La incidencia de hidatidosis durante el embarazo es muy baja. Se estima un caso de hidatidosis por cada 20.000–30.000 embarazos. La disminución de la inmunidad celular explicaría la aparente rápida progresión de la hidatidosis durante el embarazo. El aumento de presión provocado por el útero grávido puede ocasionar la rotura de un quiste hidatídico. A su vez, el quiste ocupante de espacio puede inducir un parto prematuro. El tratamiento quirúrgico del quiste hidatídico hepático en una fase avanzada del embarazo puede resultar en rotura y precipitar el parto. La rotura del quiste hidatídico durante el parto puede provocar una reacción anafiláctica e incluso muerte de la madre y el feto1.
Aunque la hidatidosis ha disminuido en España en los últimos años, la inmigración está provocando un aumento de su prevalencia. En la actualidad, los pacientes con hidatidosis avanzada suelen ser inmigrantes de países donde la enfermedad es endémica2. Las molestias abdominales inespecíficas propias del embarazo pueden ocultar los síntomas de un quiste hidatídico hepático3.
Mujer de 21 años, de nacionalidad rumana, que vivía en España desde hacía 2 años y que no había viajado recientemente, embarazada de 13 semanas, que acudió a Urgencias por dolor en epigastrio de inicio súbito. Se palpaba masa dolorosa de gran tamaño en epigastrio. Analítica normal en sangre, excepto Hb 10,1g/dL y 15.600 leucocitos (85% neutrófilos). Ecografía ginecológica normal. Ecografía abdominal que reveló masa quística de 10 x 15cm en epigastrio (fig. 1a). La paciente permaneció ingresada y mejoró con tratamiento sintomático.
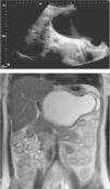
a) Ecografía abdominal que reveló masa quística de 10 x 15cm en epigastrio, anterior al estómago (EST) y bazo (BZ), sin contacto renal ni a retroperitoneo, de paredes gruesas, sin señal doppler en su interior, y sin definir su procedencia. b) RNM que reveló una lesión bien delimitada de 18 x 10 x 11,8cm en curvatura menor gástrica, con pared fina excepto en su borde lateral izquierdo donde existía doble contorno y lobulación.
Ante el tamaño de la lesión y el episodio agudo, se decidió intervención quirúrgica diferida a la semana 16.ª de gestación. Previamente a la cirugía, se efectuó RNM que reveló una lesión bien delimitada de 18 x 10 x 11,8cm en curvatura menor gástrica, que rechazaba cuerpo y antro gástrico hacia atrás y a la izquierda, limitaba con el páncreas, era hipointensa en T1 e hiperintensa en T2 (fig. 1b). Los hallazgos sugerían un quiste de duplicación gástrica.
En la intervención, la masa dependía del lóbulo hepático izquierdo (fig. 2a) y se realizó resección en bloque con los segmentos hepáticos II y III. En su borde izquierdo existía un plastrón inflamatorio que podría justificar la clínica por la que la paciente acudió a Urgencias. La paciente fue alta a los 7 días sin complicaciones. El examen anatomo-patológico reveló un quiste hidatídico hepático de 17cm (fig. 2b). La paciente continuó seguimiento en consultas externas de alto riesgo de Obstetricia, y tuvo un parto a término por vía vaginal sin incidencias a los 5 meses de la intervención.
El diagnóstico de quiste hidatídico durante el embarazo es difícil3. La analítica no revela anomalías si el quiste no está complicado. La ecografía es la exploración idónea durante el embarazo, en especial durante el primer trimestre. Un quiste hidatídico no tabicado es indistinguible de un quiste hepático simple. Un quiste tabicado con múltiples vesículas puede detectarse más fácilmente. La TAC ofrece más información pero tiene el inconveniente de la radiación durante el embarazo. La RNM es una buena opción diagnóstica. Las pruebas para la detección de anticuerpos circulantes mediante inmunoelectroforesis, ELISA o Western blot ofrecen una capacidad diagnóstica superior al 90% en el quiste hidatídico hepático.
La mayoría de quistes hidatídicos hepáticos son únicos y se descubren de manera incidental o por el diagnóstico de alguna de sus complicaciones. El quiste hidatídico hepático crece a ritmo de 1cm al año. Recientemente, esta revista ha publicado un caso de rotura a cavidad peritoneal de un quiste hidatídico hepático de 12cm de diámetro mayor, en un paciente varón de 32 años en lista de espera para intervención del propio quiste4. La rotura no es infrecuente, ocurre en 1-8% de quistes hidatídicos hepáticos, provoca diseminación peritoneal y anafilaxis. La erosión biliar, responsable de colangitis y colestasis, y la diseminación extrahepática del quiste hacia el tórax entrañan especial gravedad5.
Ante un quiste hidatídico hepático se puede optar por observación, aspiración percutánea, tratamiento médico o cirugía3. La observación es una opción para quistes pequeños < 5cm o calcificados. La aspiración percutánea, limitada a quistes univesiculares con la membrana íntegra o desprendida, suele acompañarse de instilación de una sustancia tóxica para los escolex (suero salino hipertónico) y re-aspiración del contenido (una técnica conocida por las iniciales PAIR). Subsecuentes modificaciones han añadido la colocación de un drenaje permanente mediante técnica Seldinger y la fragmentación y aspiración de las vesículas hijas. Mebendazole y albendazole tienen riesgo teratogénico y embriotóxico y no pueden administrarse durante las primeras 10-12 semanas de embarazo. La cirugía ofrece la única opción curativa. Consiste en la evacuación del contenido seguida de esterilización y exéresis de las membranas, o en la resección hepática anatómica o no anatómica que incluya el quiste hidatídico.
El riesgo de aborto es máximo en el primer trimestre y disminuye a partir de las semanas 16-18. El segundo trimestre es el momento idóneo para la intervención ya que la morfogénesis fetal es completa, la placenta tiene buena capacidad funcional y el tamaño del útero no dificulta la cirugía.






