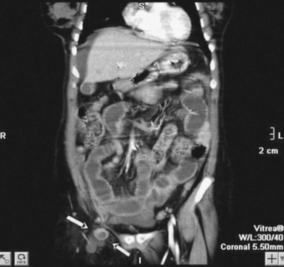
Mujer de 50 años sin antecedentes de interés ni intervenciones quirúrgicas. Acude al servicio de urgencias con cuadro de dolor abdominal brusco de pocas horas de evolución, centro abdominal tipo cólico, que se acompaña de vómito y episodio de hipotensión, así como fiebre de más de 38 °C. Previamente no había tenido dolores similares. En la exploración se objetiva abdomen blando con molestias a la palpación profunda en FID, sin defensa ni peritonismo. La bioquímica general y el hemograma no muestran alteraciones, a excepción de una marcada leucocitosis con desviación izquierda. La radiografía simple de abdomen presenta un asa centroabdominal dilatada sin patrón obstructivo. Las imágenes obtenidas con tomografía computarizada multicorte (reconstrucción multiplanar, plano coronal) muestran una hernia crural derecha que contiene un asa de íleon distal con signos de sufrimiento intestinal y condiciona obstrucción retrógrada de intestino delgado, con moderada dilatación de las asas y niveles hidroaéreos en su interior. Moderada cantidad de líquido libre. Con el diagnóstico de hernia crural incarcerada se realiza una hernioplastia crural derecha por vía preperitoneal y se objetiva un atrapamiento de asa en borde antimesentérico, que se recupera sin incidencias tras reducción de la hernia, sin precisar de resección intestinal.
Fig. 1.
Diagnóstico: Obstrucción intestinal secundaria a hernia crural incarcerada.





