Los trastornos linfoproliferativos de la mama son un grupo de lesiones muy poco frecuentes entre las que se incluyen tanto los linfomas malignos como los seudolinfomas, mucho menos frecuentes que aquéllos1. Si bien es verdad que el seudolinfoma es una lesión benigna, su similitud clínica y radiológica con algunos procesos malignos obligan a reconocerlo ya que tanto las opciones terapéuticas como el pronóstico son sensiblemente diferentes.
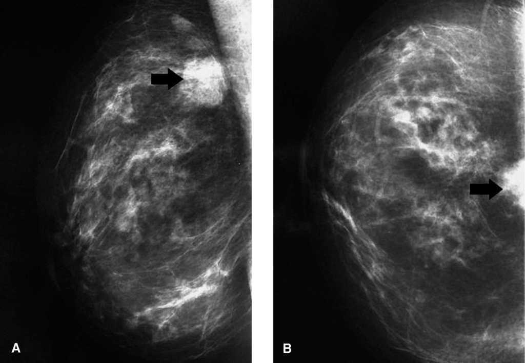
Recientemente atendimos en nuestro servicio a una mujer de 59 años, con antecedente de mastectomía radical izquierda por cáncer a los 30 años, que presentó, en la mamografía de control contralateral, una imagen hiperdensa de nueva aparición, localizada en la línea intercuadrántica superior, de aproximadamente 2,5 cm de diámetro máximo, con características radiológicas de malignidad (fig. 1). La exploración física, mamaria y axilar era normal. En la ecografía mamaria se observó un nódulo heterogéneo mal definido, isoecoico con el parénquima, sin cavidades quísticas en su interior, indicativo de malignidad. Con la sospecha diagnóstica de cáncer de mama se realizó punción guiada con ecografía, que mostró un infiltrado linfoide. Ante la imposibilidad de diferenciar con precisión entre linfoma y seudolinfoma, se decidió efectuar una biopsia escisional de la lesión. El estudio anatomopatológico reveló una tumoración de 2,3 cm de diámetro, blanquecina, no indurada y de bordes mal definidos. En el estudio microscópico se observó un infiltrado linfoide difuso polimórfico con centros germinales involucionados y parcialmente colonizados por linfocitos maduros (figs. 2A y 2B). En el estudio inmunohistoquímico se observó que aproximadamente un 55% de la población linfoide era positiva para CD20 (fig. 2C), y el resto, para CD3 (fig. 2D) y Bcl-2. Los centros germinales involucionados resultaron ser positivos para CD23 y Bcl-6. La expresión de VS38C y cadenas ligeras kappa y lambda mostró que se trataba de una población celular politípica. El estudio molecular reveló la ausencia de reordenamiento genético monoclonal para el receptor de células T –TCR gamma, tanto para grupo III (J1, J2, J3) y grupo II (V5, V10, V11, V12) como para grupo III (J1, J2, J3) y grupo I (V2, V3, V4, V8, V9)– y también para el gen de cadenas pesadas de inmunoglobulina (IgH) –tanto FR3 y FR4 como FR2 y FR4–. Con estos hallazgos se estableció el diagnóstico de seudolinfoma mamario y se decidió la abstención terapéutica ulterior. Tras 1 año de seguimiento, la paciente se encuentra asintomática y no hay evidencia clínico-radiológica de recidiva.
Fig.1.Mamografía derecha en la que se aprecia la lesión con características de malignidad sobre el pectoral mayor (flecha).A:proyección oblicua mediolateral.B:proyección craneocaudal.
Fig.2.Imágenes del estudio anatomopatológico.Infiltrado polimórfico difuso constituido preferentemente por linfocitos (A:H-E, 340), que engloban, pero no infiltran, a los ductos mamarios (B:CK AE1/AE3, 320).Los linfocitos son maduros, de carácter policlonal, y muestran una distribución similar de ambas poblaciones (B y T) a lo largo de la lesión (C:CD20, 320) y (D:CD3, 320).
La acumulación no neoplásica de linfocitos sobre un tejido aparentemente sano ha sido descrita en diferentes órganos2,3. De forma muy esporádica, algunos autores han descrito su aparición en el parénquima mamario1,4-6. Así, aunque la primera descripción suele atribuirse a Oberman7 –quien lo denominó seudotumor linfoide–, unos años antes Ackerman8 había ya descrito esta entidad, acuñando el término de seudolinfoma mamario.
En la mayor serie publicada hasta la fecha4, sobre 8.654 resecciones mamarias, solamente 5 correspondieron a seudolinfomas. Cifras similares encontraron Akbari et al1, con 2 seudolinfomas entre 4.491 cánceres de mama. No obstante, a pesar de su baja frecuencia, estas lesiones tienen una gran trascendencia pues su aspecto clínico, radiológico y ecográfico es muy similar al observado en otras lesiones de la mama, y no hay ningún signo que se pueda considerar como específico5.El estudio citológico tras punción suele mostrar células linfoides, pero con frecuencia no son suficientes para establecer el diagnóstico. Por ello, ante una proliferación linfoide localizada en la mama, es imprescindible la biopsia y el estudio histológico6. Desde el punto de vista clínico y macroscópico, suelen presentarse como un nódulo sólido, no encapsulado, bien delimitado, de consistencia aumentada, con un diámetro entre 2,5 y 4,5 cm4,5.Mi-croscópicamente están constituidos por un infiltrado polimórfico que disocia la arquitectura del parénquima mamario y que está compuesto, principalmente, por linfocitos maduros (T y B), ocasionales células plasmáticas e histiocitos y algunos eosinófilos. El infiltrado linfoide es de tipo policlonal4,9. Pueden observarse también centros germinales, especialmente en la periferia. Los ductos mamarios están rodeados, pero no infiltrados, por los linfocitos.
Aunque de etiología incierta, se ha postulado que podría estar relacionado con una respuesta local excesiva ante un traumatismo o lesión previos, por lo que Veronesi9 recomienda utilizar el término de hiperplasia linfoide en lugar de seudolinfoma mamario. El diagnóstico diferencial del seudolinfoma de mama debe establecerse, de manera prioritaria, con el verdadero linfoma, pues mientras el seudolinfoma no requiere tratamiento más allá de la exéresis local, el linfoma primario, posiblemente, precisará de quimioterapia y/o radioterapia adyuvantes10. A diferencia de los linfomas primarios, los seudolinfomas están asociados con un pronóstico excelente4,10. Además, contrariamente a otros seudolinfomas, como los cutáneos3, no se ha descrito su malignización cuando asientan en la mama, aunque sí se ha descrito su posible recidiva local. Otros diagnósticos diferenciales del seudolinfoma mamario incluyen el carcinoma –principal sospecha diagnóstica en el caso presentado–, la mastopatía diabética, la mastitis y las lesiones tras radioterapia, entre otras5.
En conclusión, el seudolinfoma mamario es un proceso infrecuente, pero que es necesario conocer pues su naturaleza reactiva obliga a diferenciarlo de tumores malignos, como el linfoma primario de la mama o el carcinoma. Su correcto diagnóstico y la orientación como lesión benigna deberían evitar tratamientos, tanto quirúrgicos como quimioterápicos o radioterápicos, agresivos e innecesarios en estas pacientes.
Correspondencia: Dr. D Martínez-Ramos. Servicio de Cirugía General y del Aparato Digestivo. Hospital General de Castellón. Avda. Benicàssim s/n. 12004 Castellón. España. Correo electrónico: davidmartinez@comcas.es
Manuscrito recibido el 31-10-2007 y aceptado el 10-3-2008.






