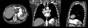
Varón de 79 años con antecedentes de melanoma en brazo izquierdo 3 años antes, tratado con cirugía y radioterapia, que es diagnosticado de adenocarcinoma de colon. En el estudio de extensión se objetiva la presencia de una lesión polipoidea de crecimiento predominantemente endoluminal en fundus gástrico de unos 5cm de diámetro sin signos aparentes de extensión transmural ni adenopatías regionales (fig. 1). Se realizó gastroscopia que confirmó la presencia de una lesión polipoidea en fundus, de unos 5cm, con áreas ulceradas e irregulares, sugestiva de malignidad (fig. 2), siendo la biopsia compatible con metástasis por melanoma. Se realizó hemicolectomía derecha laparoscópica más gastrectomía atípica.
Diagnóstico: metástasis gástrica por melanoma.






