La metástasis de cáncer colorrectal en el escroto es extremadamente rara. Presentamos un caso de cáncer de recto que se inició como un hidrocele secundario a una metástasis en túnica vaginal.
Varón de 70 años con antecedentes personales de hipertensión arterial y síndrome ansioso-depresivo, y antecedentes familiares de cáncer de recto (madre y hermana). Acude al servicio de urología de otro centro en julio de 2006 con un hidrocele izquierdo de 2 años de evolución. Debido a un empeoramiento clínico en el último año, con aumento de tamaño y dolor escrotal, en junio de 2007 se realiza tratamiento quirúrgico. En la intervención se evidencia líquido serohemático (hematocele) con importante paquivaginalitis y un nódulo vaginal de 58×28mm que se reseca. La anatomía patológica es informada de nódulo vaginal con metástasis por adenocarcinoma bien diferenciado de probable origen intestinal. El tumor afecta a túnica vaginal parietal, llega al músculo dartos con bordes de la pieza libres de infiltración.
Posteriormente al inicio de la clínica urológica, el paciente comenzó con episodios de rectorragias y alteración del hábito intestinal. En la colonoscopia se aprecia, a 9cm del margen anal, una neoformación vegetante y estenosante que ocupa toda la circunferencia del recto. La biopsia corresponde a un adenocarcinoma bien diferenciado. En la ecoendoscopia se comprueba que afecta a la totalidad de la pared rectal, con aisladas microadenopatías perilesionales de aspecto neoplásico, sin afectación de la próstata, vesículas seminales, vejiga, ni esfínteres anales. Estadio IV (uT3N1M1).
Se considera que el paciente es candidato a radioquimioterapia neoadyuvante, y se lo interviene del carcinoma rectal en enero de 2008; se realiza una resección anterior laparoscópica con anastomosis terminoterminal e ileostomía lateral.
El estudio de la pieza quirúrgica muestra focos residuales de adenocarcinoma moderadamente diferenciado que infiltra todas las capas de la pared y alcanza el tejido adiposo perirrectal. Los márgenes de resección quirúrgica están libres de infiltración. No hay metástasis ganglionares. Estadio IV (pT3N0M1).
En la ecografía testicular, realizada después de la intervención abdominal, se observa un quiste epididimario derecho (5×2mm), engrosamiento de la pared escrotal y albugínea en el teste izquierdo que es ligeramente más hipoecoico que el derecho.
Al final del tratamiento quirúrgico, el paciente presentaba un buen estado general, con un tumor primario controlado y sin otra evidencia de enfermedad diseminada. El servicio de urología decidió control ecográfico testicular del paciente cada 6 meses. Actualmente el paciente recibe quimioterapia adyuvante.
El cáncer colorrectal es uno de los tumores malignos más frecuentes en la población general, con una incidencia aproximada de 50/100.000 habitantes. Las metástasis más frecuentes afectan a los ganglios linfáticos regionales, hígado, pulmón y hueso1,2. La afectación metastásica en el escroto es rara, con una mayor presencia en testículo y epidídimo. En la búsqueda bibiliográfica en MEDLINE no hemos encontrado ningún caso de metástasis de adenocarcinoma colorrectal en la túnica vaginal. Sólo hay 2 casos de carcinoma gástrico3,4.
Desde el punto de vista urológico, las metástasis escrotales también son raras; los tumores primarios más frecuentes, en orden descendente, son: en próstata, pulmón, gastrointestinales, melanoma y en riñón5. Generalmente, se presenta como masa nodular dolorosa2, y también, en muchos casos, como tumefacción testicular e hidrocele3. Aparecen con más frecuencia en la sexta-séptima década de la vida, a diferencia de lo que ocurre con los tumores primarios.
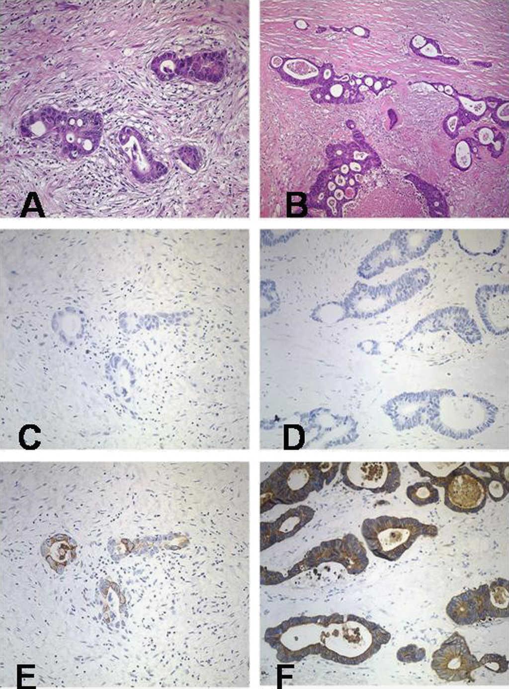
Dado que nuestro caso de metástasis en túnica vaginal es muy poco frecuente, nos pareció interesante su confirmación inmunohistoquímica. Los resultados fueron concordantes en las 3 piezas (biopsia preoperatoria de recto, nódulo vaginal y pieza quirúrgica). Demostramos un patrón gastrointestinal (citoqueratina CK7 negativo, CK20 positivo) en el nódulo vaginal, y se comprobó que ninguna de las 3 muestras histopatológicas tenía origen en las células germinales testiculares (CEA positivo, HCG negativo, fosfatasa alcalina placentaria negativa, alfafetoproteína negativa) (figura 1). De esta forma, queda claro el origen gastrointestinal del tumor y la metástasis. Es importante tener en consideración que en un 10% los tumores colorrectales pueden ser negativos para CK20 y CEA 6.
Figura 1. Imágenes histológicas. A: tinción con hematoxilina-eosina (H-E), focos residuales tras el tratamiento neoadyuvante de adenocarcinoma en el recto. B: adenocarcinoma que infiltra la túnica albugínea en el testículo (H-E). C: recto (CK7). D: testículo (CK7). E: recto (CK20). F: testículo (CK20) (×20).
Los mecanismos exactos de metastatización desde colon-recto hasta el escroto no son bien conocidos6. Se han propuesto varios: a) extensión directa, a través del conducto peritoneo vaginal; b) vía retrógrada por extensión venosa o linfática, y c) embolias arteriales2,6. En los tumores primarios gastrointestinales parece que la extensión linfática es la vía más probable2. Sin embargo, en la revisión de la literatura, el ulterior hallazgo en algunos casos de carcinomatosis peritoneal hace que en estos pacientes también sea posible la implantación microscópica transperitoneal7.
La afectación metastásica escrotal generalmente tiene relación con una enfermedad diseminada, y en la mayoría se descubre de forma incidental en la autopsia2,3. Cuando aparecen, clínicamente suelen presentarse como recidivas de la enfermedad, y es excepcional que sean su primera manifestación2, por lo que el pronóstico de estos pacientes es malo, porque representan un estadio avanzado de la enfermedad primaria2,3.
Así, aunque las metástasis escrotales de origen gastrointestinal son extremadamente raras, ante tumoración dolorosa o tumefacción testicular, en pacientes mayores de 60 años, debemos incluir en el diagnóstico diferencial la metástasis escrotal, sobre todo si hay historia de tumor primario8.





