La diseminación metastásica del cáncer de mama se localiza con mayor frecuencia en el hueso, el pulmón, el hígado y el cerebro. La aparición de lesiones metastásicas en el tracto gastrointestinal es excepcional, y fundamentalmente es el carcinoma lobulillar el subtipo histológico que con mayor frecuencia es causante de estas metástasis1.
Presentamos el caso clínico de una mujer de 67 años de edad, con antecedentes de apendicectomía y histerosalpingooforectomía por miomas y antecedentes familiares de cáncer gástrico y cáncer de mama.
La paciente consultó porque desde hacía 6 meses aquejaba astenia, anorexia con pérdida de 10kg de peso, dispepsia, diarrea (más de 6 deposiciones diarias) y molestias imprecisas en el abdomen. En la exploración física destacaba una mama izquierda aumentada de tamaño con induración de consistencia pétrea a la altura del cuadrante superoexterno pero sin afectación cutánea. El abdomen era blando, depresible, sin dolor a la palpación ni tumoraciones. Se realizó mamografía y ecografía, que detectaron una tumoración en cuadrante superoexterno de la mama izquierda de unos 5cm de diámetro. Se realizó biopsia con aguja gruesa que reveló la existencia de un carcinoma lobulillar infiltrante. El estudio inmunohistoquímico confirmó la positividad para receptores de estrógenos (7/8 de Allred) y de progesterona (5/8 de Allred), índice de proliferación bajo (<20%) medido con MIB-1 y negatividad para E-cadherina; el HercepTest® también fue negativo. No se palparon adenopatías axilares, pero sí supraclaviculares izquierdas, cuya punción-aspiración con aguja fina no demostró malignidad.
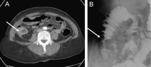
Con el diagnóstico de neoplasia de mama, se envió a la paciente al Servicio de Oncología de nuestro hospital para completar el estudio de extensión y valorar la estrategia terapéutica. Los marcadores tumorales estaban elevados (CEA: 8,8ng/ml [0,0–2,5]; Ca 19/9: 25,8U/ml [0,0–37,0]; Ca 125: 67,0U/ml [0,0–35,0]; Ca 15/3: 249,0U/ml [0,0–29,0]), y en la ecografía abdominal se observó una vesícula biliar pequeña de paredes engrosadas y con imágenes de litiasis en su interior que indicaban una colecistitis crónica litiásica, así como un engrosamiento de la pared del colon derecho. La gammagrafía ósea no demostró alteraciones significativas. Una tomografía computarizada confirmó los hallazgos de neoplasia mamaria y colelitiasis; destacaba, además, el engrosamiento circunferencial de la pared del colon derecho, algún tramo del colon transverso y del recto, con ingurgitación de los vasos sanguíneos circundantes y existencia de pequeños ganglios mesentéricos (fig. 1A).
Ante estos hallazgos, se practicó una colonoscopia que detectó, a la altura del colon ascendente, una lesión polipoidea, sesil, multinodular y friable, cuyo diagnóstico histológico era compatible con adenocarcinoma pobremente diferenciado. El estudio inmunohistoquímico confirmó el diagnóstico de metástasis de carcinoma lobulillar infiltrante de mama (positividad para receptores de estrógenos y citoqueratinas AE1-AE3; negatividad para receptores de progesterona, citoqueratina 20, HercepTest y E-cadherina, índice de proliferación medido con MIB-1 bajo) (fig. 2). Se realizó, además, un enema opaco, que mostró alteraciones radiológicas compatibles con una lesión difusa intramural en el colon ascendente, que podría corresponder a enfermedad metastásica con marcada reacción desmoplástica (fig. 1B).
Con el diagnóstico de carcinoma lobulillar infiltrante de mama izquierda estadio iv por la existencia de metástasis en el colon transverso, se envió a la paciente al Servicio de Cirugía, donde se le realizó una colectomía derecha ampliada con anastomosis ileocólica laterolateral manual y colecistectomía. El informe anatomopatológico de la pieza quirúrgica confirmó la presencia de metástasis de carcinoma lobulillar de mama. El curso postoperatorio transcurrió sin complicaciones y se le dio el alta hospitalaria al 8.o día de la intervención. Posteriormente, la paciente recibió quimioterapia como tratamiento del tumor primario de mama: 6 ciclos de doxorrubicina/ciclofosfamida (AC) seguidos de tratamiento hormonal (letrozol). Queda pendiente, en este momento, la resección del tumor primario.
Las metástasis gastrointestinales del carcinoma de mama son infrecuentes. La información existente en la literatura médica es muy escasa y se basa fundamentalmente en estudios descriptivos de series de autopsias, casos clínicos y pequeñas series de pacientes2. El carcinoma lobulillar infiltrante constituye aproximadamente el 10% de los tumores malignos de la mama. En comparación con el carcinoma ductal infiltrante, el carcinoma lobulillar es más frecuente en pacientes de edad avanzada, con tendencia a presentarse como tumoración de mayor tamaño. Además, con frecuencia más elevada, el carcinoma lobulillar presenta receptores de estrógenos y progesterona positivos y negatividad para el receptor del factor de crecimiento epidérmico2,3.
El patrón de diseminación metastásica también es diferente según el subtipo histológico. La afectación pleuropulmonar, la del sistema nervioso central y la del sistema ganglionar es más frecuente en el subtipo ductal infiltrante que en el lobulillar. El carcinoma lobulillar infiltrante, por su parte, presenta mayor tendencia a afectar al peritoneo, el tracto gastrointestinal o los ovarios, así como la mama contralateral4–6. Un estudio reciente encontró un 4,5% de metástasis a nivel gastrointestinal en los pacientes con carcinoma lobulillar frente a un 1,1% en los pacientes con carcinoma ductal2. En el tubo digestivo, la localización más frecuente de este tipo de lesiones es el estómago, seguido del colon y el recto3. Teniendo en cuenta estos datos, en las pacientes diagnosticadas de cáncer de mama, particularmente si se trata del subtipo histológico lobulillar, que presenten sintomatología digestiva o signos de anemia microcítica debería indicarse la realización de un estudio endoscópico del tracto intestinal alto y bajo con el fin de detectar posibles lesiones metastásicas7.






