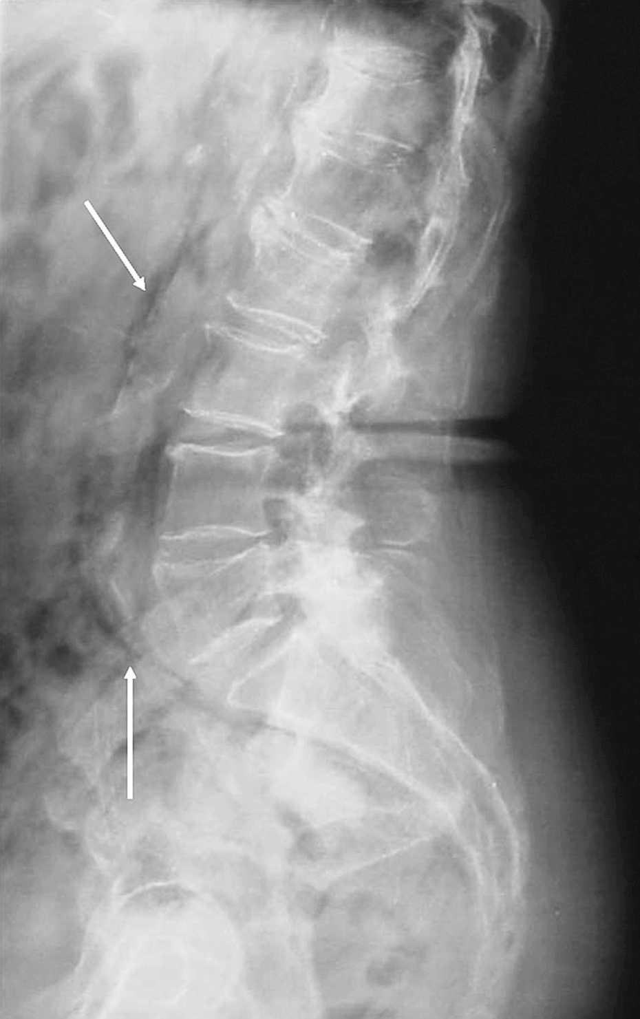
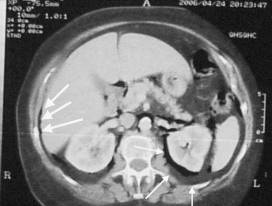
Mujer de 74 años que consulta por lumbalgia izquierda irradiada a miembro inferior izquierdo y dolor tenue en fosa ilíaca izquierda sin signos de irritación peritoneal ni fiebre, tras 15 días de tratamiento con antiinflamatorios no esteroideos, prescritos en dos servicios sanitarios extrahospitalarios. En el servicio de urgencias de nuestro centro se le practicó analítica de orina y radiografía de tórax (normales), analítica sanguínea (13.700 leucocitos y fórmula normal). En la radiografía de raquis lumbar, además de importante espondiloartrosis, se objetivó aerograma en localización atípica (fig. 1). Con el diagnóstico radiológico de neumorretroperitoneo, se le realizó de urgencia una tomografía computarizada abdominopelviana con contraste, que lo confirmó (fig. 2; flechas finas); además, se visualizaba mínimo neumoperitoneo (fig. 2; flechas gruesas) y enfermedad diverticular de sigma, cuya perforación se evidenció durante el ingreso. La evolución fue favorable con tratamiento conservador y desapareció la imagen en la revisión en consultas externas.
Fig. 1. Flechas: aire periaórtico.
Fig. 2. Flechas finas: neumorretroperitoneo en espacio pararrenal izquierdo. Flechas gruesas: neumoperitoneo mínimo.
Diagnóstico:Neumorretroperitoneo.






