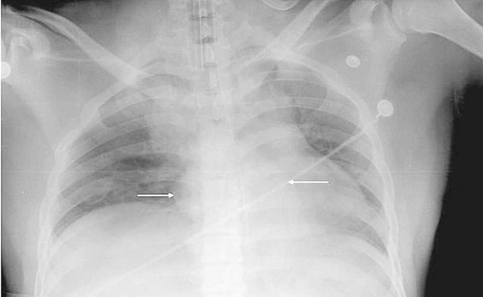
Varón de 23 años trasladado a nuestro hospital por el servicio de emergencias extrahospitalarias en situación de parada cardiorrespiratoria no recuperada tras protocolo de reanimación cardiopulmonar avanzada, por lo que se activa código de donante en asistolia, mientras se mantiene el masaje cardíaco con ventilación mecánica y se conecta al paciente a circulación extracorpórea. En la radiografía de tórax que se realiza en el proceso de validación pulmonar se evidencia masa mediastínica radioopaca de localización inferior y media. Se aprecian signos de broncoaspirado, por lo que se desestima la extracción pulmonar. Las pruebas de tóxicos en orina detectan cocaína, por lo que se descarta al paciente como donante. La autopsia confirma que hay paquetes de cocaína a distintos niveles del tubo digestivo, entre ellos el tercio distal del esófago. Uno de los paquetes tenía una rotura del envoltorio, lo que permitió la absorción masiva de cocaína que causó la parada cardíaca.
Fig. 1.
Diagnóstico: muerte súbita de paciente con masa mediastínica.





