Sr. Director:
El neumotórax contralateral tras neumonectomÃa es un proceso raro. Blalock1 y Harman2 comunicaron esta complicación con una incidencia del 0,3-1,2% tras la realización de una neumonectomÃa.
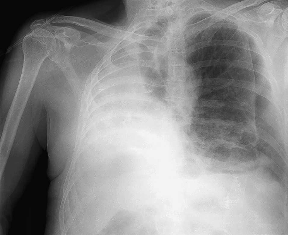
Presentamos el caso de un paciente con un neumotórax contralateral 2 años después de haber sido neumonectomizado por un carcinoma broncogénico. Debutó como disnea de 10 dÃas de evolución y no asoció insuficiencia respiratoria. Para su tratamiento fue suficiente la colocación de un drenaje endotorácico (fig. 1).
Fig. 1. Neumotórax izquierdo en paciente neumonectizado. El desplazamiento mediastÃnico es consecuencia de la neumonectomÃa.
El tratamiento del neumotórax en esta situación no difiere mucho del tratamiento del neumotórax en general. Entre las opciones se encuentra el drenaje torácico o la pleurodesis. En el caso de que se produzca una fuga aérea persistente o reexpansión incompleta, ha de plantearse la cirugÃa, con el problema sobreañadido de no poder realizarse una intubación selectiva y ventilación a un solo pulmón durante el acto quirúrgico. Aunque se han propuesto diferentes soluciones a este problema, como el soporte cardiopulmonar percutáneo3 o el abordaje mediante esternotomÃa media, creemos que no existe ningún problema en el abordaje mediante toracotomÃa como lo demuestra el hecho de resecciones de segundos carcinomas en pacientes previamente neumonectomizados4,5. Según nuestra experiencia, es posible practicar resecciones pulmonares atÃpicas en este tipo de pacientes con un riesgo anestésico-quirúrgico aceptable.
En definitiva, el neumotórax contralateral tras neumonectomÃa es una causa infrecuente de insuficiencia respiratoria que puede plantear serios problemas en el tratamiento, sobre todo cuando es necesario un abordaje quirúrgico del único pulmón del paciente.





