Los quistes esplénicos (QE) no parasitarios, aunque in-frecuentes, se diagnostican cada vez más1. Se clasifican en primarios o verdaderos, con epitelio, habitualmente congénitos, y secundarios o seudoquistes, sin epitelio, de origen traumático o hemorrágico2.
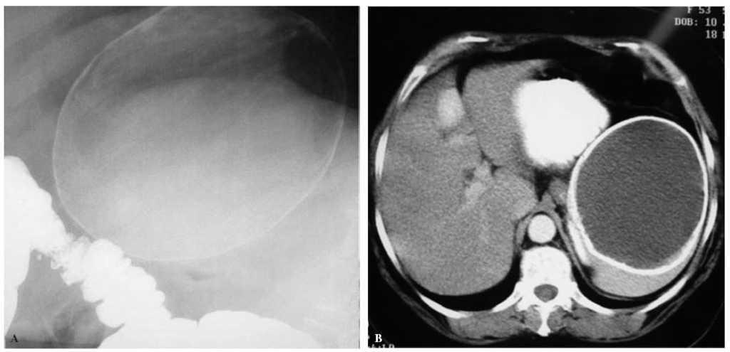
Caso clínico: mujer de 54 años, colecistectomizada 30 años antes. Hallazgo casual en radiografía simple de masa quística calcificada en el hipocondrio izquierdo. Asintomática, exploración y analítica normales (serología hidatídica negativa). Ecografía y tomografía computarizada (TC): masa quística en hipocondrio izquierdo, pared calcificada, bien delimitada de 13 µ20 cm; enema opaco: sin relación con la luz intestinal. Intervención: QE de consistencia pétrea adherido a hígado, estómago y diafragma que imposibilitó la preservación del bazo; se realizó esplenectomía. Postoperatorio normal. Estudio anatomopatológico: formación quística unilocular, pared lisa, grosor de 2-3 cm y apariencia de calcificación; al microscopio se observa constituida por tejido fibroso con depósito cálcico en su totalidad, sin revestimiento epitelial.
Los QE son habitualmente asintomáticos, aunque los de mayor tamaño pueden producir síntomas compresivos por vecindad1,3,4. No producen alteraciones analíticas, salvo aumento ocasional del CA 19.91,3. Se diagnostican mediante: radiografía simple, ecografía, resonancia magnética y TC que informan de la morfología, la composición, la localización y la relación con órganos vecinos4.
Fig.1.A:imagen de enema opaco en la que se observa la masa quística calcificada sin relación con el colon.B:corte de tomografía com-putarizada:quiste esplénico de 13 µ20 cm calcificado en su totalidad.
La distinción preoperatoria entre QE primarios y secundarios es difícil, el diagnóstico exacto sólo es anatomopatológico5.
La cirugía está indicada en quistes mayores de 4-5 cm, por sus potenciales complicaciones: infección, rotura o hemorragia1-3. Son preferibles las técnicas laparoscópicas que conservan el bazo1,4,5. Los grandes, del hilio esplénico, intraparenquimatosos o múltiples precisan esplenectomía total abierta o laparoscópica1,3,4.
En nuestro caso es excepcional el tamaño y la total calcificación de la pared que obligó a la esplenectomía abierta.
Correspondencia: Dr. J.J. López-Martínez. C/ Sagrado Corazón, 20, 3.o M. 30120 El Palmar. Murcia. España. Correo electrónico: juanjicolopez@hotmail.com





