositivo de vacío para second look. A las 72 horas se realiza anastomosis duodeno-yeyunal.






