Los fibroadenomas son las lesiones benignas de la mama más frecuentes. Aunque se ha demostrado que las pacientes con fibroadenomas presentan un mayor riesgo de cáncer de mama, actualmente estas lesiones no son aceptadas como precursoras del cáncer1. La degeneración maligna de los fibroadenomas se ha considerado excepcional, y se han comunicado menos de 200 casos en la literatura científica2,3,4,5,6,7,8. Se presentan 3 casos clínicos de mujeres con fibroadenomas que presentaron lesiones premalignas y malignas en su interior.
Caso 1Mujer de 41 años, sin antecedentes de interés, remitida a nuestra unidad por presentar un nódulo palpable, bien definido, móvil y de 4cm de diámetro a las dos de la mama izquierda. La mamografía fue normal, pero el estudio ecográfico reveló una masa sólida de 3,5×4cm, compatible con fibroadenoma. Se decidió la escisión local y el estudio anatomopatológico demostró un fibroadenoma con un foco de 0,3cm de hiperplasia ductal con atipia (HDA).
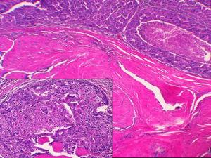
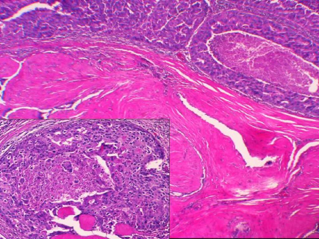
Caso 2Mujer de 46 años, sin antecedentes de interés, que fue remitida a nuestra consulta para la evaluación de un nódulo no palpable a las doce de la mama izquierda. Esta lesión había sido seguida durante más de 20 años, pero había presentado cambios mamográficos compatibles con malignidad. Durante la exploración física no se palparon lesiones ni adenopatías axilares. La punción aspirativa con aguja fina señaló malignidad, por lo que se procedió a la biopsia estereotáctica guiada por arpón. El estudio anatomopatológico reveló un carcinoma ductal in situ tipo comedocarcinoma de 0,8cm en el interior de un fibroadenoma de 1cm de diámetro (figura 1). Los márgenes de resección estaban afectados, por lo que se reintervino para ampliarlos y realizar la biopsia selectiva del ganglio centinela (BSGC). El estudio histológico no demostró tumor residual y el ganglio centinela fue negativo para malignidad.
Figura 1. Caso 2. Aspecto intracanalicular típico de un fibroadenoma con carcinoma ductal in situ en el interior de la estroma hialinizada intralobulillar. Se aprecia el tipo comedocarcinoma en el componente epitelial (H-E, ×10 y ×40).
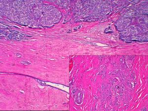
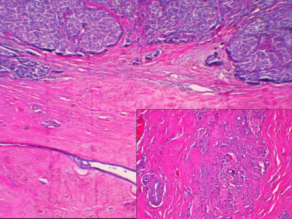
Caso 3Mujer de 60 años, sin antecedentes de interés, remitida a nuestra unidad por cambios mamográficos indicio de malignidad en una lesión nodular conocida previamente, no palpable, localizada a las seis de la mama derecha. El examen físico fue normal. La biopsia con aguja gruesa no obtuvo material suficiente y se propuso biopsia guiada por arpón. El estudio anatomopatológico reveló un fibroadenoma de 1,6cm que alojaba un carcinoma lobulillar invasor (figura 2). La paciente no aceptó el tratamiento quirúrgico conservador y fue sometida a mastectomía radical modificada. No se evidenciaron metástasis en ninguno de los 21 ganglios analizados.
Figura 2. Caso 3. Neoplasia lobulillar infiltrante con afección sólida de los ductos en el seno de una lesión fibroadenomatosa. Aspecto característico con filas de células tumorales infiltrantes en el interior de la estroma mamaria (H-E, ×10 y ×40).
Tradicionalmente se ha considerado que los fibroadenomas no se relacionan con el cáncer de mama, aunque Dupond et al1 demostraron que el riesgo de cáncer de mama era más del doble en estas pacientes. En el caso de carcinomas en el seno de un fibroadenoma (CSF), no es posible establecer si se trata propiamente de la degeneración del componente epitelial del fibroadenoma o si, por el contrario, el carcinoma y el fibroadenoma son dos procesos independientes que simplemente coinciden en el tiempo y en el espacio, de modo que el fibroadenoma actúa de «espectador inocente» y no como una lesión premaligna.
Aunque las manifestaciones clínicas y radiológicas de los CSF no difieren de las encontradas en fibroadenomas sin células cancerosas, hay una serie de datos característicos2,3,4,5,7: la edad de las pacientes es, aproximadamente, 20 años superior a la de los fibroadenomas en la población general, y éstos pueden manifestarse como un crecimiento rápido o alteraciones mamográficas y/o sonográficas de un nódulo previamente conocido7. No obstante, el diagnóstico de certeza debe establecerse con el examen histológico, ya que las punciones pueden presentar importantes falsos negativos7,8. Además, debe recomendarse el análisis histológico completo de todos los fibroadenomas, puesto que un examen parcial podría pasar por alto algunas de estas lesiones7,8. El tipo histológico más frecuente en los CSF es el carcinoma in situ, que representa un 75¿80% de los casos publicados2,3,5,6,7.
El tratamiento de los CSF ha experimentado un importante cambio con el paso del tiempo. Hasta hace algunos años, el tratamiento de elección era la mastectomía radical3,5, mientras que en la actualidad, siempre que ello sea posible, se prefiere un tratamiento conservador4. Nuestro primer caso (HDA) no requirió otro tratamiento. El segundo caso (comedocarcinoma in situ), por definición, no debería producir metástasis ganglionares pero, debido al hipotético riesgo de microinvasión, un abordaje selectivo de la axila como la BSGC fue, en opinión de los autores, una buena alternativa. El tercer caso (carcinoma lobulillar invasor) podría haberse beneficiado de una cirugía conservadora, pero la paciente rechazó esta opción.
El pronóstico de los CSF está determinado por el estadio tumoral al momento del diagnóstico. Como generalmente éste se realiza en estadios precoces, el pronóstico suele ser excelente. La presencia del fibroadenoma probablemente determine una detección temprana de lesiones malignas que de otro modo pasarían inadvertidas.
Por último, a pesar de su indudable interés, la degeneración maligna de un fibroadenoma es tan infrecuente y el diagnóstico suele hacerse en estadios tan precoces que, en opinión de los autores, esto no debería modificar los criterios quirúrgicos generales para todos los fibroadenomas. Por lo tanto, parece razonable mantener un alto índice de sospecha y resecar únicamente los fibroadenomas sospechosos de malignidad.






